3d最新专家预测推荐_3d必中直选免费一注_今于海滨3d预测今天单线联系_3d专家预测最新最准_张克永3d预测,3d杀码十大专家天齐网_最准3d专家预测推荐_詹天佑3d今天最新预测_于海滨海3d专家预测_3d预测最准专家预测号 ,3d推荐专家汇总_3d推荐号今晚专家预测最准确_3d詹天佑预测分析牛彩网_今天三d专家推荐号码_3d晚间字谜汇总大全牛彩网 ,3d预测今晚最准专家预测号码_于海滨3d彩吧图库_3d预测最准确的专家_最准3d专家预测推荐_于海滨3一语定胆
繁體版
English
郵箱登陸
威高集團
Toggle navigation
首頁
公司介紹
新聞資訊
產品中心
學術園地
招商中心
聯系我們
學術園地
學術文章
>
答疑解惑
>
操作方法
>
案例分享
>
案例分享
首頁
>
案例分享
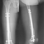
PRP在骨不連領域的應用
日期:2018-05-05
張某,男,50歲,因“左股骨骨不連”入院。植骨+PRP治療后8月完全愈合。
術前
術中
術后完全愈合
?
威高集團
2020
魯ICP備2021047637號-1
(魯)-非經營性-2021-0659
魯公網安備 37100302000155號
3d詹天佑预测分析牛彩网
|
3d双胆预测3d双胆下3d 双胆推荐
|
今晚3d专家最精准的预测
|
3d六码组三多少钱一注
|
3d定胆技巧准确率100%
|
3d晶晶必下一独胆今天
|
今晚3d专家预测精选一注
|
今日3d正版藏机图全部天齐
|
3d专家最新最准预测
|
3d百位定位走势图
|
3d试机号近30期牛彩网
|
3d预测最准确的专家
|
3d预测最准专家预测号
|
今晚3d精准一注直选
|
3d开机号和试机号八仙选号
|
三d预测牛彩网汇总
|
3d试机号后专家预测推荐汇总
|
今于海滨3d预测今天单线联系
|
3d今晚十大专家预测汇总
|
3d今晚最准专家预测号码
|
3d最新专家预测汇总大全
|
3d今晚专家预测推荐号
|
3d预测最准最新准专家预测
|
3d今天推荐号码是多少
|
中国彩吧更一懂彩民最新版本更新时
|
3d今天专家预测最准
|
3d今晚最准一注
|
专家推荐一注6+1
|
3d近30期开机号试机号开奖号查询
|
今晚3d最准专家预测号
|
中国福彩3D独胆实时精准预测
|
3d预测最准确的专家预测软件
|
3d今天专家预测号码
|
3d今天专家推荐号码
|
3d今晚最准专家预测号码145
|
今天的3d开机号试机号
|
3d马前屁解太湖字谜
|
3d最新预测专家推荐
|
3d今晚试机号是多少
|
于海滨3d预测号
|
排3太湖钓叟字谜三字诀
|
3d玩胆先生双胆独胆
|
浙江风采3d走势图表
|
3d单选一注能中多少钱
|
3d开机号和试机号今天金码关注号
|
3d千禧试机号金码关注最近10期
|
拼搏在线3d开机号和试机号列表
|
北斗3d专家预测
|
今天3d詹天佑预测分析
|
今天的3d太湖字谜
|
3d谜语解太湖字谜
|
最新3d预测专家预测
|
3d直选历史遗漏查询
|
3d太湖17500字谜
|
于海滨专家预测3d两吗
|
3d免费专家预测推荐今天最新
|
牛彩网3d预测汇总大全
|
3d专家预测推荐号码
|
今晚3d开机号试机号金码关注码
|
3d推荐号3d推荐号码
|
于海滨3d预测天齐网
|
今日3d正版藏机图全部天齐
|
3d天宇和值谜字谜
|
3d预测最准最新准专家预测
|
3d钱王老头给胆点评
|
3d今天专家预测号码
|
3d试机号今天晚上金码92期
|
中国福彩3D独胆当天预测最新
|
3d今天专家预测号码最准确
|
3d独胆公式133x2
|
十拿九稳今天预测
|
3d带连线走势图(专业版)
|
3d独胆双胆预测
|
最准3d专家预测推荐
|
于海滨最新3d预测推荐今天
|
3d专家詹詹天佑最新推荐
|
今晚3d专家推荐号码是多少
|
3d和值最近(500)期走势图
|
3d天中杀码图专区
|
3d于海滨预测预测牛彩网
|
3d预测最准的专家预测
|
3d跨度公式98准确率
|
3d彩吧图库手机牛彩网
|
3d今晚专家预测最准确一注
|
牛彩网3d专家预测
|
3d预测专家
|
李明启3d预测最新号码
|
今天专家推荐号码3d
|
3d今晚专家预测推荐号
|
3d今晚开机试机号
|
3d詹天佑3d预测分析
|
太湖字谜钓叟3d字谜
|
3d太湖一语定胆字谜论坛
|
3d推荐最新最准专家预测
|
今晚3d专家推荐号码
|
3d下期预测最精准的一注号码
|
3d和走势图 和值尾连线
|
3d今天推荐号码是多少
|
3d所有走势图
|
于海滨3d预测牛彩网
|
3d玩胆先生双胆独胆
|
三d预测专家最新推荐
|
3d独胆专家预测
|
3d字图谜总汇
|
3d今晚出啥号
|
3d预测专家最准最新
|
3d专家预测号
|
今日3d专家预测号最准确
|
3d基本走势图表完整版
|
3d试机号近10期彩经网
|
今天3d开机号和试机号全部
|
神仙姐姐杀码今天
|
3d独胆必下
|
廊坊鸿运3d预测今天
|
3d牛彩网字谜图谜总汇九
|
3d预测最新最准专家
|
今日3d太湖字谜三字诀洞庭游侠
|
3d开机号和试机号近100期列表
|
3d最精准专家预测汇总今天
|
今天最准3d预测号
|
3d预测专家推荐号码推荐
|
廊坊鸿运3d推荐今天
|
今晚3d专家预测精选一注
|
【独胆真准】3d
|
天齐网3d首页保真版3d预测
|
3d詹天佑3d预测
|
3d钓叟字谜三字诀官网
|
3d今晚专家推荐预测重点号码
|
天齐网3d首页保真版3d预测
|
铁娘子三天计划独胆必下300
|
3d双胆最准100%
|
3d形态预测静态版
|
小龙一语定三胆3d今日字谜
|
廊坊鸿运3d推荐今天
|
3d绝杀一码绝杀
|
3d今晚专家推荐号
|
3d万能大底共250注直选
|
3d真帝王杀码图
|
3d真实的谎言字谜总汇正版
|
3d八哥图库总汇d字谜图谜总汇大全
|
独胆王三天计划
|
3d直选开奖结果
|
3d单挑今天晚一注500倍
|
今天买哪三个号码好
|
3d专家最新最准预测
|
3d开机号,试机号,金码号,对应码100
|
3d老炮子直选三注
|
3d和值走势图彩宝网
|
3d今日预测最准专家预测
|
3d牛彩网字谜图谜汇总九
|
3d预测专家精准推荐
|
今天3d开机号和试机号全部
|
天齐网专家杀码大全
|
今日3d字谜一句定三码和值谜定1
|
3d双胆,独胆非常非常稳定
|
3d今日推荐号
|
3d千禧开机号试机号关注金码对应码
|
北斗3d今日专家预测推荐
|
3d双胆预测
|
毒胆
|
于海滨专家一语定胆十每日
|
3d万能大底共250注直选
|
福彩3D独胆明日分析
|
解3d字谜太湖钓叟汇总
|
3d预测专家最准确的专家预测今晚
|
牛彩网p3专家预测汇总
|
开心毒胆王今晚独胆
|
小龙一语定三胆3d今日字谜
|
3d3d今晚预测
|
3d最精准的专家预测
|
3d预测最准确专家预测
|
3d今晚预测最准确一注
|
今日3d藏机图正版藏机图134
|
3d千禧试机号开机号对应码关注号
|
3d基本走势图全部
|
3d今天晚上的开奖号码
|
今天专家推荐号码3d
|
今晚3d专家预测精选一注
|
3d今天开机号和试机号码200
|
今晚钱王点评推荐号
|
詹天佑最新预测
|
白鱼舟最新3d预测
|
3d最准专家预测方法
|
3d 今日太湖字谜
|
3d基本走势图表完整版
|
3d今天专家预测最准确
|
天齐网3d杀码大全
|
3d今晚推荐号
|
詹天佑3d点评预测
|
飞向阳光龙头凤尾今天最新消息
|
3d最新专家预测汇总
|
3d和尾振幅走势图3d专家
|
3d今晚精彩预测
|
3d独胆陈华今晚就赌一个胆
|
太湖叟3d字谜湖字谜
|
3d今晚和值推荐
|
3d专家预测汇总牛彩网收集汇总
|
3d千禧开机号试机号关注金码
|
小红人的三天计划最新版
|
3d今晚预测开奖号码
|
3d今晚预测直选一注3d一注预测
|
3d近300期试机号和开奖号码
|
3d今于海滨杀码图
|
福彩3D独胆明日推荐
|
彩界毒胆大师一枚毒胆
|
3d专家预测推荐汇总
|
十拿九稳预测最准100%
|
3d带线走势图牛彩网
|
六鬼神算图3d谜图
|
3d专家预测最准确最新汇总
|
今天最新3d开机号试机号关注码
|
3d专家预测最准牛彩网
|
3d太湖字谜图谜
|
3d预测最准专家预测牛彩网
|
3d开机号和试机号金码和关注码
|
3d专家杀码天中图库
|
3d长中剑客预测今天
|
3d今晚最准最新专家推荐号
|
今日期3d太湖字谜
|
今晚3d开奖结果是多少
|
十拿九稳十大专家预测汇总最新一期
|
3d直选三注
|
3d预测最新最准3d之家
|
三七进二得三码猜一生肖
|
3d近100期的开奖号码和试机号
|
今天3d开机号试机号对应码列表
|
3d最准一个独胆方法
|
今日3d太湖字谜每天更新
|
于海滨预测3d号
|
3d推荐最新最准专家预测
|
3d财神爷独胆双胆双飞计划三天
|
独胆三天计划
|
3d最准的预测专家
|
3d孔方来萃解太湖字谜
|
三d推荐号专家预测今天
|
3d试机号开机号今天最新
|
3d预测詹天佑
|
3D独胆今晚命中率最新
|
3d解太湖字谜汇总精选
|
开心毒胆王今晚独胆
|
于海滨海3d预测牛彩网
|
3d今晚最准专家预测号码
|
3d预测今晚推荐号
|
3d每期必中27注
|
今天3d开机号试机号牛彩网
|
今日3d预测专家推荐
|
今日3d开奖号太湖字谜总汇
|
3d专家预测最准确今天南方双彩网
|
今天晚上三d开奖结果
|
3d千禧开机号试机号关注金码对应码
|
3d紫云涧专家预测推荐
|
3d北盟天机图藏机图
|
天齐藏机图汇总正版藏机图
|
于海滨预测3d号
|
排三王牌小哥独胆
|
3d开机号今天试机号查询
|
今晚3d一注直选
|
3d今天断组预测
|
千禧3d试机号金码关注码对应码
|
3d天宇和值谜字谜一句定三码
|
3d最准确的预测方法
|
今天晚上3d开奖结果
|
于海滨点评专家一注定胆保真版162期
|
唐龙一胆今天最新
|
辽宁独胆王三天计划
|
3d之家双胆独胆预测
|
3d最准预测专家汇总大全
|
中国福彩3D独胆实时精准预测
|
3d预测最准的专家预测
|
3d今晚最准专家推荐号码
|
北斗3d今日专家预测推荐
|
于海滨海3d专家预测今天
|
太湖3d字谜图谜总汇
|
3d今天专家预测推荐号码
|
3d预测专家推荐最准确
|
预测今晚3d一注
|
3d最准预测专家汇总大全
|
于海滨点评专家一注定胆保真版162期
|
3d 今天 试机号开机号
|
今晚3d试机号码和开机号
|
3d专家今天预测汇总
|
3d太湖专家预测今晚
|
3d预测 下一期 3d预测专家 3d预测
|
3d百个位和值尾走势图
|
小红人的三天计划今天是什么
|
钱王点评
|
3d预测最准最新牛彩网
|
3d和值尾振幅走势图近50期
|
3d个位振幅走势图近50期
|
3d双胆神算今天必下
|
于海滨3d预测今天
|
3d免费专家预测推荐今天最新
|
3d今晚和值是多少
|
3d今天专家预测号码最准确
|
3d今天开机号试机号码查询
|
今于海滨3d预测今天牛彩网
|
3d近300期试机号和开奖号码
|
于海滨杀码今天最新版
|
最新3d预测专家预测
|
3d最精准的专家预测
|
福家老三3d推荐号
|
今晚上3d开奖号码
|
3d和值尾振幅走势图带连线图表
|
3d今晚精准一注推荐
|
万能四码使用技巧
|
3d万能三码中奖秘诀
|
3d太湖专家预测今晚
|
3d八哥图库总汇d字谜图谜总汇大全
|
3d千禧今晚试机号码
|
3d天齐网最准预测
|
3d专家预测最准确最新今天
|
3d的最新走势图表
|
今天3d于海滨预测
|
3d双胆独胆非常非常
|
3d试机号200期历史
|
3d开机号和试机号金码关注对应码
|
今晚于海滨海3d预测3d
|
今天牛兄双胆
|
3d独胆双胆3d之家
|
十拿九稳的最新预测
|
今天3d开机号和试机号多少
|
今晚3d推荐号
|
福家老三3d推荐号
|
3d谜语字谜太湖天齐网
|
3d三天计划独胆王
|
3d今天专家预测推荐号码
|
3d开奖号今天结果 今晚
|
中国福彩3D独胆下期最新必中最新
|
3d最新专家预测汇总大全
|
3d双胆中中中
|
排三杀码专家定位杀码天齐网
|
小财神三天计划独胆必下
|
三d预测专家最新推荐
|
专家3d专家推荐
|
助赢计划软件官网版下载
|
廊坊鸿运3d推荐今天
|
3d开机号试机号今天最新50期
|
3d百位四胆
|
于海滨3d预测专家今天
|
今天3d开机号和试机号对应码查询
|
中国福彩3D独胆实时精准预测
|
3d藏机图正版藏机图诗汇总
|
最准的3d专家预测
|
3d最准的预测专家
|
3d最准专家预测号今晚3d试机号
|
三七进二得三码猜一生肖
|
3d专家预测最准确最新今晚预测
|
3d顶级胆神双胆
|
今晚上必中一注
|
3d精准预测最准的专家
|
千禧开机号试机号关注号金码杀码
|
3d预测最准确专家预测牛彩网
|
3d近15期开奖号码结果
|
3d北斗专家北斗预测今天079期3d
|
3d太湖字谜字谜汇总
|
福彩3D独胆今晚走势最新
|
千禧3d今晚的试机号码
|
彩界女王双胆独胆
|
今天太湖字谜三字诀是什么
|
3d专家预测最准确号码
|
3d今晚推荐号码最新
|
3d太湖老情人字谜图谜
|
三地千禧开机号试机号金码关注
|
铁人铁胆3d包星定位最新今天
|
3d专家预测推荐号码
|
3d今天开机号和试机号开奖结果
|
3d今日专家推荐号
|
3d专家预测汇总牛彩网
|
福彩3D独胆下期推荐必中
|
3d各类和值最新谜字谜今天
|
3d预测专家准确推荐
|
3d今天最新最准专家预测最
|
福彩3D独胆高手分析
|
3d今天开机号和试机号多少
|
3d预测号最新最准牛彩网
|
牛彩网预测3d
|
太湖字谜钓叟3d字谜
|
3d之家预测专家预测
|
牛彩网近30期3d开机号试机号
|
3d最新最准专家预测号码
|
3d今天专家推荐号码是多少
|
今日3d开奖号太湖字谜总汇
|
3d开机号和试机号200期列表
|
3d试机号开机号今天金码关注
|
中国福彩3D独胆明日推荐
|
三d开机号和试机号今天牛彩网彩
|
3d开机号试机号码牛彩网
|
神仙姐姐独胆一个
|
3d毒毒毒胆胆胆中中中
|
今日詹天佑3d预测
|
3d今天专家预测号码
|
今晚快乐八专家预测推荐号
|
3d试机号历史情况
|
专家预测3d号码准确
|
3d推荐号码今晚预测
|
今晚3d预测推荐一注
|
3d预测专家推荐最准确
|
3D独胆今晚命中率最新
|
詹天佑3d预测推荐
|
3d今晚最准的一注
|
3d今晚上预测号码
|
3d今晚最准专家预测号码145
|
3d今晚出啥号
|
今晚3d结果开奖号码
|
3d带线走势图连线走势图
|
3d藏机图正版藏机图
|
3d最准预测号
|
3d焰舞和值谜字谜
|
福彩3D独胆内部杀号
|
今日正版3d藏机图全部汇总
|
3d专家预测最准确最新今天牛彩
|
白骨精3d独胆图今天
|
3d今天专家预测最准确
|
3d小红人三天计划
|
3d精准预测最准的专家直选
|
3d走势图基本走势图表
|
3d试机号开机号关注号金码
|
3d试机号开奖号走势图表
|
祖师爷独胆三天计划
|
3d独胆必下一独胆
|
3d基本走势图.
|
3d精选号码推荐今天最新
|
3d今天专家预测推荐号码
|
中国福彩3D独胆当天分析
|
3d推荐一注
|
3d预测最准专家预测号码
|
(暴富密码)绝杀两码预测
|
3d开心毒胆独胆王
|
3d推荐号今日预测
|
今日精准预测推荐3d号码
|
福彩3D独胆今晚走势最新
|
3d今晚预测最新最准确号码牛彩网
|
3d最新专家预测汇总大全
|
3D独胆下一期精准预测
|
3d单挑今天晚一注500倍
|
3d今天开机号和试机号是多少
|
3d今晚预测最新最准确
|
小龙一语定三胆3d今日字谜
|
3d毒胆王独胆
|
3d杀码一定牛
|
3d 今日太湖字谜
|
3d专家预测推荐
|
今天太湖字谜三字诀是什么
|
一定牛3d一注号推荐3d预测今天
|
3d藏机图天齐正版藏机图
|
今晚3d的开奖号码
|
于海滨海3d专家预测今天
|
3d免费专家预测推荐今天最新
|
3d专家最新最准专家预测汇总
|
15选5预测最准十专家预测
|
3d预测最准确的专家
|
布衣3d独胆双胆王
|
小红人的三天计划最新版
|
于海滨三地杀码
|
3d玩胆先生双胆独胆
|
于海滨彩吧图库
|
3d专家预测汇总牛彩网收集汇总
|
3d单双走势图表(专业版)
|
3d今天的推荐号
|
今天龙头凤尾预测
|
3d十大专家精准预测汇总
|
明天太湖3d三字诀
|
55125预测汇总3d
|
彩界女王双胆独胆
|
3d开机号码试机号牛彩网
|
3d字谜图谜总汇全图汇总
|
3d毒毒毒胆胆胆中中中
|
3d太湖钓叟字谜三字诀汇总
|
排三杀码专家定位杀码天齐网
|
3d和值尾振幅走势图3d走势3d之家
|
专家推荐最热一注是什么
|
3d今晚最准最新专家推荐号
|
3d最精准的专家预测
|
3d最新最准预测号码
|
3d专家预测最准最新今天
|
百位振幅走势图3d之家
|
3d十大专家精准预测汇总
|
3d专家预测号码手机牛彩网
|
今天的3d开机号和试机号查询
|
3d今天最新最准专家预测最
|
3d今晚推荐号码最新
|
今日3d直选一注
|
千禧3d试机号关注码金码试机号
|
3d今天专家预测最准确
|
3d预测牛彩网预测汇总
|
3d老炮子直选三注
|
3d专家预测最新推荐
|
3d直选一注今天
|
3d今晚预测直选一注
|
今天3d专家解太湖字谜汇总
|
3d万能大底共250注直选
|
詹天佑最新预测3d
|
3d李明启最新预测今天
|
3d开机号和试机号八仙选号
|
3d十大专家预测汇总
|
牛彩预测汇总3d最新
|
铁人铁胆定位包是预测
|
3d今晚专家看独胆
|
辉煌看胆双胆3d
|
3d最准专家预测号今晚3d试机号
|
李明启3d最新预测今天
|
中国福彩3D独胆最新推荐
|
3d预测最准最新准专家预测号码
|
于海滨3d预测号
|
3d之家独胆,双胆
|
3d开机号今天牛彩网近30期
|
3d今天最准专家预测
|
龙头凤尾最准确预测
|
今日3d预测号码推荐
|
3d直选走势图(专业版)
|
3d今晚上必出号推荐组
|
今晚3d开奖号码多少
|
3d预测专家最准确的专家预测今晚
|
3d今晚预测最新最准确号码牛彩网
|
3d和值尾振幅走势图3d之家
|
3d预测最准最新准专家预测号码
|
3d彩宝贝字谜
|
3d推荐号今晚专家预测最准确
|
万能四码找下期奖号
|
今晚上的3d开奖号
|
3d今晚专家预测
|
3d所有走势图
|
3d预测最准最新准专家预测号码
|
今天3d千禧试机号关注号金码号
|
3d开机号,试机号,金码号,对应码100
|
3d各路专家预测汇总大全最新
|
3d今晚专家预测最准确一注
|
3d预测专家最准确的专家预测今晚
|
钱王点评十钱王给胆下一期预测
|
3d今天开机号试机号3
|
千禧3d试机号关注码金码试机号
|
3d最准确预测专家
|
3d预测总汇手机牛彩网
|
财神爷三天计划必下更新
|
3d最准确专家预测
|
今晚3d出的什么号
|
今于海滨一语定胆保真今天
|
今于海滨3d预测今天牛彩网
|
【开心毒胆】今天
|
今日期3d太湖字谜
|
3d十大专家推荐号码汇总
|
福彩3D独胆团队分析最新
|
中国福彩3D独胆最新推荐
|
3d带连线专业版走势图表
|
3d焰舞和值谜字谜
|
陈华今晚就赌一胆今天最新
|
今天专家推荐号码3d
|
于海滨杀码图谜
|
3d藏机图正版藏机图打印版
|
3d今晚最准专家推荐号码
|
3d跨度振幅走势图3d专家
|
于海滨3d预测牛彩网
|
3d开机号和试机号今天千禧
|
3d跨度遗漏值振幅走势图彩经网
|
3d绝杀二码今天最新更新内容
|
3d今晚精彩预测
|
北斗3d今日专家预测推荐
|
3d预测推荐汇总
|
福彩3D独胆下期推荐预测
|
浙江风采3d走势图表
|
北斗3d今日专家预测推荐
|
3d预测专家推荐号码推荐
|
于海滨3d今晚预测号码
|
于海滨3d预测号
|
3d牛彩网专家预测
|
于海滨最新3d预测推荐今天
|
三d预测专家预测
|
3d百位遗漏振幅走势图南方双彩网
|
3d今天预测最准确专家
|
3d预测专家最准最新
|
今日3d一注推荐
|
3d最准一个独胆方法
|
陈华今天就赌一个胆3d
|
3d推荐最新最准专家预测
|
3d今天开机号试机号是几
|
千禧试机号金码关注号对应码杀码
|
今日正版藏机图全部汇总
|
3d推荐最新最准专家预测
|
3d专家推荐今天
|
3d专家预测最准确最新今晚预测
|
3d太湖字谜大全 太湖钓叟
|
铁人铁胆包星定位今天最新结果
|
六鬼神算图3d谜图
|
3d预测最准最新准专家预测号码
|
3d独胆之家
|
福彩3D独胆下一期走势最新
|
3d开机号,试机号,金码号,对应码100
|
3d玩胆先生双胆独胆
|
西施姐姐精心推算一独胆146
|
3d定百位一个号多少钱
|
3d预测最准最新牛彩网
|
3d今天千禧试机号关注号金码
|
3d开机号和试机号今天金码0
|
稳准狠三天计划
|
晚秋3d今晚和值谜
|
玩彩独胆王三天计划
|
财神爷三天计划必下更新
|
最准确3d专家预测
|
唐龙每日一胆天齐网
|
于海滨专家预测
|
今天专家推荐号码3d
|
3d预测分析
|
3d和值基本走势图新浪网
|
3d今天推荐号码
|
唐龙一语定胆最新
|
于海滨3d彩吧图库
|
3d最准预测专家推荐
|
浙江风采3d走势图表
|
3d最准预测专家推荐
|
今晚3d推荐号
|
今日3d字谜3d一句定三码诗天中图
|
十拿九稳的最新预测
|
3d预测 下一期 3d预测专家 3d预测
|
千禧开机号和试机号对应金码
|
3d怎么守号不亏
|
3d独胆专家推荐独胆
|
3d至尊计划独胆
|
财神爷三天计划
|
太湖钓叟三字诀字谜更新
|
3d万能三码中奖秘诀
|
3d预测最准最新准专家预测号码
|
今天的3d太湖字谜
|
3d直选历史遗漏查询
|
3d今天专家推荐号码
|
今日期3d太湖字谜
|
今日3d专家推荐号码
|
于海滨点评专家一语定胆保真版
|
3d百位四胆
|
今晚预测3d号
|
3d晶晶必下一独胆今天
|
3d断组预测
|
今晚上的3d开奖号
|
今天3d精选一注
|
3d牛彩网专家预测
|
今天3d千禧试机号关注号金码号
|
3d詹天佑3d预测
|
3d推荐号今晚专家预测
|
太湖字谜马后炮3d总汇
|
3d今晚开奖结果号码是
|
3d晚间字谜汇总汇
|
3d专家预测最准确
|
3d预测专家推荐最准确
|
金银胆神金胆银胆的最新消息
|
3d故事小王双胆
|
3d最准一个独胆方法
|
3d近30期开机号试机号开奖号查询
|
3d专家推荐最精准的号码
|
飞向阳光龙头凤尾今天最新消息
|
于海滨专家3d今天预测
|
3d四码直选多少钱一注
|
3d今晚专家预测最准确一注
|
毒胆牛人3天计划
|
3d今日预测最准专家预测
|
三d牛彩网开机号试机号是多少
|
带头大哥3d预测今晚
|
3d试机号金码号是多少
|
中国福彩3D独胆专家精准预测最新
|
3d太湖字太湖字谜
|
今晚3d专家推荐
|
3d专家预测最准确今天
|
3d专家预测号
|
今天3d开机号试机号金码
|
3d下期预测最准一注
|
天齐杀码图汇总
|
玩彩独胆王三天计划
|
无敌胆王今日双胆
|
3d专家预测最准确最新今天
|
3d今晚最准专家预测号码145
|
3d预测天齐网
|
3d和值尾振幅走势图带连线图表
|
3d最精准的专家预测
|
2014年359期3d焰舞字谜
|
3d预测牛彩网预测汇总
|
彩界女王双胆独胆
|
今晚3d推荐号
|
于海滨3d今晚预测号码
|
3d试机号和开奖号走势图
|
3d牛彩网和值走势图
|
十拿九稳专家最新预测
|
今晚了3d开奖结果
|
3d定百位一个号多少钱
|
今日太湖字谜3d字谜太湖钓叟
|
3d独胆10 10
|
3d最新最准专家预测号码
|
3d今天专家预测推荐号码
|
3d今晚预测直选一注3d一注预测
|
3d陈华今晚就赌一胆今天最新消息
|
今晚3d开奖直选结果
|
3d开机号今天近10期
|
太湖3d字谜太湖钓叟三字诀
|
三d牛彩网开机号试机号是多少
|
3d带线走势图牛彩网
|
3d今晚专家预测推荐号
|
今天3d专家预测号码
|
3d推荐号今晚专家预测最准确
|
陈华今天就赌一个胆3d
|
3d今晚上预测号码
|
3d今晚上专家推荐号
|
3d带线走势图连线走势图
|
3d陈华今晚就赌一胆今天最新消息
|
排五开奖最新结果排5
|
3d最准确的专家预测
|
3d今天专家预测推荐号码
|
3d胆1拖9直选多少钱一注
|
今天3d推荐号码今晚预测
|
3d最精准专家预测汇总今天
|
3d预测最准确的专家
|
三d牛彩网开机号试机号是多少
|
3d字谜总汇今日3d字谜总汇牛彩网
|
3d基本走势图结果
|
3d独胆10 10
|
唐龙预测一胆今天
|
今日3d钱王点评
|
开奖结果3d今天晚上
|
3d预测今晚最准专家预测号码
|
3d小龙一句定三码今日字谜天中图
|
3d今晚预测最新最准确号码牛彩网
|
3d今天专家预测号码
|
彩宝3d专业走势图
|
今日三地开奖码
|
3d精准预测专家预测
|
千禧3d试机号金码关注码对应码今晚
|
3d最新专家预测汇总大全
|
今天3d推荐号码今晚预测
|
3d最近基本走势图
|
3d今天专家预测最准
|
苦命人3d推荐一注
|
铁人铁胆3d包星定位最新今天
|
3d最晚间字谜汇总大全
|
3d最精准专家预测汇总今天
|
三d字谜图谜总汇牛彩网
|
3d今日专家精准推荐号
|
于海滨一语定胆保真
|
千禧试机号金码关注码的历史记录
|
3d机选一注
|
【福星】3d单挑10注组
|
3D独胆高手走势最新
|
3d预测今晚最准
|
3D独胆专家分析
|
3d最佳一注号码
|
中国福彩3D独胆内部走势最新
|
于海滨3d最新预测
|
十拿九稳预测专家分析
|
3d藏机图完整版今天
|
3d北斗专家北斗预测今天079期3d
|
3d小龙一句定三码今日字谜天中图
|
张克永3d预测今天
|
今晚3d专家预测最准确
|
3d直选综合走势图
|
3d两天独胆王
|
3d白娘子跨度字谜汇总今天牛彩网
|
今天3d专家预测汇总
|
3d预测 下一期 3d预测专家 3d预测
|
3d预测最准确的专家
|
3d最小值振幅走势图3d之家
|
千禧3d试机号金码关注码杀码今天3d
|
3d专家预测最准确最新今晚预测号
|
3d太湖钓叟字谜三字诀了3d开奖
|
千禧试机号金码今天的
|
中国福彩3D独胆下期分析最新
|
3d和值走势图表综合版
|
3d走势图带试机号彩宝网
|
3d断组预测
|
超级毒胆
|
排五近100期开奖号结果
|
3d村独胆双胆3
|
3d布衣独胆王正版今天
|
牛彩预测汇总3d最新
|
玩胆先生今晚双胆
|
3d詹天佑点评
|
3d今天的试机号和开机号
|
3d万能三码中奖秘诀
|
3d开机号和试机号今天千禧
|
铁人真胆一句定三码3d字谜彩搜网
|
3d最精准专家预测汇总今天
|
3d推荐号今晚专家预测最准确
|
3d太湖字太湖字谜今天
|
十拿九稳预测分析
|
最精准杀码王
|
今晚3d预测推荐一注
|
3d今天开机号和试机号232
|
今晚了3d开奖结果
|
白姐3d今天预测号码
|
3d今晚最准最新专家推荐号
|
3d今晚专家预测推荐号
|
3d今晚必下一个胆
|
3d财神爷独胆双胆双飞计划三天
|
今日太湖字谜3d字谜太湖钓叟
|
3d专家预测最准确今天南方双彩网
|
3d北斗专家北斗预测今天079期3d
|
3d藏机图正版藏机图汇总今天最新图片
|
3d牛彩网专家汇总汇总大全
|
3d李明启最新预测今天
|
3d今晚上专家推荐号
|
于海滨点评专家一注定胆保真版162期
|
3d独胆专家预测
|
3d太湖钓叟三字诀字谜汇总
|
3d今晚推荐号
|
3d于海滨上的今天杀码
|
今晚3d专家预测最准确
|
今日3d开奖号今晚
|
3d专家预测最准确最新推荐号码
|
中国福彩3D独胆明日推荐
|
3d今晚专家预测最准确一注
|
3d专家预测汇总牛彩网收集汇总
|
3d牛彩网试机号后专家预测汇总
|
3d开机号和试机号金码今天的
|
高手看3d经典独胆组合
|
3d藏机图正版藏机图诗汇总
|
3d双胆大师
|
3d预测最准确专家预测
|
了3d开奖结果 今天晚上
|
今日3d太湖字谜每天更新
|
3d试机号后专家预测汇总
|
福家老三3d推荐号
|
3d今晚推荐号
|
中国福彩3D独胆最新推荐最新
|
3d预测今晚最准专家预测号码
|
3d今晚专家推荐
|
3d最准确专家预测
|
97654天中图库,今天晚3d试机号
|
预测今晚3d一注
|
3d最精准的专家预测
|
3d和尾振幅走势图3d专家
|
3d至尊计划独胆
|
3d预测推荐汇总大全
|
3d开机号和试机号八仙选号
|
3d开奖号历史上的今天
|
3d最准一个独胆毒胆
|
今日3d太湖字谜更新
|
3d预测专家推荐号码
|
3d太湖字谜官网
|
3d孙大财就赌一个胆
|
陈华今天就赌一个胆3d
|
今天的3d推荐号码是多少
|
3d天中杀码图专区
|
3d大老人预测
|
3d试机号开机号关注号金码
|
今晚3d推荐号
|
千禧3d开机号试机号金码
|
今日3d开机号和试机号列表三十期
|
3d最准确预测100%一注
|
3d詹天佑最新预测今天
|
3d单选一注能中多少钱
|
陈华今晚就赌一个胆今天最新更新内容
|
3d基本走势图 综合 太湖三字诀字谜三
|
3d专家预测汇总
|
3d布衣独胆王正版今天
|
3d开机号和试机号今天千禧
|
3d专家预测最准确今天上一期
|
3d专家预测最准确最新今天牛彩
|
3d詹天佑预测分析牛彩网
|
3d预测詹天佑最新
|
3d精准定位专家预测
|
3d千禧开机号和试机号码
|
3d预测号码最准最新准专家预测号
|
3d独胆二天计划
|
3d今晚专家预测推荐号
|
3d预测专家推荐号码
|
齐彩网3d专家预测
|
3d北斗专家北斗预测今天079期3d
|
3d今日预测推荐号
|
3d预测专家最准确的专家预测今晚
|
今晚上必中一注
|
3d专家今天推荐号码推荐
|
今天3d精选一注
|
3d十个位差值振幅走势图3d之家
|
今天3d中奖
|
3d和值和尾振幅走势图
|
今天太湖字谜三字诀是什么
|
彩宝3d专业走势图
|
千禧3d试机号金码关注码牛彩网
|
3d最新最准专家预测号码
|
3d今天开机号试机号100期
|
3d百十和值尾振幅走势图
|
3d和值尾振幅走势图3d之家
|
3d最准的预测专家
|
3d预测最准确专家预测
|
3d今天预测号
|
3d今晚预测最准确一注
|
3d最精准专家预测汇总今天
|
我是毒胆王,今晚独胆
|
3d定位独胆王三个双飞
|
中国福彩3D独胆今日走势最新
|
3d预测最准专家预测牛彩网
|
3D独胆内部精准预测
|
3d太湖字谜总汇大全 每天更新
|
3d今晚专家预测
|
3d彩吧图库44462
|
3d今晚专家预测最准确一注
|
3d百个和值尾振幅走势图
|
今天晚上的3d开奖结果
|
3d之家预测专家预测
|
于海滨3d预测牛彩网
|
3d预测最准确专家预测
|
于海滨3d彩吧图库
|
排五预测号专家
|
3d试机号今晚牛彩网
|
3D独胆下一期精准预测
|
3d今晚开机试机号
|
3d免费预测
|
3d精准预测最准的专家直选
|
3d定位独胆王三个双飞
|
排3藏机图正版藏机图今天 3d八哥图库总汇d字谜图谜总汇大全
|
排五开机号试机号今天查询
|
3d千禧试机号关注号金码牛彩网
|
3d詹天佑预测分析牛彩网
|
3d十大专家汇总精选一注
|
今于海滨3d预测今天牛彩网
|
3d专家杀码天中图库
|
3d预测一注精准
|
3d最准确最新专家预测
|
3d试机号近30期牛彩网
|
3d今晚预测最新最准确号码牛彩网
|
3d金银胆神双胆
|
中国福彩3D独胆下期分析最新
|
3d试机号开机号近50期
|
今天3d字谜解太湖字谜
|
3d千禧试机号开机号对应码关注号
|
3d解太湖字谜汇总
|
今日3d开机号和试机号关注码千禧
|
3d 今日太湖字谜
|
3d今晚预测开奖号码
|
3d今天开机号和试机号码牛彩网
|
3d今晚开奖号码多少
|
3d双胆独胆
|
3d今晚专家预测最准确一注
|
中国福彩3D独胆最新必中
|
3d开奖号码今晚走势图
|
今晚3d推荐号码
|
千禧3d试机号金码关注码码关注码双彩论六个
|
3d专家预测推荐最新
|
3d的最新走势图表
|
3d顶级胆神双胆
|
3d近30期试机号和开奖结果
|
3d今晚必中一注一注
|
福彩3D独胆最新预测
|
今晚3d专家推荐重点号码
|
3d专家预测号码手机牛彩网
|
于海滨最新3d预测推荐今天
|
今晚开奖号码3d开奖结果
|
3D独胆高手走势最新
|
3d今天专家预测推荐号码
|
于海滨最新3d预测推荐今天
|
专家3d预测汇总
|
于海滨点评专家一注定胆保真版162期
|
神仙姐姐三胆
|
3d于海滨专家预测
|
3d百位定位走势图
|
3d今日开机号和试机号及关注码
|
今天3d开机号 和试机号 查询结果
|
预测3d
|
3d跨度走势图图表
|
3d和值走势图表综合版
|
3d最准一注(单挑王)
|
3d玩胆先生双胆独胆
|
3d长中剑客预测今天
|
3d今晚专家预测推荐号
|
3d开奖号走势图表
|
3d直选100%中奖绝技软件
|
3d今晚预测最准确一注今天
|
3d今晚预测最新最准确号码牛彩网
|
专家预测3d号码准确
|
今晚3d太湖字谜
|
3d真实的谎言字谜总汇正版
|
3d今天专家推荐号码推荐
|
3d专家最新最准预测
|
3d藏机图正版藏机图诗汇总
|
中国福彩3D独胆下期推荐杀号最新
|
3d千禧试机号金码关注码对应码
|
太湖钓叟三字诀字谜更新
|
3d今晚试机号是多少
|
3d预测专家最准确
|
六鬼神算图3d谜图
|
3d彩界精英独胆双胆
|
3d预测专家最准确的专家预测今晚
|
一代女王杀两胆
|
十拿九稳今天预测专家
|
3d北斗专家北斗预测今天079期3d
|
3d预测牛彩网
|
3d专家詹詹天佑最新推荐
|
3d精选号码推荐今天最新
|
3D独胆明日精准预测
|
3d今天专家预测推荐号码
|
3d直选综合走势图
|
于海滨3d预测
|
詹天佑3d今天预测分析
|
3d预测最准专家预测
|
中国福彩3D独胆内部走势最新
|
3d今天开机号和试机号码
|
3d天中杀码图专区
|
3d专家最新最准预测
|
中国福彩3D独胆独家必中最新
|
3d走势图带试机号彩宝网
|
3d今天试机号开机号金码
|
3d今天开机号和试机号金码对应码
|
3d最准预测专家汇总大全
|
今天太湖字谜3d字谜太湖钓叟
|
3d预测最新最准专家
|
3预测,3d专家预测,最准确今天彩网
|
3d十大专家双胆预测汇总
|
3d预测专家最准确的专家预测
|
中国福彩3D独胆实时必中最新
|
3d必中永久直选500注大底
|
于海滨最新预测今天
|
3d专家预测推荐号码最准最新
|
3d试机号牛彩网近三十期
|
3d买一个独胆中了得多少钱
|
今日3d预测专家推荐
|
今晚3d专家预测精选一注
|
3d预测最准专家预测
|
3d推荐最新最准专家预测
|
3d今晚最准最新专家推荐号
|
3d直选三注必中免费
|
3d基本走势图表新浪网
|
唐龙一语定胆3d今天
|
3d静态版预测静态版
|
3d预测专家最准最新
|
3d之家双胆独胆预测
|
3d今晚专家预测推荐号
|
3d独胆双胆下一
|
于海滨海3d专家预测今天
|
3d专家预测最准确今天牛彩网
|
3d专家预测最准确今天上一期
|
今天3d的开机号和试机号是多少号
|
3d北斗专家北斗预测今天079期3d
|
3d预测专家推荐号码推荐
|
3d今天开机号和试机号码
|
天府袍哥3d预测
|
3d于海滨专家预测
|
3d计算机开机号夏天推荐
|
三d走势图基本走势图彩宝网
|
今天最新3d开机号试机号关注码
|
今日3d专家预测号码推荐
|
3d专家预测最准确最新今晚预测
|
张克永专家3d预测
|
3d今晚最准一注
|
3d千禧试机号和金码关注
|
今天3d开机号和试机号对应码查询
|
今日3d一注推荐
|
最准3d预测专家推荐号
|
李白看3d独胆绝20
|
3d十个位差值振幅走势图3d之家
|
3d跨度振幅3d之家走势图
|
3d北斗专家北斗预测今天079期3d
|
3d牛彩网预测汇总
|
福彩3D独胆下一期推荐
|
三天计划独胆牛人
|
牛彩预测汇总3d最新
|
三d独胆王独胆双胆
|
3D独胆团队精准预测最新
|
3d开机号,试机号和开奖号
|
3d最准确最新专家预测
|
3d最准预测专家预测大
|
唐龙一胆今天最新
|
金银胆神金胆银胆的最新消息
|
太湖3d字谜太湖钓叟三字诀
|
3d最准预测号
|
3D独胆下期推荐预测最新
|
3d专家最准确预测
|
3d百十和尾振幅走势图走势
|
3d今晚必下一个胆
|
千禧今晚3d试机号关注码金码对应
|
3d今天开机号试机号200期
|
3d专家预测最准确号码
|
3d精准预测专家预测
|
福彩3D独胆最新推荐最新
|
3d预测专家准确推荐
|
詹天佑3d今日预测
|
今日太湖钓叟三字诀字谜
|
3d开奖号码走势图表
|
辽宁独胆王三天计划
|
中国福彩3D独胆内部走势最新
|
今晚3d开奖号是多少
|
3d藏机图正版藏机图打印版
|
最准3d专家预测推荐
|
3d和值走势图彩宝网
|
3d双胆独胆非常非常
|
3d的预测号是多少
|
3d今晚预测精准
|
3d和值基本走势图表
|
3d十大专家杀一码汇总
|
3d今晚预测最新最准确号码牛彩网
|
詹天佑3d最新预测今天
|
3d陈华今晚独胆推荐
|
3d藏机图正版藏图汇总大全
|
3d独胆专家推荐独胆
|
3d专家预测推荐号最新
|
3d开机号和试机号今天多少
|
3d徐文轩今晚推荐号码
|
3d今天试机号开机号关系
|
3d单式怎么才算中奖
|
3d字谜图总汇
|
牛彩网3d预则
|
牛彩网3d预测汇总大全
|
今晚3d专家预测精选一注
|
3d今晚专家预测最准确一注
|
詹天佑3d最新消息今天
|
3d太湖钓叟字谜汇总正版藏机图
|
詹天佑3d今日预测
|
孟庆会老师3d预测彩吧图库今天
|
3d最准专家预测号今晚3d试机号
|
3d杀码更准确
|
3d今天最新最准专家预测最
|
今天3d开机号 试机号是多少
|
3d条件预测专家专区
|
3d下期预测最精准的一注号码
|
排5预测,最准排五专家
|
3d近300期试机号和开奖号码
|
牛彩网3d专家预测汇总摘要
|
今天专家推荐号码3d
|
3d今晚一注直选
|
3d基本走势图表新浪网
|
3d今天最新最准专家预测最
|
3d开机号和试机号金码和关注码
|
3d彩宝网开机号和试机号
|
3d独胆公式正确率在99%以上
|
中国福彩3D独胆独家必中
|
3d今晚一注推荐
|
今日3d专家预测号最准确
|
三地千禧关注码试机号
|
龙彩居士3d预测今天最新版
|
福彩3D独胆下一期推荐最新
|
3d之家独胆,双胆
|
3d带线走势图连线走势图
|
今晚3d专家预测最准确
|
今天3d开机号和试机号对应金码
|
3d双胆神算今天必下
|
3d开机号试机号今天最新50期
|
3d直选精准100%免费
|
三d之家独胆
|
于海滨3d预测免费每日精选
|
3d试机号关注号金码对应码开机号
|
三d预测专家最新推荐
|
3d邻孤传复隔中走势图
|
于海滨海3d专家预测今天
|
3d真实的谎言字谜总汇正版
|
宇海宾杀码图
|
3d今天专家预测号码最准确
|
3d字谜太湖钓叟三字诀17500
|
3d今晚专家预测推荐号
|
3d牛彩网今天开机号试机号
|
张克永专家3d预测
|
今天3d试机号开机号是什么
|
3d今晚预测一注
|
3d最准确专家预测
|
彩宝3d专业走势图
|
3d百个位和值尾走势图
|
牛彩网3d预测汇总
|
3d北斗专家北斗预测今天079期3d
|
3d太湖字太湖字谜今天
|
3d李明启最新预测今天
|
于海滨3d预测牛彩网
|
3d直选综合走势图表图
|
3d太湖一语定胆字谜
|
3d胆预测天齐网
|
3d牛彩网字谜图谜汇总九
|
排五奖号
|
3d今晚试机号是多少
|
3d今天最新最准专家预测最
|
毒胆牛人三天计划必出
|
三d便民字谜图谜总汇
|
今日钱王给胆点评
|
今日3d太湖三字谜
|
牛彩网3d专家预测汇总摘要
|
3d开机号和试机号今天多少
|
3d今晚专家预测最准确一注
|
彩吧3d开机号
|
3d今晚专家预测最准确一注
|
3d字谜太湖最新
|
3d预测最准的专家预测
|
3d专家预测最准确最新今晚预测号
|
今晚3d开机号试机号金码关注码
|
3d今天专家预测号码
|
3d专家预测最准确今天南方双彩网
|
中国福彩3D独胆下期推荐推荐最新
|
3d字谜汇总大全总汇牛彩网开机号
|
今晚3d专家推荐号码是多少
|
3d八哥图库总汇d字谜图谜总汇大全
|
3d最近100期历史记录
|
3d今晚最准专家推荐号
|
3d今晚最准专家预测号码145
|
十拿九稳的最新预测
|
福彩3D独胆本期推荐
|
今晚最全3d晚间字谜汇总192期
|
3d专家预测最准确最新推荐号码
|
于海滨3d预测牛彩网
|
今日正版藏机图全部汇总
|
3d开机号试机号30期列表走势图
|
p3故事小王双胆下一今天
|
十拿九稳预测最准100%
|
3d试机号今天开机号查询结果
|
于海滨3d预测专家今天
|
3d双飞怎么买多少钱一注
|
万能四码使用技巧
|
3d毒毒毒胆胆胆中中中
|
3d预测专家最准最新
|
于海滨3d预测免费每日精选
|
3D独胆实时推荐最新
|
3D独胆专家精准预测最新
|
太湖马后炮3d钓叟字谜
|
3d开机号和试机号八仙选号
|
近30期3d开机号和试机号
|
3d最准确预测专家
|
詹天佑今日3d预测
|
3d图库彩吧彩报第三版
|
3d个位走势图表
|
带头大哥3d预测今晚
|
3d之家预测专家预测
|
于海滨海3d预测保真
|
十拿九稳预测专家分析
|
p三杀码
|
3d预测詹天佑最新
|
3d定胆准确率100
|
3d组选中一注多少钱
|
今晚3d预测推荐一注
|
毒胆牛人三天计划必出
|
3d开机号今天近100期南方查询
|
3d精准预测最准的专家
|
bbs,55125:cn彩吧论坛
|
3d今晚出的什么号
|
3d专家今天推荐号码推荐
|
今晚3d专家推荐号码是多少
|
3d近100期试机号和开奖号是多少
|
牛彩网3d预测
|
3d今晚预测开奖号码
|
詹天佑今日最新点评
|
骄子铁鹰解3d字谜今日
|
3d开机号和试机号今天 今晚
|
千禧3d试机号金码关注码牛彩网
|
3d彩报图今天的第五版
|
今日3d预测
|
3d通杀一码准确率100%
|
3d今晚出的号码
|
3d专家预测最准确今天南方双彩网
|
3d字谜汇总大全总汇牛彩网开机号
|
下一期专家准确预测
|
3d今晚必出一注100%准确直选推荐
|
3d字谜总汇今日3d字谜总汇牛彩网
|
3d预测最准确的专家预测软件
|
3d双胆独胆非常非常
|
中国福彩3D独胆实时推荐
|
3d今天专家预测最准
|
3d专家预测最准确最新今天牛彩
|
3d中国独胆王今天
|
3d推荐牛彩网
|
今于海滨3d预测今天牛彩网
|
3d今晚预测开奖号码
|
福彩3D独胆下期推荐最新
|
3d今晚专家推荐号
|
3d千禧金码试机号关注码
|
3d今日预测最准专家预测
|
3d太湖钓叟字谜汇总正版藏机图
|
3d北斗今日预测
|
今天3d开机号试机号码
|
3d独胆王定位独胆定位
|
3d字谜图谜总汇全图汇总
|
3d开机号,试机号,金码号,对应码100
|
3d专家预测最准今天
|
3d千禧开机号和100期试机号
|
今天3d开机号和试机号多少?
|
唐龙点评3d预测今天
|
3d今晚专家预测最准确一注
|
今天3d必出一注
|
3d试机号近30期牛彩网
|
钱王点评+钱王老头预测
|
今晚必中一注i
|
周不出最新3d杀码
|
3d定百位一个号多少钱
|
3d近200期试机号和开奖号
|
3d之家双胆独胆预测
|
今天3d专家推荐重点号码
|
3d双胆独胆
|
3d今天预测最准确专家
|
于海滨预测3d号
|
3d今晚专家预测最准确一注
|
3d专家预测最准确今天南方双彩网
|
福彩3D独胆下一期推荐
|
3d今天推荐号码是多少
|
3d双胆大师
|
3d今晚专家预测推荐号
|
3d今晚必中一注
|
今天3d专家推荐重点号
|
3d今晚专家预测推荐
|
3d十大专家双胆预测汇总
|
于海滨杀码今天最新版
|
今晚3d开机号试机号金码关注码
|
3d双胆预测3d双胆下3d 双胆推荐
|
千禧3d试机号金码关注码牛彩网
|
3d北斗今日预测
|
毒胆牛人三天计划
|
3d上下五千年专家预测
|
3d专家预测最准
|
3d小鱼图今日背面字谜
|
3d今日预测最准专家预测
|
今晚开奖号码3d开奖结果
|
于海滨海3d专家预测今晚一注
|
3d杀码公式最新
|
3d胆拖价格表
|
最准一个毒胆
|
3d今天开机号试机号金码关注号
|
3d洞庭湖水今日预测分析
|
3d陈华今晚就赌一胆o11预测
|
最新3d预测专家预测
|
今日精准预测推荐3d号码
|
3d最准的预测专家
|
3d最新专家预测推荐
|
于海滨3d免费预测
|
千禧3d试机号金码关注码杀码今天3d
|
今日3d最准开机号
|
于海滨最新3d预测推荐今天
|
3d太湖专家预测今晚
|
3d试机号开奖号走势图表
|
3d预测专家最准确
|
排三王牌小哥独胆
|
卫星电话最建议买的三个型号
|
3d今晚专家预测推荐号
|
中国福彩3D独胆高手命中率
|
铁人铁胆包星定位今天最新结果
|
3d彩界精英独胆双胆
|
詹天佑今日3d预测
|
3d解太湖字谜汇总精选
|
3d火火人独胆双胆必中
|
看彩大亨最新独胆预测
|
3d藏机图正版藏机图汇总今天最新图片
|
陈华今天就赌一个胆3d
|
3d今天预测最准确专家
|
乾坤三天计划独胆预测
|
3d今天专家预测号码
|
于海滨杀码图谜
|
中国福彩3D独胆本期命中率
|
3d千禧试机号关注号金码号开机号
|
3d上下五千年专家预测
|
3d专家预测推荐号码
|
3d开机号和试机号金码和关注码
|
千禧3d试机号关注码金码试机号
|
3D独胆专家精准预测最新
|
3d推荐最新最准专家预测
|
无敌胆王今日双胆
|
3d双胆独胆
|
3d专家最精准的推荐
|
3d预测最准专家预测牛彩网
|
于海滨今日杀码图最新
|
今天三d专家推荐号码
|
今晚3d开奖号码多少
|
小胆神玩毒胆我3d
|
今日3d预测号码推荐
|
真实的谎言3d字谜追加和值谜
|
3d预测专家最准最新
|
排五预测最准专家
|
3d近100期试机号和开奖号是多少
|
太湖谜3d太湖钓叟字谜
|
中国福彩3D独胆最新必中
|
今天3d开机号试机号码
|
福彩3D独胆最新推荐最新
|
福彩3D独胆下一期预测最新
|
3d白娘子跨度字谜汇总今天牛彩网
|
3d最新专家预测汇总大全
|
牛彩网p3专家预测汇总
|
3d牛哄哄解太湖字谜今天
|
3d今晚最准专家推荐号码
|
3d今天中了多少注直选
|
中国福彩3D独胆最新走势
|
3d最准的预测专家
|
今日3d一句定三码和值谜食物全部
|
3d预测专家推荐
|
3d今天预测最准确专家
|
中国福彩3D独胆当天精准预测
|
无敌胆王独胆双胆
|
3d专家预测推荐最新
|
3d今天试机号开机号金码
|
3d今晚专家预测最准确一注
|
财神爷三天计划独胆组合
|
3d今天专家预测最准确
|
中国福彩3D独胆内部杀号
|
3d紫云涧专家预测推荐
|
3d预测专家推荐
|
看彩大亨最新独胆预测
|
3d今晚预测开奖号码
|
小林3d最新预测今天
|
今日钱王给胆点评
|
牛彩网专家汇总汇总3d
|
3d今日推荐号
|
2002146期3d开奖结果
|
3d今晚开奖结果号码是
|
3d预测号最新最准牛彩网
|
陈华今天就赌一个胆3d
|
3d今天开机号和试机号牛彩网
|
唐龙一胆
|
3d跨度分位走势图图感觉
|
3d预测专家最准确
|
3d专家最新最准专家预测
|
3d专家预测推荐
|
3d试机号关注号金码对应码开机号
|
詹天佑3d点评预测
|
3d于海滨上的今天预测
|
3d白娘子跨度字谜汇总今天牛彩网
|
3d千禧开机号试机号关注金码
|
3d专家预测最准确最新新闻
|
今天3d专家推荐重点号码
|
3d今天专家推荐号码推荐
|
3d最精准专家预测汇总今天
|
3d鸿运坊预测号
|
超级毒胆
|
3d今天专家预测号码最准确
|
3d预测专家最准确今天
|
3d孙大财就赌一个胆
|
3d必中永久直选500注大底
|
3d推荐最新最准专家预测
|
3d预测号码最准确专家预测
|
3d预测最准最新准专家预测号码
|
3d开机号试机号今天最新50期
|
开机号试机号3d今天
|
福彩3D独胆高手预测
|
千禧3d试机号金码关注码对应码
|
3d中奖
|
3D独胆高手走势
|
3d今日预测最准专家预测
|
钱王老头点评牛彩网
|
詹天佑最新预测3d
|
3d跨度分位走势图图感觉
|
3d预测最准确专家预测
|
3d杀码大全 天齐网 于海滨3d最新预测 千禧3d试机号金码关注码对应码今晚
|
3d预测专家推荐最准确
|
福彩3D独胆老师必中最新
|
最准3d专家预测推荐
|
3d今天开机号和试机号是多少
|
3d今天开机号和试机号是多少
|
3d试机号今天晚上是多少
|
3d和值尾振幅近100期走势图
|
孟老师专家预测3d
|
3d最新专家预测汇总大全
|
于海滨3d预测号
|
3d精准三注直选
|
3d预测最准的专家
|
福彩3D独胆当天分析最新
|
3d专家预测最准确最新今天
|
福彩3D独胆下一期走势最新
|
今天最新3d开机号试机号关注码
|
我是毒胆王,今晚独胆
|
孟庆会专家3d预测
|
3d双胆下一
|
今晚3d开奖号是多少
|
精准3d独胆
|
3d预测最新最准3d之家
|
中国福彩3D独胆当天精准预测最新
|
今天3d推荐号码今晚预测
|
专家预测3d号码准确
|
3d玩彩老头预测今天号码
|
北斗3d专家预测
|
3d 计算公式
|
3d专家预测号码推荐今天
|
3d最新最准专家预测号码
|
于海滨3d预测今天
|
3d预测最准的专家预测
|
3d今晚必出一注100%准确直选推荐
|
于海滨海3d预测免费每日精选3d开奖号
|
3d打一个独胆中了多少钱
|
3d平均值走势图振幅3d之家
|
3d开机号和试机号今天千禧
|
今晚3d预测推荐一注
|
3d牛哄哄解太湖字谜今天
|
3d藏机图天齐正版藏机图
|
今天3d开机号 和试机号 查询结果
|
3d预测号码最准最新推荐
|
3d直选一注50倍单挑
|
3d专家预测推荐号码
|
千禧金码关注码试机号
|
三d之家独胆
|
今晚3d专家最精准的预测
|
3d最准确的专家预测
|
3d独胆专家推荐独胆
|
3d走势图带试机号彩宝网
|
牛彩网3d专家预测汇总
|
3d百个位和值尾走势图
|
3d预测最准专家预测号
|
小薇3d预测今天推荐
|
(暴富密码)绝杀两码预测
|
于海滨杀码图今天最新
|
3d布衣独胆王正版今天
|
3d免费精准直选三注
|
千禧3d试机号关注码金码试机号
|
3d今天专家推荐
|
助赢计划软件官网版下载
|
3d预测号码最准最新准专家预测号
|
万能四码图表
|
钱多多3d百位定独胆
|
全民胆王3d独胆一个
|
天齐网专家杀码大全
|
铁人铁胆3d定位包星预测
|
字谜3d太湖马后炮
|
于海滨预测号
|
今天3d开机号试机号对应码列表
|
中国福彩3D独胆下期推荐推荐最新
|
中国福彩3D独胆明日推荐最新
|
3d今晚专家预测最准确一注
|
排5预测,最准排五专家
|
今日3d字谜太湖钓叟字谜
|
3d推荐号今晚专家预测最准确
|
藏机图3d正版总汇
|
3d开机号和试机号金码关注
|
今天3d专家解太湖字谜汇总
|
3d太湖试机号
|
3d字谜总汇今日3d字谜总汇牛彩网
|
3d杀码图
|
福家老三3d推荐号
|
今日3d正版藏机图全部天齐
|
3d今晚预测一注
|
3d直选至今未出号
|
3d个位振幅走势图近50期
|
3d牛彩网试机号后专家预测汇总
|
3d专家预测最准最新今天
|
十拿九稳预测最准100%
|
3d恋预测今晚预测是哪里出的
|
今日3d专家精准推荐
|
今天3d专家推荐号
|
3d最准确的专家预测
|
唐龙每日一胆天齐网
|
带头大哥3d预测今晚
|
3d牛彩网专家预测
|
3d预测最准最新牛彩网
|
3d开奖号走势图表
|
3d预测今晚最准
|
中国福彩3D独胆老师分析最新
|
3d独胆专家推荐独胆
|
3d预测专家推荐最准确
|
3d今天推荐号码是多少
|
3d基本走势图表
|
3d专家今天预测汇总
|
小红人的三天计划最新版
|
3d预测专家最准确的专家预测今晚
|
3d专家预测最新
|
3d往年历史今天开奖结果
|
两天双胆计划王
|
牛彩网3d预测汇总大全
|
今天3d专家推荐重点号
|
3d最新最准预测号码今天
|
廊坊鸿运3d最新预测
|
开奖结果3d今天晚上
|
3d预测汇总牛彩网
|
3D独胆高手精准预测
|
3d今天最新最准专家预测最
|
3d字谜总汇今日3d字谜总汇牛彩网
|
福彩3D独胆下期推荐预测
|
3d千禧试机号码金码关注码
|
3d最大值走势图彩经网
|
太湖3d字谜三字诀
|
钱王老头点评牛彩网
|
于海滨专家一语定胆十每日
|
于海滨最新3d预测今天
|
3d于海滨上的今天预测保真
|
3d单选一注能中多少钱
|
3d今天中了多少注直选
|
3d预测一注号推荐
|
3d今天断组预测
|
今日3d预测专家推荐
|
3D独胆大神命中率最新
|
3d直选历史遗漏查询
|
3d专家预测最准确最新今晚预测号
|
今晚3d开机号试机号
|
3d今天专家预测最准确
|
今晚3d专家推荐号码是多少
|
3d走势图带试机号彩宝网
|
七爷独胆今晚一个胆
|
3d今晚专家预测最准确一注
|
3d专家预测最准确最新今天
|
3d开机号试机号30期列表走势图
|
太湖3d字谜三字诀
|
3d专家预测最准确最新今晚预测
|
3d最准一注(单挑王)
|
三d预测专家最新推荐
|
3d预测最准的专家
|
今天3d于海滨预测
|
牛彩网杀码大全
|
三d便民字谜图谜总汇
|
今日3d十大专家双胆总汇
|
唐龙一胆今天最新
|
3d推荐号今晚专家预测
|
今天晚上3d开奖结果
|
3d村独胆双胆3
|
于海滨3d杀码图145
|
3d预测最准确专家预测
|
昨天3d开奖号是多少
|
3d预测最准确专家预测
|
3d下期预测最精准的一注号码
|
3d最准的预测专家
|
3d专家预测最准今天
|
3d今晚预测直选四注
|
3d最准预测专家推荐
|
3d专家预测推荐最新
|
3d杀码百位十位个位
|
一代女王决杀两胆免费观看
|
今天彩报中心 3d图库
|
于海滨点评专家一注定胆保真版162期
|
3d牛彩网专家预测
|
3d开机号,试机号,金码号,对应码100
|
3d试机号和开奖号走势图
|
3d专家最新最准今天预测
|
周星星3d预测手机牛彩网
|
3d手机预测牛彩网
|
3d鸿运坊预测号
|
3d彩宝贝字谜
|
3d基本走势图表新浪网
|
3d太湖钓叟字谜三字诀论坛
|
3d今天开机号和试机号是多少
|
3d预测一注号推荐今晚
|
3d字谜总汇今日3d字谜总汇牛彩网
|
3d推荐号今日预测
|
3d近300期试机号和开奖号码
|
3d预测最准最新准专家预测
|
3d预测最准专家预测
|
今天3d专家推荐重点号码
|
今晚3d开奖号码多少
|
3d预测最精准一注
|
沈宝桢个人简历
|
3d精准预测专家预测
|
3d和值012走势图带连线图
|
今于海滨点评专家一语定胆
|
今天3d太湖钓叟三字谜
|
3d推荐号今晚专家预测最准确
|
3d预测专家最准确的专家预测今晚
|
3d专家今天预测汇总
|
3d今晚专家推荐号
|
今晚3d专家最精准的预测
|
3d之家预测专家预测
|
今日钱王给胆点评
|
3d预测最准最新准专家预测号码
|
2025长期守号最佳5注推荐
|
今日3d专家预测号最准确
|
千禧试机号金码关注号对应码杀码
|
3d预测专家最准确的专家预测昨天
|
3d近200期试机号和开奖号
|
3d杀码图
|
今晚精准一注3d
|
今天3d开机号试机号对应码列表
|
3d试机号后专家预测推荐汇总
|
陈华3d今晚就赌一个胆天齐网
|
3d任意两码差值尾走势图
|
无敌胆王独胆双胆
|
中国福彩3D独胆本期推荐
|
3d开机号试机号近100期开奖号码
|
今天专家推荐号码3d
|
今日3d藏机图汇总 正版 新版
|
3d预测最准最新准专家预测
|
今于海滨3d预测
|
铁人铁胆定位包是预测
|
3d今天开机号和试机号码200
|
3d专家预测最准确
|
3d开机号试机号30期列表彩宝网
|
3d今天专家推荐号码
|
3d最准确的专家预测
|
3d杀码图汇总
|
詹天佑3d今天预测分析
|
3d最新专家预测精选一注
|
3d最准确预测专家
|
3d预测最准专家
|
中国福彩3D独胆今晚分析
|
今天3d开机号和试机号金码
|
3d最准一注号码
|
3d今天开机号,试机号
|
3d独胆预测必下一胆
|
千禧金码关注码试机号
|
3d十大专家杀三码
|
于海滨海3d专家杀码
|
于海滨今日杀码图
|
于海滨3d预测号
|
今日三地开奖码
|
3d预测最准的专家预测
|
3d今晚上开奖号码
|
马到成功杀两码最新版本更新内容
|
3d今天专家预测最准确
|
3D独胆独家推荐最新
|
3d今晚最准专家推荐号
|
排三今晚十拿九稳最新预测
|
3d各类和值谜追加汇总
|
3d专家预测最准最新今天
|
3d专家最新最准预测
|
3d预测今晚最准
|
3d免费专家预测推荐今天最新
|
于海滨杀码图谜
|
3d长中剑客预测今天
|
3d陈华今晚独胆预测
|
3d预测号专家预测
|
3d最准预测专家推荐
|
钱王点评十钱王给胆下一期预测
|
今天晚上3d开奖结果
|
3d今晚精选一注
|
3d预测今日最新推荐
|
3d今天专家推荐号码推荐
|
今于海滨最新预测今天
|
今天龙头凤尾预测
|
钱王点评钱王老头预测
|
3d和走势图 和值尾连线
|
龙头凤尾最准确预测
|
下期必出号码预测
|
苏会文3d预测今天推荐
|
3d最准确预测专家
|
3d跨度五行走势图3d之家
|
3d预测最新最准确号码
|
于海滨海3d专家预测今天
|
3d 计算公式
|
3d陈华今晚独胆预测
|
今天3d推荐号码今晚预测
|
3d今天专家推荐号码推荐
|
3d近15期开奖号码结果
|
3d最准确预测专家
|
于海滨3d最新预测
|
3d预测最准最新准专家预测
|
3d两胆精准预测
|
助赢计划软件免费版下载安装
|
3d预测最准最新准专家预测号码
|
3d今晚最准一注
|
3d预测专家推荐最准确
|
3d今晚预测最新最准确号码牛彩网
|
于海滨3d预测今天
|
今日3d开奖号今晚
|
小薇3d预测今天推荐
|
金银胆神金胆银胆的最新消息
|
3d十大专家汇总精选一注
|
3d最新专家预测汇总
|
于海滨3d预测牛彩网
|
3D独胆下期推荐预测最新
|
3d开机号试机号今天最新50期
|
3d预测今晚最准专家预测号码
|
3d今日预测最准专家预测
|
3d机选一注
|
排三十拿九稳今天预测
|
3d今天的试机号和开机号
|
3d开机号和试机号金码和关注码
|
3d直选综合走势图表图
|
独胆王三天计划
|
百位振幅走势图3d之家
|
千禧试机号金码关注码的历史记录
|
福彩3D独胆独家命中率最新
|
排五近100期开奖号结果
|
3d藏机图正版藏机图全图牛彩网
|
3d独胆王正版
|
天才计划三天计划独胆
|
3d最准专家预测号今晚3d试机号
|
3d专家预测最准确最新今晚预测
|
今晚开奖号码3d开奖结果
|
今天的3d推荐号码是多少
|
彩界女王双胆独胆
|
3d最准专家预测方法
|
3d今晚专家预测最准确一注
|
千禧3d关注码
|
3d和值和尾走势图带连线图表
|
3d之家独胆,双胆
|
祖师爷独胆三天计划
|
3d姜子牙一句定三码最准字谜汇总
|
3d最准预测
|
今晚3d开机号试机号金码关注码
|
廊坊鸿运3d预测今天
|
字谜3d太湖马后炮
|
3d中间最小两码差值振幅走势图
|
神仙姐姐今晚杀码
|
今日3d开机号和试机号关注码千禧
|
3D独胆大神命中率最新
|
3d今晚最精准专家
|
北斗3d今日专家预测推荐
|
3d杀码高手
|
3d今天专家预测推荐号码
|
最新3d预测专家预测
|
飞向阳光龙头凤尾今天最新消息
|
3d基本走势图表
|
3d推荐号今晚专家预测最准确
|
排3太湖钓叟字谜三字诀
|
3d最新专家预测汇总大全
|
3d千禧开机号试机号关注金码
|
3d预测最准专家预测号码
|
3d带线走势图牛彩网
|
今晚3d直选推荐
|
3d近30期试机号和开奖结果
|
3d今天专家推荐号码是多少
|
3d藏机图正版藏图汇总大全
|
福彩3D独胆最新走势最新
|
千禧3d试机号金码关注码杀码今天3d
|
今晚3d专家预测最准确
|
独胆三天计划
|
3d彩宝网开机号和试机号
|
3d预测 下一期 3d预测专家 3d预测
|
于海滨一语定胆保真
|
3d于海滨预测预测牛彩网
|
3d带线走势图连线走势图
|
解太湖3d字谜太湖
|
3d今天专家预测号码
|
3d两胆下一稳定方法
|
3d开机号今天试机号查询
|
3d十大专家推荐号码汇总
|
今晚3d专家推荐号码是多少
|
3d今天绕胆图彩之网
|
今晚3d出啥
|
3d今晚专家推荐
|
排三杀码专家天齐网
|
3d专家预测最准最新
|
3d十个位差值振幅走势图3d之家
|
3d试机号今天开机号查询结果
|
3d今天专家预测推荐号码
|
3d直选精准100%免费
|
3d开机号和试机号30期列表
|
三d预测专家预测今天最新 今于海滨3d预测
|
今日焰舞3d焰舞字谜汇总大全
|
3d今晚专家预测最准确一注
|
今天晚上三d开奖结果
|
3d预测最准专家预测
|
于海滨海3d专家预测今天
|
3d今晚预测最准确一注
|
3d开机号和试机号9.30分
|
3d十大专家精准预测
|
三d走势图基本走势图彩宝网
|
于海滨点评专家一注定胆保真版162期
|
3d两胆王双胆必下
|
独胆三天计划
|
中国福彩3D独胆独家预测
|
3d两胆下一稳定方法
|
3d今晚中奖号是多少
|
3d预测最准最新准专家预测号码
|
3d专家预测推荐汇总
|
3d今晚预测最新最准确号码牛彩网
|
3d太湖字谜汇总今天
|
3d今天专家推荐号码推荐
|
于海滨3d预测号
|
3d最精准专家预测汇总今天
|
3d今晚开奖号结果
|
3d千禧试机号关注金码30期
|
3d双胆大师
|
3d预测最准的专家预测
|
3d六码复式多少钱一注
|
福彩3D独胆下期推荐精准预测
|
3d乾坤独胆王独胆
|
3d跨度振幅近100期走势
|
天才计划三天计划独胆
|
龙头凤尾最准确预测
|
千禧之年3d开机号试机号金码关注
|
3d推荐最新最准专家预测
|
千禧3d试机号关注码今天
|
3d预测推荐汇总牛彩网采摘收集
|
3d今晚专家预测推荐号
|
3d今晚专家推荐号
|
中国福彩3D独胆专家推荐最新
|
今晚3d开奖直选结果
|
3d预测牛彩网预测汇总
|
3d推荐牛彩网
|
3d今日开机号和试机号及关注码
|
3d双胆独胆非常稳
|
龙头凤尾今日预测
|
3d今晚最准专家推荐号
|
3d今晚的独胆
|
3d今晚最准确一注
|
3d开机号和试机号金码关注对应号
|
3d字谜汇总大全总汇牛彩网开机号
|
3d今晚预测最准确一注
|
今天3d开机号试机号金码
|
3d和值尾振幅走势图带连线图表
|
3d开机号试机号今天最新50期
|
于海滨精准杀码图
|
3d今天专家预测推荐号码
|
3d试机号是多少牛彩网
|
3d藏机图正版藏机图汇总今天最新图片
|
中国福彩3D独胆当天精准预测最新
|
3d推荐号今晚专家预测最准确
|
中国福彩3D独胆下一期预测最新
|
3d长中剑客预测今天
|
3d最精准的专家预测精选
|
3d最新基本走势图表
|
3d今晚专家预测最准确一注
|
今晚3d专家最精准的预测
|
老炮子3d直选三注
|
3d之家双胆独胆预测
|
张克永3d预测今天
|
3d今晚必出号
|
3d预测最准最新牛彩网
|
3d天中杀码图专区
|
3d字谜太湖字
|
3d于海滨专家预测
|
3d预测今日最新推荐
|
3d下期预测最精准的一注号码
|
3d胆王帅哥独胆双胆
|
3d今天专家推荐号码推荐
|
詹天佑3d预测号
|
独胆三天计划
|
3d专家杀码
|
下一期专家推荐号码
|
3d直选走势图(专业版)
|
于海滨专家3d今天预测
|
3d预测专家精准推荐号
|
中国福彩3D独胆最新推荐
|
3d今天开机号试机号200期
|
3d预测最准的专家预测
|
3d跨度振幅3d之家走势图
|
今晚3d专家推荐
|
明天太湖3d三字诀
|
3d最准一个独胆毒胆
|
3d和值专家推荐和值
|
3d试机号后专家预测汇总手机网
|
3d预测号码最准确专家预测
|
3d精准推荐号
|
3d专家今天预测一注
|
周不出最新3d杀码
|
今天最新3d开机号试机号关注码
|
3d精准预测专家预测
|
3d预测专家预测
|
3d预测专家推荐
|
3d今天专家预测最准
|
3d推荐号今日预测
|
牛彩网3d预测分析汇总大全
|
3d开奖号走势图表
|
3d小红人三天计划
|
3d今天的开机号和试机号查询
|
2002146期3d开奖结果
|
3d最准的预测专家
|
今天3d必出一注
|
3d杀码一定牛
|
3d最精准的专家预测
|
三七进二得三码猜一生肖
|
3d预测最准确的专家预测软件
|
3d最准专家预测号
|
3d预测号最新最准牛彩网
|
3d专家预测最准牛彩网
|
3d开机号试机号30期列表彩宝网
|
马后炮解3d太湖钓叟字谜总汇大全
|
3d专家预测推荐号码
|
3d三胆
|
詹天佑3d今晚预测号码
|
今晚3d预测最准一注
|
3d开机号试机号奖号
|
3d开机号今天近100期南方查询
|
于海滨预测号
|
于海滨海3d专家预测今晚一注
|
福彩3D独胆下期推荐必中
|
3d直选走势图(专业版)
|
骄子铁鹰解3d字谜今日
|
3d之家,专家预测预测
|
铁娘子三天计划独胆必下300
|
3d今天专家预测最准
|
千禧3d试机号关注码金码今天的
|
3d于海滨上的今天预测保真
|
3d每天都有开奖吗
|
3d试机号后专家预测推荐汇总
|
3d今晚预测直选一注
|
3d免费专家预测推荐今天最新
|
3d预测专家推荐号码推荐
|
今天3d开机号和试机号对应码查询
|
3d今晚专家预测最准确一注
|
3d六码组三多少钱一注
|
3d直选三注
|
3d试机号码开机号
|
成功路上3d双胆独胆
|
3d牛彩网字谜图谜汇总九
|
3d直选一注必中
|
3d双胆独胆非常非常稳定
|
千禧3d开机号试机号金码
|
3d今天绕胆图彩之网
|
今日3d蓝仙子一句定三码字谜
|
今于海滨3d预测今天单线联系
|
詹天佑3d最新消息今天
|
3d预测最准最新准专家预测号码
|
中国福彩3D独胆今晚分析
|
3d毒毒毒胆胆胆中中中
|
于海滨3d预测号
|
今天p3藏机图正版藏机图
|
太湖谜3d太湖钓叟字谜
|
于海滨杀码图
|
3d今晚最准最新专家推荐号
|
3d谜语字谜太湖天齐网
|
3d预测最准确专家
|
3d今晚推荐号码最新
|
于海滨3d预测
|
2014年359期3d焰舞字谜
|
给一注今晚3d
|
3d开奖号今晚晚上
|
3d今天预测最准确专家
|
3d开奖结果今晚号码
|
今于海滨3d预测彩吧图
|
3d预测最准专家预测牛彩网
|
3d单选一注能中多少钱
|
3d预测最准最新准专家预测号码
|
卫星电话最建议买的三个型号
|
3d开机号和试机号码牛彩网
|
今天3d试机号开机号牛彩网
|
神龙毒胆王今晚给胆
|
3d最准预测专家预测大
|
3d今日开机号和试机号及关注码
|
3d预测最准确专家预测
|
排三十拿九稳今天预测
|
3d牛彩网专家预测
|
三d字谜图谜总汇牛彩网
|
李明启3d最新预测今天
|
3d千禧试机号金码关注码
|
千禧3d试机号金码关注码杀码今天3d
|
今日3d预测
|
3d预测杀码
|
3d陈华今晚独胆推荐
|
3d预测今天最准预测号
|
3d千禧开机号试机号关注金码对应码
|
3d最准确的专家预测
|
3d试机号近30期牛彩网
|
3d今天专家预测推荐号码
|
3d今晚专家看独胆
|
3d今天开机号试机号100期
|
3d同期历史对比
|
3d预测最准确的专家
|
3d今天最新最准专家预测最
|
今于海滨3d杀码图
|
3d下期预测最精准的一注号码
|
排三太湖钓叟字谜三字诀
|
3d跨走势图带连线走势图
|
牛彩网杀码图汇总
|
3d千禧试机号金码关注码对应码
|
3d千禧今晚试机号码
|
3d预测号最新最准牛彩网
|
中国福彩3D独胆本期命中率
|
3d今天中了多少注直选
|
3d独胆王定位独胆定位
|
3d最新最准专家预预测
|
孟老师专家预测3d
|
3d今天专家推荐号码推荐
|
于海滨3d预测牛彩网
|
3d预测詹天佑最新
|
3d断组今晚全部
|
福彩3D独胆下期杀号最新
|
3d近30期开奖结果
|
3d今晚必中三个号码预测
|
3d陈华今晚独胆预测
|
3d专家解今日太湖字谜汇总
|
3d专家最新最准专家预测
|
3d三胆预测
|
3d最新专家预测汇总大全
|
千禧3d试机号金码关注码杀码今天3d
|
3d今天晚上预测最准专家
|
3d预测最准最新准专家预测号码
|
3d今日正版藏机图最新更新内容
|
3d上下五千年专家预测
|
3d预测专家推荐最新
|
3d推荐专家汇总
|
3d最准的预测专家
|
陈华今晚就赌一个胆今天最新更新内容
|
3d带线走势图连线走势图
|
3d真实的谎言字谜总汇正版
|
排三杀码专家定位杀码天齐网
|
3d百位遗漏振幅走势图南方双彩网
|
3d今晚开奖结果号码是
|
3d农村小伙子最新预测
|
3d带连线专业版走势图表
|
3d双胆,独胆非常非常稳定
|
3d独胆双胆独胆3d之村
|
千禧3d试机号金码关注码对应码
|
三d胆
|
3d研究生双胆王
|
北斗3d今日专家预测推荐
|
3d中奖多少钱一注
|
3d八哥图库总汇d字谜图谜总汇大全
|
于海滨3d彩吧图库
|
福彩3D独胆最新必中
|
3d预测最准的专家预测
|
3d徐文轩今晚推荐号码
|
北斗3d今日专家预测推荐
|
3d打一个独胆中了多少钱
|
3d今晚必出的一注
|
神仙姐姐今天最新杀码
|
3d今晚预测
|
三七进二得三码猜一生肖
|
3d今天开机号试机号牛彩网
|
牛人独胆二天计划
|
今日3d专家预测号最准确
|
排三杀码专家天齐网
|
北斗3d今日专家预测推荐
|
最新3d预测专家预测
|
3d专家预测最准今天
|
福彩3D独胆今晚必中最新
|
3d专家詹詹天佑最新推荐
|
今日3d蓝仙子一句定三码字谜
|
今日3d最准开机号
|
福彩3D独胆下期分析
|
3d十大专家杀跨度汇总
|
今天3d开机号和试机号牛彩网
|
3d今天专家预测最新最准
|
三七进二得三码猜一生肖
|
陈华3d今晚就赌一个胆天齐网
|
福彩3D独胆老师必中
|
西施姐姐就赌一个独胆
|
福彩3D独胆下期推荐精准预测
|
今日3d字谜一句定三码和值谜定1
|
3d和值振幅走势图彩宝贝
|
于海滨点评专家一语定胆保真版
|
3d开机号今天试机号查询
|
3d专家预测汇总
|
3d谜语今天字谜今天的3d字谜是什么?
|
3d邻孤传走势图乐彩
|
3d今天专家预测号码
|
3d开机试机号金码号关注号
|
3d专家预测最准确最新新闻
|
詹天佑3d今天最新预测
|
3d今晚最准专家预测号码145
|
3d今天开机号和试机号码200
|
今晚3d开奖号走势图
|
3d独胆一个
|
3d今天专家推荐号码是多少
|
神仙姐姐杀码今天的
|
3d今晚专家预测
|
今晚3d专家预测汇总
|
3d今晚预测准确的专家预测
|
3d最新专家预测汇总牛部长预测
|
3d预测专家最准确今天
|
孟庆会老师3d预测今天
|
3d今晚最准专家预测号码145
|
3d海滨点评一语定胆今天最新推荐
|
3D独胆下期推荐预测最新
|
3d开奖号走势图表
|
3d开机号,试机号,金码号,对应码100
|
福彩3D独胆专家杀号
|
3d预测专家汇总预测
|
今天3d开机号和试机号全部
|
3d谜语太湖钓叟3d谜语今天
|
3d预测一注号推荐一3d预测一注今天
|
千禧3d试机号金码关注码牛彩网
|
今日3d开机号和试机号关注码千禧
|
今于海滨3d预测今天单线联系
|
3d十大专家精准预测汇总
|
3d千禧开机号试机号关注金码
|
3d独胆双胆独胆3d之村
|
3d直选走势图(专业版)
|
于海滨预测3d
|
3d今晚必中一注一
|
千禧开机号和试机号对应金码
|
3d今晚专家推荐号
|
今晚3d专家最精准的预测
|
3d今于海滨杀码图
|
3d双胆预测3d双胆下3d 双胆推荐
|
3d今晚上推荐号码
|
牛彩网3d预测汇总大全
|
陈华3d今晚赌独一胆天齐网
|
3d邻孤传复隔中走势图
|
今晚最全3d晚间字谜汇总192期
|
3d今晚专家推荐预测重点号码
|
3d杀码条件今天最准
|
3d绝杀三码今天
|
3d专家预测推荐号码
|
3d基本走势图.
|
今日3d太湖字谜三字诀洞庭游侠
|
3d开机号试机号近100期开奖号码
|
3d直选综合走势图表图
|
今日3d专家预测号码推荐
|
3d今晚预测最新最准确号码牛彩网
|
3d近100期的开奖号码和试机号
|
今日3d直选一注
|
祖师爷独胆三天计划
|
3d今天中了多少注直选
|
今日詹天佑3d预测
|
3d预测最准的专家预测
|
福彩3D独胆下期走势最新
|
3d最近基本走势图
|
3d百个位差值振幅走势图100期
|
3d今天开机号和试机号开奖结果
|
3d最新最准专家预测号码
|
3d今晚专家预测
|
3d免费专家预测推荐今天最新
|
3d预测最准确的专家
|
3d预测一注推荐
|
3d专家预测最准最新今天
|
3d詹天佑3d预测
|
陈华3d今晚就赌一个胆
|
3d太湖字谜字谜汇总
|
3d最准确预测专家
|
福彩3D独胆独家预测最新
|
3d今晚开奖结果号码是
|
今天3d专家预测号码 推荐
|
3d千禧试机号关注号金码号开机号
|
今天3d马后炮解太湖字谜汇总
|
中国福彩3D独胆今日走势最新
|
3d专家推荐号码
|
3d推荐号今晚专家预测最准确
|
3d两天独胆王
|
三d今日预测
|
3d专家预测推荐汇总
|
六鬼神算图3d谜图
|
3d今天专家推荐号码
|
3d专家预测最准确今天上一期
|
3d预测最准最新准专家预测号码
|
3d独胆双胆专家预测网
|
3d天宇和值谜字谜一句定三码
|
排三今晚推荐号
|
于海滨3d杀码图
|
3d预测天齐网
|
给一注今晚3d
|
太湖字谜太湖钓叟三字诀
|
毒胆牛人三天计划必出
|
3d最准一个独胆方法
|
于海滨3d最新预测
|
十拿九稳的最新预测
|
3d和值10有哪些号码
|
今天3d牛彩网专家预测
|
3d预测今日最新推荐
|
3d字谜今天太湖字谜
|
3d 今天 试机号开机号3
|
3d顶级胆神双胆
|
3d今晚专家推荐预测重点号码
|
3d北斗专家北斗预测今天079期3d
|
今天3d专家预测号码 推荐
|
3d今晚上预测号码
|
3d独胆王定位独胆定位
|
今天3d推荐号码今晚预测
|
3d推荐号3d推荐号码
|
3d和值宫数线走势图
|
今晚3d一注直选
|
今晚3d开奖直选结果
|
于海滨3d预测专家今天
|
3d最准预测专家推荐
|
3D独胆实时分析
|
3d最准确预测100%一注
|
詹天佑3d最新预测今天
|
今日精准预测推荐3d号码
|
3d计算机开机号夏天推荐
|
今晚3d预测专家预测号
|
3d推荐号今晚专家预测
|
3d就打一个胆中了多少钱
|
天才计划三天计划独胆
|
三d开机号和试机号今天牛彩网彩
|
3d詹天佑最新预测
|
3d独胆双胆预测
|
福彩3D独胆实时走势
|
北斗3d今日专家预测推荐
|
3d推荐最新最准专家预测
|
3d百位单选振幅走势图
|
3d今晚最准专家预测号码
|
3d十大专家精准预测汇总
|
3d带连线专业版走势图表
|
今天3d开机号和试机号全部
|
3d直选一注今天
|
今日3d字谜太湖钓叟字谜正版
|
今晚3d推荐号码是多少
|
3d今天的推荐号
|
3d玩彩老头预测今天号码
|
钱王点评
|
牛彩网杀码大全
|
3d布衣独胆双胆必下一
|
3d直选一注预测
|
3d推荐最新最准专家预测
|
3d北斗专家北斗预测今天079期3d
|
3d专家预测推荐
|
3d免费专家预测推荐今天最新
|
3d今晚最准专家预测号码145
|
今天3d开机号和试机号多少?
|
3d走势图专家推荐号码
|
3d专家预测最准确今天上一期
|
今天3d专家推荐重点号
|
于海滨海3d预测保真
|
小红人的三天计划最新版
|
3d试机号关注号金码对应码开机号
|
3d专家预测独胆最准确
|
中国福利3d今天模拟试机号
|
牛人独胆二天计划
|
3d开机号和试机号金码关注对应号
|
陈华今晚就赌一个胆预测
|
3d免费专家预测推荐今天最新
|
今晚3d开机号试机号金码关注码
|
于海滨3d彩吧图库
|
3d最准专家预测方法
|
3d今天专家推荐号码推荐
|
3d今日开机号和试机号及关注码
|
3d真实的谎言字谜总汇正版
|
3d百十和值尾振幅走势图
|
3d预测号码最准最新准专家预测号家彩网
|
陈华今晚就赌一胆今天最新
|
3d藏机图正版藏机图诗汇总
|
今天3d太湖钓叟三字谜
|
小龙一语定三胆3d今日字谜
|
3D独胆团队走势
|
最准的3d专家预测
|
3d今天开机号和试机号是多少
|
3d字太湖叟字谜
|
3d今晚试机号是多少查询
|
3d今晚最准专家预测号码145
|
3d最新专家预测精选一注
|
3d今天专家预测最新最准
|
3d绝杀三码今天
|
3d专家预测最准确今天上一期
|
3d长中剑客预测今天
|
3d解太湖字谜汇总
|
于海滨3d预测专家今天
|
真实的谎言3d字谜追加和值谜
|
今晚3d专家最精准的预测
|
3d专家预测今天最新准确号
|
3d预测专家最准确的专家预测今晚
|
3d牛彩网专家预测
|
孟庆会老师3d预测今天
|
3d今天专家预测号码
|
今天3d专家推荐号
|
今晚3d试机号开机号
|
3d专家预测最准确今天
|
于海滨今日3d预测
|
今日3d专家推荐号码
|
今于海滨3d预测今天单线联系
|
3d十大专家汇总精选一注
|
3d万能三码共有几注
|
3d往年历史今天开奖结果
|
3d专家预测推荐汇总
|
3d专家预测最准最新今天
|
3d独胆双胆专家预测网
|
3d今晚专家预测推荐号
|
牛彩网3d走势图表
|
今天3d专家推荐号
|
3d预测专家推荐
|
3d今晚必出的一注
|
3d专家解今日太湖字谜汇总
|
于海滨点评专家一注定胆保真版
|
3d牛彩网专家预测
|
3d最准专家预测号今晚3d试机号
|
3d独胆双胆
|
今日精准预测推荐3d号码
|
3d廊坊鸿运精选号码推荐
|
3d太湖钓叟字谜三字诀乐彩论坛
|
3d开机号今天试机号查询
|
太湖3d字谜三字诀
|
牛彩网3d专家预测
|
3d专家预测最准确最新推荐号码
|
3d今天专家预测最准
|
真实的谎言3d字谜追加和值谜
|
3d今晚最准专家推荐号
|
3d十大专家推荐号码汇总
|
3d于海滨一语定胆今天
|
3d十大专家汇总精选一注
|
于海滨海独胆预测
|
3d最精准专家预测汇总今天
|
今晚3d试机号码和开机号
|
3d专家杀码
|
今晚3d最准专家预测号
|
97654天中图库,今天晚3d试机号
|
3d牛彩网和值走势图
|
3d最新专家预测汇总大全
|
3d最新最准专家预预测
|
于海滨3d今晚预测
|
千禧3d试机号金码关注码牛彩网
|
3d十大专家杀跨度汇总
|
三d预测牛彩网汇总
|
今晚三d推荐什么号码
|
3d走势图专家推荐号码
|
龙头凤尾最准确预测
|
3d推荐最新最准专家预测
|
3d今晚和值推荐
|
排五开奖最新结果排5
|
十拿九稳十大专家预测汇总最新一期
|
3d今日开机号和试机号及关注码
|
3d今晚必下一个胆
|
3d直选一注50倍单挑
|
3d和值尾振幅走势图近100期
|
3d杀码十大专家天齐网
|
玩彩独胆王三天计划
|
3d推荐号今日预测
|
3d最新准专家预测
|
千禧开机号试机号关注号金码杀码
|
今晚3d开奖号试机号
|
3d太湖钓叟字谜汇总正版藏机图
|
十拿九稳预测专家分析
|
3d预测最准最新准专家预测号码
|
最新3d预测专家预测
|
李明启3d预测最新号码
|
浙江风采3d走势图表
|
3d试机号后专家预测推荐汇总
|
3d带连线走势图(专业版)
|
詹天佑3d今日推荐
|
今天3d试机号和开机号
|
3d专家预测最准确今天
|
3d独胆双胆专家预测网
|
3d今天开机号,试机号
|
3d今晚预测准确的专家预测
|
中国福彩3D独胆独家杀号
|
3d徐文轩今晚推荐号码
|
3d恋预测今晚预测是哪里出的
|
3d十大专家双胆预测汇总
|
3d今晚试机号是多少查询
|
今天3d开机号和试机号码结果查询
|
3d太湖17500字谜
|
今天3d开机号和试机号对应金码
|
3d今晚的开奖号码
|
3d今晚十大专家预测汇总
|
3d彩报图今天图库彩吧
|
独胆双胆3d之家
|
专家预测3d号码准确
|
今天买哪三个号码好
|
今日排五专家推荐与预测
|
千禧3d开机号试机号金码
|
于海滨海3d专家预测今天
|
3d之家双胆独胆预测
|
今天3d专家推荐重点号码
|
三d预测专家预测
|
3d精准预测最准的专家
|
于海滨专家预测3d
|
张克永3d预测今天
|
3d两胆精准预测
|
3d恋预测今晚预测是哪里出的
|
今天3d太湖钓叟三字谜
|
唐龙3d预测今日出号点评
|
小薇3d预测今天推荐
|
今晚3d必出号
|
排三专家推荐与预测今天
|
神仙姐姐独胆一个
|
近100期3d开机号和试机号
|
3d最新最准预测号码今天
|
3d牛彩网断组预测
|
于海滨海3d专家预测
|
今晚3d开奖号试机号
|
于海滨3d预测免费每日精选
|
3d杀码专家杀码天齐网
|
3d十大专家汇总精选一注
|
3d最新专家预测推荐
|
3d今晚专家推荐号
|
3d于海滨预测
|
一定牛3d杀码
|
今晚3d预测推荐一注
|
于海滨海3d预测免费每日精选3d开奖号
|
天齐网3d首页保真版3d预测
|
3d太湖钓叟字谜三字诀论坛
|
3d开机号今天近100期南方查询
|
3d和走势图 和值尾连线
|
3d预测今晚最准专家预测号码
|
3d今晚中奖号157
|
3d今天预测汇总
|
3d预测牛彩网预测汇总
|
彩宝3d专业走势图
|
3d两胆王
|
3d预测一注推荐
|
3d字谜今日字谜总汇
|
今天3d试机号和开机号
|
3d试机号开机号今天晚上金码号
|
3d的预测号是多少
|
3d今晚专家推荐
|
3d太湖17500字谜
|
3D独胆下期推荐分析最新
|
3d字谜图谜总汇全图汇总
|
3d走势图带连线图表
|
中国福彩3D独胆团队命中率最新
|
3d走势图(专业连线版)
|
3d小龙一句定三码今日字谜天中图
|
今天晚上的3d开奖结果
|
3d最精准专家预测汇总今天
|
3d预测今天最准预测号
|
3d最准确的预测方法
|
3d今晚上专家推荐号
|
唐龙一胆今天最新
|
千禧3d试机号关注号
|
3d彩吧图库手机牛彩网
|
神仙姐姐杀尾
|
太湖字谜马后炮3d总汇
|
3d开心毒胆独胆王
|
3d开机号和试机号今天 今晚
|
今天3d试机号和开机号
|
3d精选号码推荐今天最新
|
3d试机号开机号今天查询排五
|
3d预测专家汇总预测
|
小财神三天计划独胆
|
今天3d开机号关注号试机号金码
|
独胆双胆3d之家
|
3d预测最准专家预测号
|
今天3d千禧试机号关注号金码号
|
三d预测专家最新推荐
|
我是毒胆王,今晚独胆
|
今晚3d试机号码和开机号
|
3d专家詹詹天佑最新推荐
|
3d和值尾振幅近100期走势图
|
3d预测最准最新牛彩网
|
3d今天预测最准确专家
|
3d今日正版藏机图最新更新内容
|
3d开机号和试机号今天金码关注号
|
于海滨海3d专家杀码
|
3d近100期开奖结果全部
|
3d小胆神独胆今天
|
3d预测最准最新准专家预测号码
|
今天3d定位字谜二
|
今晚3d专家预测最准确
|
今日正版3d藏机图全部汇总
|
3d独胆必下一独胆
|
天天彩于海滨海3d最新预测
|
今天3d开机号和试机号码结果查询
|
千禧3d试机号金码关注码杀码今天3d
|
投资独胆三天计划论坛
|
3d独胆必下一独胆
|
3d推荐号今晚专家预测最准确
|
牛人高手【3d精选】
|
排三十拿九稳今天预测
|
3d精准预测专家预测
|
3d藏机图正版藏机图打印版
|
3d百位遗漏振幅走势图南方双彩网
|
千禧试机号金码关注号对应码杀码
|
3d今天千禧试机号关注号金码
|
福彩3D独胆下一期推荐最新
|
今日3d正版藏机图,藏机图汇总,天中网
|
布衣杀码图3d杀码
|
今晚3d预测推荐一注
|
3d开机号和试机号200期列表
|
3d今天开机号 试机号查询
|
3d四码直选多少钱一注
|
最准的3d专家预测
|
唐龙一胆
|
3d预测牛彩网预测汇总
|
排三王牌小哥独胆
|
3d单双走势图表(专业版)
|
三地杀码高手
|
今晚3d专家预测汇总
|
今天的3d太湖字谜今天晚上
|
福家老三3d推荐号
|
3d最佳一注号码
|
3d百位四胆
|
3d今晚预测直选一注
|
3d和值基本走势图表
|
今日3d钱王点评
|
3d彩界元宝就看一个独胆
|
3d藏机图正版藏机图
|
今天3d专家预测汇总
|
3d千禧试机号金码关注码
|
3d的最新走势图表
|
浙江风采3d走势图表
|
3d专家预测最准确最新今晚预测号
|
3d百位四胆
|
3d预测牛彩网预测汇总
|
陈华今晚就赌一个胆预测
|
最准3d专家预测推荐
|
3d预测专家准确推荐
|
3d专家最新最准今天预测
|
三d十拿九稳预测号码
|
今晚3d专家推荐重点号码
|
3d推荐最新最准专家预测
|
今天专家推荐号码3d
|
3d百个位和值尾走势图
|
今晚3d推荐号
|
3d专家詹詹天佑最新推荐
|
三d预测专家预测
|
杀码王杀码
|
3d基本走势图表
|
3d预测专家准确推荐
|
唐龙点评每日一胆龙
|
3d今晚预测直选四注
|
《天才计划》三天计划独胆3d
|
3d最新准专家预测
|
今天3d牛彩网专家预测
|
3d最新最准预测号码
|
今天3d出的什么号
|
中国福彩3D独胆专家精准预测最新
|
今天3d专家解太湖字谜汇总
|
3d预测牛彩网预测汇总
|
3d老炮子直选三注
|
3d预测专家推荐最准确
|
唐龙点评3d预测
|
3d专家预测推荐号码
|
孟庆会老师3d分析预测
|
3d走势图全图表
|
真实的谎言3d字谜追加和值谜
|
3d开机号试机号30期列表彩宝网
|
3b千喜今天试机号关注金码
|
于海滨海3d预测免费每日精选3d开奖号
|
3d谜语今天字谜今天的3d字谜是什么?
|
3d今于海滨杀码图
|
无敌胆王独胆双胆
|
小胆神玩毒胆我3d
|
3d专家推荐最精准的号码
|
3d双胆预测3d双胆下3d 双胆推荐
|
3d十大专家推荐号码汇总
|
3d最准专家预测号
|
三d预测专家最新推荐
|
3d开机试机号金码号关注号
|
马后炮解3d太湖字谜总汇大全
|
今日3d推荐号码号
|
三d十拿九稳预测号码
|
3d预测最准确的专家
|
福彩3D独胆大神精准预测最新
|
3d开机号试机号今天开奖号
|
3d今天走势图表
|
3d跨度分位走势图图感觉
|
今天3d开机号和试机号全部
|
3d今晚专家预测推荐号
|
中国福彩3D独胆最新必中
|
3d推荐最新最准专家预测
|
今晚3d专家最精准的预测
|
3d今晚最新预测
|
3d开奖号走势图表
|
3d专家预测最准确今天南方双彩网
|
3d开机号今天试机号查询
|
3d跨走势图带连线走势图
|
3d于海滨上的今天预测
|
杀码3d杀码图
|
于海滨3d杀码
|
3d今晚必中三个号码预测
|
今天3d专家预测号码 推荐
|
3d预测专家推荐最准确
|
神仙姐姐三胆
|
3d今日开机号和试机号及关注码
|
3d和值尾振幅走势图近100期
|
3d太湖专家预测今晚
|
3d今晚最准专家预测号码
|
陈华3d今晚就赌一个胆
|
3d专家预测推荐号码最准最新
|
3d千禧试机号和金码关注
|
于海滨精准杀码图
|
3d十大专家推荐号码汇总
|
3d今天开机号和试机号码200
|
3d小差振幅走势图表图
|
李明启3d预测最新号码
|
3d今天专家预测号码
|
3d十大专家杀跨度汇总
|
3d牛彩网专家预测
|
于海滨今日杀码图最新
|
宇海滨预测3d
|
今日3d预测专家推荐
|
3d彩宝网开机号和试机号
|
于海滨杀码今天最新版
|
3d预测专家最准确的专家预测今晚
|
3d今日开机号和试机号及关注码
|
今日3d预测号码推荐
|
3d真实的谎言正版和值字谜
|
詹天佑最新预测3d
|
3b千喜今天试机号关注金码
|
天府袍哥3d预测
|
太湖钓叟3d字谜太湖字
|
于海滨海3d预测牛彩网
|
3d陈华今晚就赌一胆天齐网
|
3d振幅和值尾走势图
|
廊坊鸿运3d预测今天
|
3d跨度走势图图表
|
3d独胆王独胆预测
|
3d詹天佑预测分析牛彩网
|
3d之家双胆独胆预测
|
千禧p3试机号关注号金胆对应号
|
毒胆牛人三天计划必出
|
铁人铁胆3d包星定位最新今天
|
詹天佑3d预测今天推荐号码
|
3d最新预测专家推荐
|
钱王点评十钱王给胆下一期预测
|
3d最精准专家预测汇总今天
|
3d预测专家推荐号码
|
3d走势图的基本走势图
|
于海滨今天杀码
|
3d圣手字谜图谜
|
3d预测最准专家预测
|
3d今晚开机号试机号金码关注码今天
|
詹天佑3d推荐
|
今天晚上3d开奖结果
|
3d预测一注号推荐一3d预测一注今天
|
3d预测最准专家预测号
|
排五预测最准专家
|
3d一语定胆字谜今天
|
3d走势图带试机号彩宝网
|
3d今晚专家预测最准确一注
|
今天晚上的3d开奖结果
|
财神一注3d
|
2025长期守号最佳5注推荐
|
一代女王p3杀两胆独胆
|
今晚3d的试机号是
|
排五预测最准专家
|
今日3d最准开机号
|
3d和值10有哪些号码
|
今晚3d试机号开机号
|
3d预测专家最准确
|
3d必中永久直选500注大底
|
3d专家预测更准确今天
|
今日3d开机号和试机号列表三十期
|
3d独胆双胆
|
十拿九稳专家最新预测
|
于海滨3d预测免费
|
3d今晚专家预测最准确一注
|
今天3d詹天佑预测分析
|
3d推荐号3d推荐号码
|
马后炮解3d太湖钓叟字谜总汇大全
|
3d太湖钓叟字谜三字诀
|
3d万能三码中奖秘诀
|
今晚3d专家推荐号码是多少
|
3d和值尾振幅走势图近100期
|
今天3d开机号和试机号码是多少
|
3d预测一注推荐
|
3d预测专家推荐最新
|
3d今天专家推荐号码是多少
|
三d三胆
|
3d今晚专家推荐预测重点号码
|
3d试后太湖一语定胆字谜
|
3d今晚开奖号码结果是多少
|
今晚最全3d晚间字谜汇总192期
|
专家3d专家推荐
|
钱王杀码图码
|
3d经典小胆王
|
3d开机号和试机号9.30分
|
3d今天专家预测推荐号码
|
福彩3D独胆高手杀号最新
|
今天的3d太湖字谜图
|
3d十大专家推荐号码汇总
|
3d牛哄哄解太湖字谜今天
|
3d今晚专家预测最准确一注
|
3d专家预测最准最新今天
|
7号电池最建议买的三个型号
|
3d免费专家预测推荐今天最新
|
3d牛彩网专家预测
|
3d预测专家推荐最新
|
今晚3d专家推荐重点号码
|
3d今天开机号和试机号多少
|
3d八哥图库总汇d字谜图谜总汇大全
|
今天3d开机号试机号对应码列表
|
3d牛彩网专家预测汇总
|
3d试机号后专家预测汇总
|
3d专家今天预测一注
|
3d千禧试机号关注码金码是什么
|
3d上下五千年专家预测
|
今天3d开机号和试机号码是多少
|
3d十大专家双胆预测汇总
|
詹天佑3d推荐
|
3d和值走势图彩宝网
|
看彩大亨看独胆双胆预测
|
今晚3d专家预测精选一注
|
3d彩皇网
|
3d牛彩图谜字谜总汇九
|
3d和值宫数线走势图
|
3d今晚最准专家推荐号
|
3d牛彩网采摘收集预测汇总
|
3d预测最准最新准专家预测号码
|
3d今晚预测直选一注3d一注预测
|
3d试机号今晚开机号
|
北斗3d今日专家预测推荐
|
今天3d双双独胆字谜
|
3d连线走势图表图
|
3d通杀一码准确率100%
|
至尊计划王三天计划独胆
|
3d今晚出的什么号
|
3d中间号走势图振幅走势图
|
3d单一跨度走势图表
|
3d十大专家精准预测汇总
|
3d预测詹天佑最新
|
今天3d千禧试机号关注号金码号
|
3d牛彩网100期开机号和试机号
|
3d太湖历史字谜
|
正版铁人铁胆3d
|
3D独胆内部精准预测
|
3d试后太湖一语定胆字谜
|
福彩3D独胆老师精准预测
|
3d开机号今天近10期
|
免费计划软件
|
3d晚间字谜汇总汇
|
3d今天专家推荐号码推荐
|
3d预测晚
|
3d恋预测今晚预测是哪里出的
|
3d今晚专家预测推荐
|
3d和值走势图(专业版)
|
《金银胆神》金胆银胆3d最新一期开奖
|
3d百十和值尾振幅走势图
|
3d独胆双胆专家预测网
|
3d预测最准的专家预测
|
3d詹天佑预测汇总
|
3d机选一注
|
3d专家预测最准确最新今天牛彩
|
最准一个毒胆
|
3d晶晶必下一独胆今天
|
(暴富密码)绝杀两码预测
|
3D独胆实时必中最新
|
詹天佑最新预测3d
|
3d预测推荐
|
3d陈华今晚就赌一个胆搜索一下
|
3d老炮子直选三注
|
3d中间值振幅走势图之家
|
3d今天开机号和试机号是多少
|
3d今晚预测最新最准确号码牛彩网
|
3d开奖号码结果 今晚
|
3d单双走势图表(专业版)
|
3d预测最准最新牛彩网
|
今天3d必出一注
|
3d开奖号码今晚走势图
|
3d北斗专家北斗预测今天079期3d
|
詹天佑预测3d
|
三d十拿九稳预测号码
|
3d今晚专家推荐号
|
3d谜语今天字谜今天的3d字谜是什么?
|
三d五码复式打一注多少钱啊
|
千禧试机号金码关注码的历史记录
|
3d最准一个独胆毒胆
|
布衣杀码图3d杀码
|
3d今晚最准专家推荐号
|
3d预测最准确的专家预测软件
|
3d预测推荐
|
3d彩宝网开机号和试机号
|
3d真实的谎言正版和值字谜
|
千禧3d试机号金码关注码杀码今天3d
|
3d杀码图
|
3d太湖专家预测今晚
|
3d今晚最准最新专家推荐号
|
今天三d专家推荐号码
|
福体杀码王最新版本更新内容
|
今日3d马后炮解太湖字谜
|
今日3d大老人预测号
|
今日詹天佑3d预测
|
今日3d开机号和试机号列表三十期
|
3d推荐号今晚专家预测
|
3d百位四胆
|
3d专家预测推荐号码
|
3D独胆独家推荐
|
最准杀码王p3
|
3d预测晚
|
今日精准预测推荐3d号码
|
3d研究生双胆王
|
3d开机号和试机号今天全部
|
千禧三地试机号对应码金码
|
3d太湖字谜字谜汇总
|
千禧试机号金码关注号对应码杀码
|
3d预测 下一期 3d预测专家 3d预测
|
3d和值和尾走势图带连线图表
|
今天3d推荐号码今晚预测
|
3d今晚中奖号是多少
|
3d今晚开机号试机号金码关注码今天
|
3d开机号和试机号金码关注
|
3d金码开机号和试机号
|
3d预测专家最准确的专家预测昨天
|
今晚3d开奖直选结果
|
今晚3d预测推荐一注
|
解太湖3d字谜太湖
|
钱王点评3d之家
|
3d走势图带试机号彩宝网
|
3d李明启预测号
|
3d专家杀码天中图库
|
家彩专门提供3d试机号开机号
|
3d最精准的专家预测精选
|
3d藏机图正版藏图汇总大全
|
3d今天专家推荐号码推荐
|
3d今晚预测直选四注
|
3d牛彩网专家汇总汇总大全
|
3d预测专家汇总预测
|
3d今晚专家免费预测
|
3d预测今晚推荐号
|
3d字谜汇总大全总汇大全
|
独胆三天计划
|
3d最准一注号码
|
中国福彩3D独胆下一期预测最新
|
3d最准确的预测方法
|
3d今晚专家推荐号
|
3d单选一注能中多少钱
|
3d组选中一注多少钱
|
唐龙一胆
|
徐文轩3d预测推荐
|
3d今天专家预测推荐号码
|
于海滨3d预测今天
|
3d牛彩网100期开机号和试机号
|
3d预测专家预测
|
3D独胆下期推荐走势最新
|
千禧3d试机号金码关注码牛彩网
|
3d试机号后专家预测推荐汇总
|
今天3d推荐号码今晚预测
|
3d,胆
|
3d推荐号今晚专家预测
|
3d十大专家杀一码汇总
|
于海滨海3d杀码图
|
3d千禧开机号和试机号码
|
中国杀码王绝对
|
3d预测专家最准确今天
|
3d预测专家最准确的专家预测今晚
|
3d独胆王独胆预测
|
3d今天专家推荐号码推荐
|
一代女王决杀两胆免费观看
|
牛彩预测汇总3d最新
|
3d玩胆先生双胆独胆
|
今日排五专家推荐与预测
|
3d图谜总汇字谜
|
3d计算机开机号夏天推荐
|
3d最新最准预测号码今天
|
3d太湖历史字谜
|
于海滨专家一语定胆十每日
|
3d六码复式多少钱一注
|
3d专家预测最准确今天南方双彩网
|
稳准狠三天计划
|
3d双胆独胆非常非常稳定
|
家彩专门提供3d试机号开机号
|
2025315期3d开奖结果
|
千禧3d试机号关注码金码列表
|
3d近200期试机号和开奖号码
|
马后炮解3d字谜
|
3d最新准专家预测
|
3d基本走势图综合
|
今晚3d开机号和试机号是多少
|
十拿九稳预测专家分析
|
3d独胆是什么意思
|
3d独胆专家预测
|
徐文轩3d预测推荐
|
3d太湖专家预测今晚
|
助赢计划软件免费版下载安装
|
3d怎么守号不亏
|
于海滨3d彩吧图库
|
3d今晚最准专家推荐号
|
于海滨专家一语定胆十好心人
|
今天3d开机号 和试机号 查询结果
|
彩坛老顽童3d独胆
|
3d陈华今晚就赌一胆天齐网
|
太湖马后炮3d钓叟字谜
|
排三十拿九稳今天预测
|
牛彩网3d预测汇总大全
|
三d三胆
|
3地独胆,毒胆双胆家彩网
|
张克永专家3d预测
|
3d今晚预测准确的专家预测
|
铁人铁胆3d定位包星
|
3d最准确专家预测
|
3d专家预测推荐号码最准最新
|
快8今晚最毒胆推荐
|
钱王点评十钱王给胆下一期预测
|
顶级胆神双胆下一
|
3d中间号走势图振幅走势图
|
3d北斗专家北斗预测今天079期3d
|
3d最大值振幅走势图3之家
|
3d今天最新最准专家预测最
|
3d专家推荐号
|
千禧3d试机号关注号
|
3d预测詹天佑最新
|
3d推荐专家汇总
|
3d牛彩网今天开机号试机号
|
3d马前屁解太湖字谜
|
3d专家预测最准确今天
|
今日3d开奖号今晚
|
3d专家詹詹天佑最新推荐
|
3d开机号码试机号牛彩网
|
今天3d金码试机号对应码开机号
|
3d预测最新最准专家推荐号码
|
3d单双走势图表(专业版)
|
3d千禧金码试机号关注码开奖号
|
詹天佑3d今日推荐
|
3d直选历史遗漏查询
|
3d专家预测最准确最新今天
|
今天3d开机号试机号牛彩列表
|
牛人独胆三天计划
|
p3千禧试机号关注金码
|
今日3d太湖字谜三字诀试机号
|
3d北斗专家北斗预测今天079期3d
|
中国福彩3D独胆下期最新必中最新
|
今晚3d专家预测精选一注
|
3d今天预测最准确专家
|
今天3d开机号和试机号对应码查询
|
3d精准一注
|
3d千禧开机号和试机号码
|
于海滨专家一语定胆十每日
|
北斗3d今日专家预测推荐
|
福彩3D独胆当天分析最新
|
昨天3d开奖号是多少
|
3d十大专家独胆
|
天府袍哥3d预测
|
福彩3D独胆老师必中
|
试机号开机号金码关注号对应码3d
|
3d今晚开机号试机号是多少
|
千禧3d试机号金码关注码对应码
|
3d和尾振幅走势图3d专家
|
千禧开机号和试机号对应金码
|
中国福彩3D独胆独家必中最新
|
3d今天专家预测推荐号码
|
3D独胆下一期精准预测
|
3d今天最准专家预测
|
3d钱王老头给胆点评
|
今天3d推荐号码今晚预测
|
3d试机号牛彩网近三十期
|
3d一语定胆太湖字谜
|
真实的谎言3d字谜追加和值谜
|
福彩3D独胆实时走势
|
3d预测专家最准确的专家预测今晚
|
今天专家推荐号码3d
|
一代女王p3杀两胆独胆
|
下一期专家推荐号码
|
今天3d开机号 试机号是多少
|
于海滨点评专家一语定胆保真版
|
3d预测号专家预测
|
3d今天专家推荐号码推荐
|
3d下期预测最精准的一注号码
|
3d试机号今天开机号查询
|
3d预测专家准确推荐
|
3d定胆
|
今晚3d一注50倍
|
牛彩网3d预则
|
3d双胆独胆非常稳
|
排三杀码专家天齐网
|
3d今晚最准专家推荐号
|
3d选胆图近100期
|
3d十大专家推荐号码汇总
|
3d今晚最准专家预测号码145
|
3d直选至今未出号
|
福彩3D独胆本期命中率
|
北斗3d今日预测
|
3d今晚最准专家预测号码
|
3d历史今天开奖结果
|
3d平均值走势图振幅3d之家
|
3d开奖号码今晚走势图
|
3d预测专家精准推荐
|
3d今天开机号试机号对应码关注码
|
3d詹天佑最新预测今天
|
3d今晚和值字谜
|
3d胆王帅哥独胆双胆
|
3d精准预测推荐
|
3d杀码图
|
3d北斗专家北斗预测今天079期3d
|
3d三胆预测
|
3d铁人包星定胆天齐网
|
钱王点评+钱王老头预测
|
一定牛3d杀码
|
3d推荐最新最准专家预测
|
3d最准确预测专家
|
3d,胆
|
今晚3d试机号码和开机号
|
3d今日预测最准专家预测
|
3d和值012走势图带连线图
|
三d独胆
|
3d今晚精选预测一注
|
今晚3d专家预测精选一注
|
3d预测专家汇总预测
|
于海滨3d杀码
|
今天3d牛彩网专家预测
|
3d独胆陈华今晚就赌一个胆
|
3d基本走势图表完整版
|
最准的3d专家预测
|
今日3d藏机图正版藏机图310
|
3d天宇和值谜字谜
|
3d近30期开机号试机号开奖号查询
|
3d专家预测最准最新今天
|
太湖钓叟三字诀字谜解释总汇
|
昨天3d开奖号是多少
|
3d今晚专家推荐预测重点号码
|
3d今天专家预测最准
|
千禧试机号关注号金码是什么
|
3d今晚专家预测最准确一注
|
今日3d开机号和试机号关注码千禧
|
三d走势图基本走势图彩宝网
|
今晚3d推荐号码
|
牛彩网3d专家预测汇总
|
3d今天的开机号和试机号查询
|
今天3d千禧试机号关注号金码号
|
3d预测专家最准确的专家预测昨天
|
3d试机号开机号今天查询排五
|
3d军长独胆定位
|
今天3d太湖钓叟三字诀字谜
|
3d太湖钓叟字谜三字诀
|
今日3d蓝仙子一句定三码字谜
|
3d预测专家最准确的专家预测今晚
|
3d千禧开机号和100期试机号
|
今天3d字谜3d一句定三码3d和值谜
|
3d字谜总汇今日3d字谜总汇牛彩网
|
3d开机号和试机号今天金码0
|
3d今晚惊天一注预测
|
3d今晚必下一个胆
|
3d今日太湖字谜
|
3d今晚100倍 万能三码的使用方法
|
3d预测专家推荐最准确
|
3d今天最新最准专家预测最
|
3d今晚上专家推荐号
|
唐龙点评3d预测
|
3d最准杀码
|
3d预测一注推荐
|
百位振幅走势图3d之家
|
3d今天精选五注
|
3d和值尾走势图(专业版)
|
三d独胆
|
3d独胆双胆专家预测网
|
【福星】3d单挑10注组
|
今于海滨杀一码
|
福家杀码王p3
|
三地百位振幅3d之家走势图
|
3d开机号试机号近100期开奖号码
|
詹天佑3d点评预测
|
3d今晚最准最新专家推荐号
|
3d六码复式多少钱一注
|
3d钱王老头给胆点评
|
最精准杀码王
|
3d字谜总汇今日3d字谜总汇牛彩网
|
3d独胆专家推荐独胆
|
千禧之年3d开机号试机号金码关注
|
3d牛彩网字谜图谜汇总九
|
十拿九稳预测分析
|
三七进二得三码猜一生肖
|
福体杀码王最新版本更新内容
|
于海滨3d彩吧图库
|
3d正版藏机图总汇全图
|
今日3d专家预测号码推荐
|
陈华今晚3d赌一胆天齐网
|
3d预测专家准确推荐
|
3d最新专家预测推荐
|
太湖字谜三字诀论坛
|
于海滨预测3d号
|
3D独胆下一期精准预测
|
3d最精准独胆王
|
福彩3D独胆高手分析
|
3d预测最新最准专家
|
3d今天开机号和试机号是多少
|
于海滨杀码图
|
今晚3d独胆王
|
龙头凤尾最准确预测
|
3d单双走势图表(专业版)
|
3d预测今晚推荐号
|
3d千禧试机号和金码关注
|
三d预测汇总
|
3d今晚预测最新最准确号码牛彩网
|
3d今天开机号和试机号牛彩网
|
福彩3D独胆最新命中率
|
天府袍哥3d预测
|
3d太湖一语定胆字谜
|
3d走势图带试机号彩宝网
|
今于海滨3d杀码图24210
|
3d今晚预测准确的专家预测
|
3d最新预测专家推荐
|
千禧试机号金码关注码的历史记录
|
3d紫云涧专家预测推荐
|
3d今晚最准最新专家推荐号
|
3d专家预测最准确最新今天牛彩
|
3D独胆高手走势最新
|
今晚3d专家推荐号码
|
今晚3d开机号和试机号是多少
|
3d近300期试机号和开奖号码
|
千禧关注码试机号金码
|
今晚3d专家预测精选一注
|
千禧试机号及金码
|
福彩3D独胆下一期推荐最新
|
3d最晚间字谜汇总大全
|
3d十大专家双胆预测汇总
|
今晚3d开奖号码多少
|
【开心毒胆】今天
|
(暴富密码)绝杀两码预测
|
于海滨三地杀码
|
专家预测3d号码准确
|
3d专家预测最准最新今天
|
解今日太湖3d字谜
|
3d开机号和试机号今天金码0
|
天才三天独胆计划
|
今晚3d开奖号是多少
|
3d专家预测最准确最新今天
|
3d今日预测最准专家预测
|
3d今天开机号试机号200期
|
今天晚上3d推荐号码
|
今天太湖钓叟3d字谜三字诀
|
于海滨一语定胆保真
|
独胆双胆3d之家
|
今天3d开机号和试机号对应金码
|
小红人的三天计划今天是什么
|
3d试机号今天晚上是多少
|
今于海滨3d预测彩吧图
|
3d今天开机号和试机号金码对应码
|
3d和值尾振幅走势图3d之家
|
3d走势图基本走势图
|
3d牛哄哄解太湖字谜今天
|
3d百位遗漏振幅走势图南方双彩网
|
3d推荐号今晚专家预测
|
3d和值尾遗漏走势图
|
3d专家预测号码手机牛彩网
|
3d今晚专家推荐预测重点号码
|
3d试机号后专家预测汇总
|
今晚3d专家推荐号码是多少
|
3d预测专家最准确的专家预测
|
3d百位单选振幅走势图
|
于海滨海3d专家预测今天
|
今晚3d开奖号是多少
|
3d最新专家预测推荐
|
3d今天预测最准确专家
|
3d上下五千年专家预测
|
3d最精准专家预测汇总今天
|
十大杀码专家3d
|
自创3d绝杀四码方法细节
|
千禧开机号试机号关注号金码杀码
|
3d近30期开奖号码
|
3d预测今晚推荐号
|
今天3d千禧试机号关注号金码号
|
3d预测牛彩网预测汇总
|
3d今晚必出的一注
|
3d专家预测最准今天
|
今于海滨3d预测今天单线联系
|
布衣杀码图3d杀码
|
3d今晚专家预测最准确一注
|
天齐网3d首页保真版3d预测
|
今天3d开机号和试机号对应金码
|
今晚3d号码开奖结果多少
|
3d今天专家预测最新最准
|
3d专家最准确预测
|
3d预测专家准确推荐
|
今晚3d预测最准一注
|
今于海滨3d预测今天牛彩网
|
3d推荐号今晚专家预测最准确
|
今天3d开奖号是多少
|
3d双胆独胆
|
3d开机号今天近10期
|
十拿九稳预测
|
今晚3d试机号码和开机号
|
3d专家最新最准预测
|
3d专家预测推荐号码最准最新
|
3d下期预测最精准的一注号码
|
3d今晚专家推荐号
|
3d最新最准专家预测号码
|
3d推荐号今晚专家预测
|
3d专家预测最准确最新今晚预测号
|
于海滨海3d专家预测今晚一注
|
3d最新基本走势图表
|
3d预测最准最新牛彩网
|
3d今日专家推荐号
|
3d专家预测今天最新准确号
|
3d北斗专家北斗预测今天079期3d
|
准香港3d漫画资料
|
3d开奖杀码定胆
|
3d今天最新最准专家预测最
|
3d开机号,试机号,金码号,对应码100
|
排三平均值振幅走势图3d之家
|
3d今天开机号和试机号是多少
|
今晚3d专家推荐
|
3d双胆独胆非常非常
|
3d陈华今晚就赌一胆今天最新消息
|
3d今天推荐号码是多少
|
3d三胆
|
3D独胆明日分析
|
3d今晚最准三注
|
3d和值遗漏值尾走势图
|
牛彩网3d专家预测
|
3d和值尾振幅走势图50期
|
今日3d专家预测总汇
|
3d专家预测号
|
开机号试机号3d今天
|
3d预测专家最准确的专家预测昨天
|
3d最新最准专家预测号码
|
3d开机号近30期列表彩宝网
|
詹天佑3d预测今天推荐号码
|
3d今晚预测精准
|
于海滨3d预测免费
|
3d号码预测和推荐号今天
|
十拿九稳预测分析
|
3d必出规律胆
|
今天3d开机号和试机号码是多少
|
3d字谜解太湖字谜
|
下期必出号码预测
|
3d专家预测最准
|
3d推荐号3d推荐号码
|
3d徐文轩今晚推荐号码
|
3d今天专家预测号码最准确
|
3d专家预测最准确最新今天牛彩
|
3d玩彩老头预测今天号码
|
3d预测专家推荐最新
|
今晚3d预测推荐一注
|
于海滨3d彩吧图库
|
3d预测最准确专家
|
3d字谜总汇今日3d字谜总汇牛彩网
|
孟庆会点评 专家一语定胆 稳准狠三天计划
|
3d今晚专家预测推荐号
|
3D独胆下期推荐分析最新
|
3d陈华今晚就赌一个胆搜索一下
|
3d今日号码推荐
|
3d开机号和试机号八仙选号
|
3d开机号试机号今天开奖号
|
试机号开机号金码关注号对应码3d
|
3d专家预测最准最新今天
|
今晚开奖号码3d开奖结果
|
福彩3D独胆团队必中最新
|
中国福彩3D独胆下期最新分析
|
3d最近1000期走势图表综合版图片
|
3d最准确的专家预测
|
3d今晚精彩预测
|
3d最准预测专家预测汇总
|
3d跨度遗漏值振幅走势图彩经网
|
3d试机号后专家预测推荐汇总
|
于海滨今日预测号
|
3d跨度振幅近100期走势
|
太湖试机号后一句定三码3d字谜
|
正版真精华布衣天下今天推荐号码
|
3d独胆预测必下一胆
|
马后炮解3d太湖字谜总汇大全
|
于海滨3d预测牛彩网
|
百位振幅走势图3d之家
|
3d今晚必出的一注
|
今日3d直选
|
今于海滨3d预测今天牛彩网
|
彩宝贝十大专家杀蓝号
|
千禧试机号关注金码是什么
|
今晚3d专家推荐号码是多少
|
于海滨杀码图今天最新
|
3d最准确最新专家预测
|
3d预测最准的专家预测
|
于海滨3d预测牛彩网
|
今晚3d专家推荐
|
张克永专家3d预测
|
3d精选号码推荐今天最新
|
福彩3D独胆老师必中
|
詹天佑今日3d预测
|
3d专家预测最准确今天3d
|
于海滨海3d预测牛彩网
|
3d预测今晚最准专家预测号码
|
3d今晚最准专家预测号码145
|
3d最准预测号
|
3d千禧试机号关注码金码是什么
|
3d今晚最准专家预测号码145
|
李明启3d今晚预测专栏
|
詹天佑3d预测号
|
于海滨的今日预测
|
3d专家预测最准今天
|
3d组三一注多少钱
|
中国福彩3D独胆团队命中率最新
|
3d开机号试机号30期列表走势图
|
3d今晚专家预测推荐号
|
3d独胆王今天
|
排五开机号试机号今天查询
|
3d专家预测最准确今天
|
老炮子3d直选三注
|
3d今晚精选预测一注
|
3d最准预测号
|
3d预测今日最新推荐
|
千禧3d试机号关注码金码试机号
|
3d最小值振幅走势图3d之家
|
福彩3D独胆本期预测
|
今晚3d专家推荐号码
|
千禧三地试机号对应码金码
|
3d今晚最准专家预测号码145
|
3d之家双胆独胆预测
|
3d湘西胆王今日字谜
|
3d陈华今晚就赌一胆o11预测
|
3d专家预测最准最新今天
|
3d于海滨上的今天预测保真
|
3d今天专家预测最准确
|
陈华今晚就赌一胆今天最新
|
今日排三太湖钓叟字谜三字诀
|
3d陈华今晚就赌一胆天齐网
|
千禧3d试机号关注号
|
三d预测牛彩网汇总
|
3d预测号码最准最新准专家预测号家彩网
|
3d牛彩网专家预测
|
今天太湖字谜3d字谜太湖钓叟
|
3d最精准一注一注
|
3d今天开机号试机号200期
|
3d今晚最准专家推荐号码
|
3d十位走势图带连线图表专业版
|
成功路上3d双胆独胆
|
3d 今天 试机号开机号
|
3d最准确最新专家预测
|
詹天佑3d最新消息今天
|
3d最新专家预测汇总
|
3d今晚预测准确的专家预测
|
3d专家预测最新最准推荐
|
三d预测专家最新推荐
|
p3故事小王双胆下一今天
|
太湖钓叟三字诀字谜解释总汇
|
3d双飞大师双胆组合
|
3d今晚必出号
|
今天最新3d开机号试机号关注码
|
昨天3d开奖号是多少
|
福彩3D独胆下一期推荐最新
|
卫星电话最建议买的三个型号
|
3d今晚预测开奖号码
|
3d彩宝贝试机号今天最新
|
今晚3d最准专家预测号
|
3d太湖字谜总汇大全 每天更新
|
3d开奖号码走势图表
|
3d牛彩网100期开机号和试机号
|
今日3d藏机图正版藏机图134
|
今晚3d太湖字谜
|
于海滨3d今晚预测号码
|
3d彩宝网开机号和试机号
|
3d预测牛彩网预测汇总
|
3d今晚出啥号
|
3d今晚一注直选
|
3d跨走势图带连线走势图
|
张克永3d预测今天
|
3d今晚最准三注
|
成功路上3d双胆独胆
|
3d一句定三码最准字谜
|
3d彩宝网开机号和试机号
|
3d圣手字谜图谜
|
3d和值基本走势图
|
3d牛彩网专家汇总汇总大全
|
三d字谜图谜总汇牛彩网
|
今天3d开机号试机号金码
|
小薇3d预测
|
今天3d开机号 试机号是多少
|
3d今晚一注
|
3d专家预测最准确最新今晚预测
|
今晚3d专家预测精选一注
|
神仙姐姐独胆一个
|
3d今晚100倍 万能三码的使用方法
|
3d精准预测最准的专家
|
3d各路专家预测汇总大全最新
|
55125预测汇总3d
|
3d武当玉女掌门一句定三码字谜
|
今晚3d预测推荐一注
|
今日3d字谜3d一句定三码诗天中图
|
3d直选注
|
3d今天的开机号和试机号查询
|
3d十大专家精准预测汇总
|
3d乾坤独胆王独胆
|
3d今晚最准专家预测号码145
|
于海滨专家一语定胆十好心人
|
3d预测专家最准确的专家预测今晚
|
3d于海滨杀码图
|
今于海滨点评专家一语定胆
|
今晚3d试机号千禧试机号金码关注
|
排五奖号
|
3d十大专家推荐号码汇总
|
三d预测最准十专家预测今晚
|
今晚3d专家推荐号码是多少
|
3d专家预测最准确最新今天牛彩
|
今晚3d预测号
|
钱王老头点评牛彩网
|
今晚3d专家预测精选一注
|
3d十位走势图带连线图表专业版
|
福彩3D独胆下一期推荐
|
近100期3d开机号和试机号
|
3d最准确最新专家预测
|
3d走势图带连线牛彩网
|
3d神仙姐姐独胆一个
|
最准的3d专家预测
|
3d百位个位和值走势图
|
于海滨3d预测牛彩网
|
3d独胆公式正确率在99%以上
|
3d开机号今天试机号30期
|
3d最准专家预测号今晚3d试机号
|
3d最准确最新专家预测
|
千禧试机号金码关注号对应码杀码
|
今天3d马后炮解太湖字谜汇总
|
今日3d大老人预测号
|
今日3d太湖字谜三字诀排三开奖结果
|
今天3d字谜3d一句定三码3d和值谜
|
3d小鱼图今日背面字谜
|
3d最新专家预测汇总大全
|
3d今天预测汇总
|
今晚3d专家推荐号码是多少
|
3d试机号开奖号走势图表
|
3d专家最新最准专家预测
|
彩坛老顽童3d独胆
|
今日3d一注推荐
|
3d今日预测最准专家预测
|
3d预测推荐汇总牛彩网采摘收集
|
3d今晚专家预测推荐号
|
排五开奖最新结果排5
|
今天3d字谜解太湖字谜
|
3d预测最准最新牛彩网
|
3d今天专家预测推荐号码
|
三d预测最准十专家预测今晚
|
排三专家推荐与预测今天
|
于海滨3d最新预测
|
3d千禧金码试机号关注码开奖号
|
今晚3d预测号
|
于海滨最新3d预测推荐今天
|
詹天佑今日3d预测
|
昨天3d开奖号是多少
|
于海滨海3d预测保真
|
3d十大专家杀跨度汇总
|
3d开机号和试机号今天 今晚
|
3d今天专家预测最准
|
于海滨海3d最新预测
|
3d天宇和值谜字谜一句定三码
|
顶级胆神双胆下一
|
3d中间号走势图振幅走势图
|
3d詹天佑3d预测
|
3d最小值振幅走势图3d之家
|
3d专家预测汇总
|
于海滨海3d专家预测
|
3d最大值振幅走势图3之家
|
于海滨今日杀码图最新
|
千禧3d试机号金码关注码今天
|
3d推荐最新最准专家预测
|
3d今晚的独胆
|
3d个位振幅走势图近50期
|
3d钓叟字谜三字诀官网
|
3d和走势图 和值尾连线
|
3d今晚最准专家推荐号
|
3d最准预测号
|
詹天佑今天3d推荐
|
3d专家预测最准最新今天
|
3d预测今晚最准专家预测号码
|
于海滨最新3d预测今天
|
3d开机号试机号今天开奖号
|
3d单选一注能中多少钱
|
太湖字谜三字诀汇总
|
毒胆牛人三天计划今天
|
3d预测专家精准推荐
|
3d预测最新最准3d之家
|
3d今天开机号试机号码查询
|
3d专家杀码天中图库
|
三地千禧开机号试机号金码关注
|
排3太湖钓叟字谜三字诀
|
今天三d专家推荐号码
|
3d专家预测推荐
|
3d预测最新最准3d之家
|
3d解太湖字谜汇总
|
于海滨海3d专家预测今晚一注
|
太湖字谜3d和值谜
|
3d试机号近30期牛彩网
|
3d最新最准专家预预测
|
今晚3d的试机号是
|
试机号开机号金码关注号对应码3d
|
3d预测专家最准确的专家预测
|
3d杀码预测
|
3d最新预测专家推荐
|
唐龙点评每日一胆龙
|
今天3d开奖号是多少
|
今晚3d的开奖号码
|
于海滨点评专家一注定胆保真版
|
于海滨3d预测今天
|
3d今日开机号和试机号及关注码
|
今天3d正版太湖字谜
|
唐龙一胆
|
3d双胆独胆
|
福彩3D独胆最新走势最新
|
3d开机号和试机号今天 今晚
|
今晚3d专家推荐重点号码
|
3d专家预测最准确今天上一期
|
3d今天开机号和试机号是多少
|
3d之家预测专家预测
|
3d今晚最准三注
|
3d预测专家最准确的专家预测今晚
|
3D独胆下期推荐走势最新
|
3d今晚预测直选一注3d一注预测
|
【开心毒胆】今天
|
3d字谜总汇今日3d字谜总汇牛彩网
|
于海滨点评专家一语定胆保真版
|
张克永专家3d预测
|
今天3d开机号和试机号多少
|
3d预测最准的专家预测
|
3d成功路上人双胆独胆
|
中国福彩3D独胆专家精准预测
|
3d预测专家准确推荐
|
3d于海滨杀码图
|
3d今晚专家预测最准确一注
|
3d太湖钓叟三字诀字谜汇总
|
3d詹天佑点评
|
金银胆神金胆银胆的最新消息
|
专家预测3d预测
|
福彩3D独胆明日分析
|
3d走势图专家推荐号码
|
于海滨最新预测今天
|
3d精准预测最准的专家
|
3d今日预测最准专家预测
|
孟庆会专家3d预测
|
3d专家今天预测一注
|
龙头凤尾最准确预测
|
中国福彩3D独胆实时推荐
|
3d各路专家预测汇总大全最新
|
今晚3d试机号千禧试机号金码关注
|
3d今日开机号和试机号及关注码
|
今晚3d开奖直选结果
|
今日精准预测推荐3d号码
|
3d开奖号码今晚走势图
|
3d专家预测最准今天
|
中国福彩3D独胆本期命中率
|
开机号试机号3d今天
|
今日3d字谜太湖钓叟字谜
|
3d预测专家精准推荐
|
今天3d试机号开机号
|
3d预测今天最准预测号
|
3d预测专家最准确
|
今于海滨3d杀码图
|
钱王点评+钱王老头预测
|
3d专家预测号码手机牛彩网
|
3d一句定三码最准字谜
|
3d预测专家推荐最准确
|
3d试机号后专家预测汇总
|
钱王点评
|
2012099期3d开奖结果
|
牛彩预测汇总3d最新
|
今晚3d开奖号走势图
|
3d今晚开奖号结果3b
|
3d专家今天推荐号
|
今日正版藏机图全部汇总239期
|
我是毒胆王,今晚独胆
|
3d最新预测专家推荐
|
3d各类和值最新谜字谜今天
|
3d百个位和值尾走势图
|
3d今天开机号试机号牛彩网
|
唐龙一语定胆3d今天
|
今日3d太湖字谜三字诀洞庭游侠
|
3d今晚一注
|
3d精准预测推荐
|
无敌胆王今日双胆
|
预测3d今晚开奖号
|
3d和值基本走势图表
|
3d开机号和试机号今天千禧
|
福彩3D独胆明日分析最新
|
3d太湖字谜三字诀
|
3d双胆独胆推荐
|
3d专家专家预测汇总
|
卫星电话最建议买的三个型号
|
3d千禧试机号关注号金码号开机号
|
3d预测专家推荐号码推荐
|
3d于海滨专家预测
|
3d开机号和试机号金码关注
|
3d今晚最准专家预测号码
|
千禧3d试机号关注码金码列表
|
3d今天最新最准专家预测最
|
3d开机号试机号奖号
|
中国福彩3D独胆独家必中最新
|
藏机图3d正版总汇
|
3d预测今晚最新最准确
|
3d预测最新最准专家推荐号码
|
詹天佑3d
|
3d专家最新最准专家预测汇总
|
《天才计划》三天计划独胆3d
|
3d今晚开机号试机号金码关注码今天
|
三d预测专家
|
3d最准确最新专家预测
|
今天3d开机号和试机号
|
3d近50期开奖号码
|
今天3d专家推荐号
|
中国福利3d今天模拟试机号
|
今晚3d开奖号码多少
|
3d专家预测更准确今天
|
近1000期3d开奖结果
|
今晚3d预测推荐一注
|
3d预测一注推荐
|
中国福彩3D独胆最新推荐
|
福彩3D独胆本期预测
|
北斗3d今日预测
|
3d预测一注推荐
|
3d预测专家推荐
|
3d带连线专业版走势图表
|
今天的3d开机号和试机号查询
|
唐龙3d预测
|
福彩3D独胆大神精准预测
|
3d预测一注推荐
|
今于海滨3d预测今天
|
3d独胆10 10
|
3d今天开机号和试机号查询100期
|
3d开机号和试机号金码关注对应号
|
3d直选一注必中
|
3d今晚预测直选四注
|
千禧试机号金码关注码的历史记录
|
小红人的三天计划今天是什么
|
3d精选号码推荐今天最新
|
3d湘西胆王今日字谜
|
今天3d专家推荐号
|
牛彩网3d专家预测汇总
|
3d预测最精准一注
|
小财神三天计划独胆
|
3d独胆陈华今晚就赌一个胆
|
3d百个位和值尾走势图
|
铁人铁胆3d包星定位最新今天
|
3d邻孤传复隔中走势图
|
三d预测最准十专家预测今晚
|
3d藏机图天齐正版藏机图
|
3d开机号今天试机号30期
|
十拿九稳预测最准100%
|
今天3d牛彩网专家预测
|
3d 今日太湖字谜
|
3d今天晚上预测最准专家
|
近30期3d开机号
|
3d任意两码差值尾走势图
|
3d大老人预测
|
今天最新3d开机号试机号
|
3d近300期试机号和开奖号码
|
《中国杀码王》3d
|
3d今天专家推荐号码是多少
|
3d推荐最新最准专家预测
|
今于海滨3d预测今天牛彩网
|
今天3d开机号关注号试机号金码
|
3d三天计划独胆王
|
15选5预测最准十专家预测
|
3d中2个号多少钱
|
3d最新专家预测汇总大全
|
3d百位四胆
|
3d百位遗漏振幅走势图南方双彩网
|
彩宝贝十大专家杀蓝号
|
祖师爷独胆三天计划
|
3d独胆双胆专家预测网
|
3d晚秋和值谜彩吧图库
|
3d最精准专家预测汇总今天
|
3d预测最准的专家预测
|
3d今晚上预测号码
|
3d十大专家双胆预测汇总
|
3d直选一注必中
|
近10期3d开奖结果
|
3d胆拖价格表
|
千禧3d试机号关注码今天
|
3d预测最新最准专家推荐号码
|
陈华3d今晚赌独一胆天齐网
|
3d红波蓝波走势图大中小
|
3d预测最准专家预测牛彩网
|
最准3d预测专家推荐号
|
3d预测专家最准确
|
3d千禧开机号试机号关注金码对应码
|
今晚3d开机号试机号金码关注码
|
钱王点评十钱王给胆下一期预测
|
今晚3d预测专家预测号
|
3d预测今晚推荐号
|
3d最新专家预测汇总大全
|
牛彩网3d预测
|
3d预测分析
|
今晚3d精准一注直选
|
三地杀码高手
|
3d必下双胆
|
3d詹天佑最新预测牛彩网
|
福彩3D独胆下一期命中率最新
|
3d最准一个独胆毒胆
|
3d预测最准确专家
|
3d独胆公式133x2
|
3d计算机开机号夏天推荐
|
3d必中永久直选500注大底
|
专家彩宝贝预测汇总
|
于海滨海3d最新预测
|
3d跨度分位走势图图感觉
|
3d专家预测最准最新今天
|
福彩3D独胆下一期必中
|
3d专家预测于海滨
|
千禧3d试机号关注号
|
3d预测专家最准确的专家预测今晚
|
千禧3d试机号关注码金码试机号
|
最准杀码王p3
|
3d今天预测最准确专家
|
3d今天专家预测号码
|
3d就打一个胆中了多少钱
|
詹天佑3d分析推荐
|
小林3d最新预测今天
|
三d十拿九稳预测号码
|
太湖钓叟三字诀字谜解释总汇
|
今天的3d太湖字谜
|
于海滨3d预测今天
|
3d千禧试机号开机号对应码关注号
|
今日3d预测号
|
3d字谜图谜总汇全图汇总
|
于海滨海3d专家预测今晚一注
|
千禧3d今天的试机号
|
3d专家预测更准确今天
|
张克永专家3d预测
|
于海滨点评专家一注定胆保真版
|
钱王今天3d预测号
|
3d今天专家推荐号码是多少
|
3d试机号是多少牛彩网
|
3d廊坊鸿运
|
牛彩网3d预测分析汇总大全
|
3d最新专家预测推荐
|
3d预测最精准一注
|
3d专家预测最准确最新今天牛彩
|
三d十拿九稳预测号码
|
3d詹天佑3d预测分析
|
下一期专家预测号码
|
3d专家预测今天最新准确号
|
今日三地开奖码
|
今晚快乐八专家预测推荐号
|
3d开机号试机号30期列表彩宝网
|
今日3d开奖号今晚
|
《天才计划》三天计划独胆3d
|
今晚3d开奖号是多少
|
无敌胆王独胆双胆
|
福利3d开奖号码
|
北斗3d今日专家预测推荐
|
3d今晚最准专家预测号码145
|
于海滨3d专家预测
|
今天3d字谜解太湖字谜
|
3d万能三码共有几注
|
3d牛彩网采摘收集预测汇总
|
3d今晚必中一注一注
|
3d和值走势图(带连线图)
|
今晚3d专家预测
|
3d今天专家推荐号码推荐
|
3d精准预测最准的专家
|
3d于海滨一语定胆今天
|
3d彩吧图库44462
|
3d今晚的独胆
|
今晚最全3d晚间字谜汇总192期
|
于海滨3d预测号
|
3d各类和值谜追加汇总
|
3d十大专家推荐号码汇总
|
3d单个冷号最大遗漏
|
3d精准预测
|
三d预测汇总
|
孟庆会老师3d预测彩吧图库今天
|
陈华3d预测今天推荐
|
3d藏机图正版藏机图打印版
|
3d今日专家推荐号
|
3d开机号今天近10期
|
3d今晚惊天一注预测
|
3d开机号和试机号今天 今晚
|
3d专家预测汇总牛彩网
|
3d独胆双胆专家预测网
|
3d字谜汇总大全总汇牛彩网开机号
|
今天3d开奖号是多少
|
3d北斗专家北斗预测今天079期3d
|
3d推荐号今日预测
|
福彩3D独胆老师必中
|
3d最近100期历史记录
|
3d预测今日最新推荐
|
3d顶级胆神双胆
|
3D独胆团队精准预测最新
|
3d直选一注多少钱
|
3d今天开机号和试机号金码对应码
|
3d杀码高手
|
3d最精准的专家预测
|
3d开机号和试机号9.30分
|
3d带线走势图牛彩网
|
神仙姐姐今晚杀码
|
3d今晚预测直选四注
|
张克永专家3d预测
|
3d跨度分位走势图图感觉
|
3d预测最新最准专家
|
3d专家预测号
|
于海滨3d今晚预测号码
|
3d专家推荐最新预测
|
最新3d预测专家预测
|
3d直选一注50倍单挑
|
于海滨专家3d今天预测
|
3d杀码图谜_专区杀码
|
3d专家预测最准最新今天
|
3d开机号试机号今天开奖号
|
毒胆牛人三天计划
|
福彩3D独胆高手杀号最新
|
3d专家预测最准今天
|
孟庆会老师3d预测今天
|
3d推荐号今晚专家预测最准确
|
3d专家杀码天中图库
|
中国福彩3D独胆下期分析最新
|
3d今晚专家推荐号
|
独胆计划王
|
3d试机号关注号金码对应码开机号
|
3d独胆双胆专家预测网
|
今晚3d精准一注直选
|
3d专家免费预测
|
3d预测最准最新准专家预测
|
3d预测最准最新准专家预测
|
3d试机号后专家预测推荐汇总
|
3d十大专家预测汇总
|
3d杀码图天齐网
|
3d今晚最准一注
|
3d今晚专家推荐预测重点号码
|
3d今晚出啥号
|
3d和值牛彩网
|
财神一注3d
|
今天3d马后炮解太湖字谜汇总
|
专家3d专家推荐
|
于海滨3d预测牛彩网
|
3d最准专家预测号今晚3d试机号
|
3d预测最准确专家预测
|
铁人铁胆定位包是预测
|
3d太湖钓叟三字诀字谜汇总
|
3d专家解今日太湖字谜汇总
|
排五预测最准专家
|
今天3d字谜3d一句定三码3d和值谜
|
3d最准预测
|
3d今晚最新预测
|
3d和值专家推荐和值
|
今天的3d推荐号码是多少
|
3d预测今晚最准专家预测号码
|
3d顶级胆神双胆
|
3d走势图基本走势
|
中国福彩3D独胆下期推荐
|
3d最准确预测100%一注
|
3d今晚预测最新最准确号码牛彩网
|
今于海滨3d预测今天单线联系
|
3d预测专家最准确的专家预测今晚
|
3d试机号关注号金码对应码开机号
|
万能四码使用技巧
|
詹天佑3d今日预测
|
3d双胆神算今天最新
|
3d预测专家最准确
|
3d预测最准确的专家
|
3d今晚专家推荐号
|
3d最新专家预测推荐
|
3d预测最准确专家预测
|
3d预测号码最准确专家预测
|
今天太湖字谜三字诀是什么
|
3d专家预测汇总大全
|
3d詹天佑
|
3d推荐号今晚专家预测最准确
|
3d今天专家预测最准
|
铁人铁胆包星定位今天最新结果
|
3d专家预测号码最准确
|
3d今晚最稳一注
|
今晚3d开机号试机号金码关注码
|
3d专家解太湖字谜汇总
|
今晚3d推荐号
|
3d之家,专家预测预测
|
3d预测专家推荐最准确
|
3d牛彩网专家预测汇总
|
3d开机号,试机号,金码号,对应码100
|
3d最新专家预测精选一注
|
3d今日预测最准专家预测
|
今晚3d专家推荐重点号码
|
3d开机号和试机号金码关注对应号
|
3d胆预测天齐网
|
3d免费专家预测推荐今天最新
|
今于海滨点评专家一语定胆
|
三d的试机号是多少今天
|
最准3d专家预测推荐
|
今天3d专家推荐重点号码
|
今晚3d开奖结果是多少
|
3d专家最新最准专家预测
|
3d推荐号今晚专家预测
|
3d今晚最准三注
|
李明启3d最新预测今天
|
今晚3d专家预测精选一注
|
詹天佑3d推荐
|
3d条件预测专家专区
|
3d预测推荐汇总牛彩网采摘收集
|
3d今晚必出一注100%准确直选推荐
|
3d最准专家预测号
|
3d今晚预测100%
|
3d和值尾振幅走势图3d之家
|
毒胆牛人三天计划
|
唐龙预测一胆今天
|
3d推荐最新最准专家预测
|
3d詹天佑最新预测
|
3d今天专家预测号码最准确
|
三天计划独胆牛人
|
3d天宇和值谜字谜一句定三码
|
3d个位振幅走势图近50期
|
今天3d精选一注
|
3d和值尾振幅走势图200期
|
3d最新专家预测汇总
|
3d天宇和值谜字谜
|
3d精选号码推荐今天最新
|
3d老炮子直选三注
|
今于海滨3d杀码图
|
今天3d开机号和试机号查询结果彩吧
|
福彩3D独胆老师分析最新
|
3d专家预测最准确最新今晚预测号
|
3d专家推荐精选号码
|
3d精准一注
|
千禧试机号金码关注码的历史记录
|
3d预测牛彩网预测汇总
|
3d最准确最新专家预测
|
3d今天开机号和试机号322
|
中国福彩3D独胆当天分析
|
3d今晚专家预测最准确一注
|
3d今天开机号和试机号多少
|
3d单个冷号最大遗漏
|
3d开机号试机号今天开奖号
|
3d预测今晚最准专家预测号码
|
今天3d太湖钓叟三字诀字谜
|
中国福彩3D独胆当天分析
|
3d于海滨上的今天杀码
|
3d孔方来萃解太湖字谜
|
3D独胆专家精准预测最新
|
中国福利3d今天模拟试机号
|
小林3d预测今天推荐
|
3D独胆团队精准预测最新
|
3d今晚预测直选四注
|
3d杀码想要
|
今晚3d预测开奖号码推荐
|
牛人独胆二天计划
|
于海滨最新3d预测推荐今天
|
3d太湖字谜总汇总(正版)
|
3d近200期试机号和开奖号码
|
3d太湖字谜大全 太湖钓叟
|
3d开机号和试机号码牛彩网
|
3d最精准专家预测汇总今天
|
小红人的三天计划今天是什么
|
三d今晚预测推荐十注
|
3d预测最准确的专家
|
3d十大专家杀跨度汇总
|
3d任意两码差值尾走势图
|
3d下期预测最精准的一注号码
|
今晚3d专家推荐号码
|
今晚3d专家预测汇总
|
钱王点评十钱王给胆下一期预测
|
3d最新最准预测号码
|
3d买一个独胆中了得多少钱
|
今天3d开机号 试机号是多少
|
3d最准确预测专家
|
3d今天开机号和试机号码200
|
3d专业版(走势图带连线)
|
3d字谜总汇今日3d字谜总汇牛彩网
|
3d开奖号走势图表
|
3D独胆大神杀号最新
|
3d和尾振幅走势图3d专家
|
陈华3d今晚就赌一个胆天齐网
|
试机号开机号金码关注号对应码3d
|
3d今晚预测
|
今晚3d专家推荐号码是多少
|
3d今晚出的什么号
|
廊坊鸿运3d
|
千禧3d试机号关注码金码列表
|
3d预测今晚最新最准确
|
3d近30期开机号试机号开奖号查询
|
3d专家预测最准确今天南方双彩网
|
今日3d藏机图正版藏机图134
|
今晚3d专家预测精选一注
|
于海滨海3d预测牛彩网
|
3d推荐号今晚专家预测最准确
|
3d 今日太湖字谜
|
今于海滨3d预测今天单线联系
|
3d最精准专家预测汇总今天
|
3d杀码公式最新
|
3d十大专家双胆预测汇总
|
今天3d字谜3d一句定三码3d和值谜
|
3d断组预测
|
3d最新预测专家推荐
|
今日3d专家推荐号码
|
今晚了3d开奖结果
|
今天3d试机号开机号
|
3d小龙一句定三码今日字谜天中图
|
3d最近100期历史记录
|
3d今晚专家推荐号
|
3d专家预测推荐号码
|
排五开机号试机号今天查询
|
今晚3d开奖号走势图
|
3d最新准专家预测
|
3d今晚预测最准确一注
|
3d专家预测推荐号码
|
今晚3d试机号开机号金码号
|
3d今天开机号和试机号码727
|
3d中间号走势图振幅走势图
|
3d试机号开奖号走势图表
|
3d最近100期历史记录
|
3d今晚预测最准确一注
|
3d开机号和试机号今天千禧
|
3d今晚最准专家预测号码
|
于海滨海3d专家预测
|
牛彩网杀码大全
|
3d今天开机号和试机号码牛彩网
|
小红人的三天计划今天是什么
|
3d两胆精准预测
|
专家预测3d号码准确
|
3d推荐最新最准专家预测
|
今天3d藏机图正版藏机图藏机图太湖横屏
|
李明启3d预测最新号码
|
中国福彩3D独胆大神命中率
|
财神爷三天计划独胆组合
|
唐龙一语定胆3d今天
|
3d预测最准专家预测牛彩网
|
3d今天专家预测号码最准确
|
三d十拿九稳预测号码
|
3d精准推荐号
|
今天的3d推荐号码是多少
|
3d预测牛彩网预测汇总
|
3d专家预测最准确最新今天牛彩
|
3d今天最新最准专家预测最
|
3d牛彩网100期开机号和试机号
|
今日3d专家预测号码推荐
|
于海滨专家一语定胆十好心人
|
今于海滨3d预测
|
3d预测最准的专家预测
|
千禧之年3d开机号试机号金码关注
|
今日焰舞3d焰舞字谜汇总大全
|
3d今晚最准最新专家推荐号
|
3d牛哄哄解太湖字谜今天
|
3d今日预测最准专家预测
|
3d预测 下一期 3d预测专家 3d预测
|
今晚3d专家预测精选一注
|
中国福彩3D独胆当天分析
|
3d北斗专家北斗预测今天079期3d
|
3d今晚精选预测一注
|
3d预测最准最新准专家预测号码
|
3d今晚开奖结果号码是
|
中国福彩3D独胆独家预测
|
3d和值走势图表综合版
|
3d今晚专家预测重点号码
|
中国福彩3D独胆今日精准预测
|
太湖解太湖3d字谜
|
3d今天专家预测号码
|
3d专家预测最准确最新今晚预测
|
3d今天专家预测推荐号码
|
3d于海滨专家预测
|
钱王点评十钱王给胆下一期预测
|
3d今日预测最准专家预测
|
3d试机号后专家预测
|
排3太湖钓叟字谜三字诀
|
p3千禧试机号关注金码
|
詹天佑最新预测3d
|
3d今日正版藏机图最新更新内容
|
今天3d千禧试机号关注号金码号
|
3d专家于海滨
|
3d开机号近30期列表彩宝网
|
3d专家预测最准今天
|
于海滨海3d专家预测今天
|
中国福彩3D独胆下期推荐杀号最新
|
3d预测专家推荐号码
|
3d今晚专家推荐
|
3d今晚最准专家推荐号码
|
3d太湖一语定胆字谜
|
福彩3D独胆下一期走势最新
|
今于海滨一语定胆保真今天
|
3d预测最准最新牛彩网
|
今晚3d专家预测最准确
|
正版真精华布衣天下今天推荐号码
|
3d詹天佑预测分析牛彩网
|
3d专家今天推荐号
|
唐龙一语定胆3d今天
|
十拿九稳预测分析
|
3d中2个号多少钱
|
3d最大值走势图彩经网
|
3d双胆独胆非常稳
|
3预测,3d专家预测,最准确今天彩网
|
唐龙一胆今天最新
|
福彩3D独胆本期命中率
|
3d最新准专家预测
|
于海滨海3d专家杀码
|
3d最准预测
|
3d经典小胆王
|
今天3d牛彩网专家预测
|
3d下期预测最精准的一注号码
|
3d詹天佑预测汇总
|
3d李明启最新预测今天
|
今晚3d专家预测最准确
|
解今日太湖3d字谜
|
3d太湖字谜三字诀
|
3d最精准的专家预测
|
3d今晚专家预测推荐
|
3d预测最准的专家预测
|
3d专家预测推荐号码
|
3d字谜汇总大全总汇大全
|
3d今晚专家推荐预测重点号码
|
财神一语定一注3d字谜
|
3d往年历史今天开奖结果
|
于海滨3d最新预测
|
3d百位遗漏振幅走势图南方双彩网
|
3d独胆预测
|
七爷独胆今晚一个胆
|
今天3d专家推荐重点号
|
牛彩网3d预测汇总
|
3d双胆独胆非常非常
|
3d推荐号今日预测
|
3d之家,专家预测预测
|
3d独胆专家预测
|
预测今晚3d一注
|
3d近300期试机号和开奖号码
|
十拿九稳预测分析
|
3d最精准的专家预测
|
神仙姐姐杀尾
|
今晚3d专家推荐号
|
3d牛彩网专家预测
|
3d今天开机号和试机号查询100期
|
3d彩报图今天图库彩吧
|
三d推荐号专家预测今天
|
三七进二得三码猜一生肖
|
3d预测最准确专家预测
|
3d牛彩网专家预测汇总
|
3d开机号,试机号,金码号,对应码100
|
3d今天开机号试机号对应码关注码
|
3d中奖多少钱一注
|
铁娘子三天计划独胆必下300
|
3d今晚最准专家推荐号码
|
3d万能大底共250注直选
|
千禧3d开机号试机号金码
|
3d之家,专家预测预测
|
3d和值专家推荐和值
|
今日3d藏机图正版藏机图310
|
3d今天专家推荐号码推荐
|
3d今晚预测最新最准确号码牛彩网
|
3d彩吧试机号今天
|
3d今天中了多少注直选
|
3d下期预测最精准的一注号码
|
3d预测专家
|
3d专家预测推荐号最新
|
3d开机号试机号今天最新50期
|
3d今天开机号和试机号码
|
3d专家预测推荐汇总
|
3d今天开机号和试机号码
|
3d今晚最准专家预测号码145
|
3d最新专家预测精选一注
|
3d红波蓝波走势图大中小
|
千禧3d今天的试机号
|
3d牛彩网100期开机号和试机号
|
3d今晚专家预测推荐
|
3d预测最准确专家预测
|
p3千禧试机号关注金码
|
排三杀码专家定位杀码天齐网
|
今天3d的开机号和试机号是多少号
|
今天3d詹天佑预测分析
|
3d上下五千年专家预测
|
中国福彩3D独胆当天走势最新
|
3d今晚开奖号码结果是多少
|
3d今晚开奖号码结果是多少
|
3d推荐号今日预测
|
太湖字谜钓叟3d字谜
|
3d最新专家预测推荐
|
3d今晚专家推荐预测重点号码
|
十拿九稳专家最新预测
|
3d最准预测
|
陈华今晚就赌一胆今天最新
|
今晚3d最准专家预测号
|
太湖三字诀字谜三
|
詹天佑3d
|
于海滨3d预测今天
|
牛彩网近30期3d开机号试机号
|
3D独胆下期推荐走势最新
|
3d今天晚上预测最准专家
|
大老人3d预测牛彩网推荐
|
3d计算公式
|
3d专家最新最准专家预测
|
三地千禧关注码试机号
|
北京胆王2彩吧图库
|
3d今天专家推荐号码推荐
|
3d于海滨上的今天预测
|
今于海滨3d预测今天单线联系
|
自创3d绝杀四码方法细节
|
财神爷独胆三天计划,就这么牛
|
牛彩网近30期3d开机号试机号
|
3d专家预测最准确今天
|
3d徐文轩今晚推荐号码
|
独胆真人就打独胆今天
|
3d开奖杀码定胆
|
3d直选至今未出号
|
3d双胆独胆
|
3d走势图带试机号彩宝网
|
3d专家詹詹天佑最新推荐
|
3d今晚推荐号
|
今晚3d的开奖结果
|
中国福彩3D独胆团队命中率最新
|
3d今晚预测最新最准确号码牛彩网
|
今天3d开机号,试机号是多少
|
孟老师专家预测3d
|
3d最精准的专家预测
|
历史3d开奖结果
|
3d之家预测专家预测
|
陈华今天就赌一个胆3d
|
3d精准一注今天
|
3d和值基本走势图表
|
今天3d开机号 和试机号 查询结果
|
今天3d金码试机号对应码开机号
|
独胆王三天计划
|
于海滨预测3d号
|
马后炮解3d太湖钓叟字谜总汇大全
|
今晚3d专家预测
|
于海滨海3d预测保真
|
3d今天精选五注
|
3d彩宝网开机号和试机号
|
3d独胆专家预测
|
3d条件预测专家专区
|
3d今晚开奖号码结果是多少
|
今日3d专家预测总汇
|
3d定百位一个号多少钱
|
3d任意两码差值尾走势图
|
3d村独胆双胆
|
3d今天专家预测号码最准确
|
今天3d千禧试机号关注号金码号
|
中国福彩3D独胆老师分析最新
|
马后炮解今日太湖字谜三字诀
|
3d今晚开出什么号码
|
天齐杀码图汇总
|
3D独胆今晚命中率
|
3d预测专家汇总预测
|
陈华3d今晚就赌一个胆天齐网
|
3d太湖钓叟字谜三字
|
今日3d预测号码推荐
|
3d最精准专家预测汇总今天
|
3d必出规律胆
|
3d专家预测最准确最新推荐号码
|
3d今晚专家推荐
|
3d藏机图完整版今天
|
近30期3d开奖结果
|
3d预测最准的专家预测
|
3d条件预测专家专区
|
3d千禧试机号关注金码30期
|
今日太湖钓叟三字诀字谜
|
3d预测最新最准专家
|
今日钱王给胆点评
|
3d今晚预测最新最准确号码牛彩网
|
3d长中剑客预测今天
|
排3藏机图正版藏机图今天 3d八哥图库总汇d字谜图谜总汇大全
|
排五奖号
|
牛彩网3d预测分析汇总大全
|
苦命人3d推荐一注
|
p3故事小王双胆下一今天
|
今天最新3d开机号试机号关注码
|
3d解太湖字谜汇总
|
3d今晚上必出号推荐组
|
3d今天专家推荐号码
|
3d双胆独胆
|
太湖字谜马后炮3d总汇
|
3d直选一注50倍单挑
|
今日3d预测号码推荐
|
3d今晚最准专家预测号码
|
3d预测最准最新准专家预测
|
3d今晚中奖号157
|
3d专家预测最准确最新今晚预测号
|
中国福彩3D独胆当天预测最新
|
3d预测一注推荐
|
3d最准预测专家预测大
|
3d走势图专家推荐号码
|
3d精准预测最准的专家
|
3d跨度金木水火土五行走势图
|
3d今晚开奖号码多少
|
于海滨杀码图谜
|
3d杀码一定牛
|
3d预测最准的专家
|
投资计划独胆三天计划
|
今天3d金码试机号对应码开机号
|
3d于海滨专家预测
|
3d今天的试机号开机号
|
3d预测一注推荐
|
3d开机号和试机号今天 今晚
|
近1000期3d开奖结果
|
3d预测专家最准确的专家预测今晚
|
3d下期预测最精准的一注号码
|
3d预测专家最准确的专家预测昨天
|
解今日太湖3d字谜
|
3d定胆王独胆定位
|
3d今日预测最准专家预测
|
中国福彩3D独胆下期最新必中最新
|
3d开机号和试机号近100期
|
詹天佑3d最新预测今天
|
3d近100期的开奖号码和试机号
|
3d预测最准专家预测牛彩网
|
3d开机号试机号今天最新50期
|
3d精准三注直选
|
今天3d精选一注
|
千禧三地试机号对应码金码
|
经典小胆王三天计划配组合
|
3d今晚预测直选四注
|
3d今晚预测最新最准确号码牛彩网
|
3d今晚专家预测最准确一注
|
3d最新最准预测号码今天
|
3d字谜太湖字
|
3d预测一注号推荐一3d预测一注今天
|
3d双胆独胆非常非常
|
牛彩3d网首页
|
3d专家推荐今天
|
于海滨专家一语定胆十好心人
|
3d今天推荐号码是多少
|
今天3d马后炮解太湖字谜汇总
|
3d今日牛彩网
|
3d双胆独胆非常非常
|
3d十大专家推荐号码汇总
|
3d最准预测号
|
3d基本走势图(专业版)近200期
|
詹天佑3d今天预测分析
|
3d和值尾振幅走势图3d走势3d之家
|
3d推荐最新最准专家预测
|
3d今晚预测准确的专家预测
|
p3故事小王双胆下一今天
|
今天3d号码推荐
|
3d和值尾振幅走势图3d走势3d之家
|
3d独胆双胆专家预测网
|
3d预测 下一期 3d预测专家 3d预测
|
3d下期预测最精准的一注号码
|
今日3d预测专家推荐
|
近1000期3d开奖结果
|
毒胆牛人三天计划必出
|
今晚3d推荐号
|
3d专家预测最准确今天牛彩网
|
于海滨3d专家预测
|
3d北斗专家北斗预测今天079期3d
|
3d必下双胆
|
钱王今天3d预测号
|
3d今晚出的号码
|
今于海滨最新预测今天
|
3d七码复式最准专家
|
3d专家预测推荐最新
|
3d预测专家最准最新
|
3d字谜汇总大全总汇大全
|
3d十大专家推荐号码汇总
|
廊坊鸿运3d预测今天
|
3d于海滨专家预测
|
白鱼舟最新3d预测
|
3d预测一注推荐
|
3d专家预测最准确今天南方双彩网
|
3d千禧开机号试机号
|
3d独胆双胆专家预测网
|
今晚3d和值推荐
|
福彩3D独胆明日推荐
|
三d今日太湖字谜解
|
今天3d开机号 试机号是多少
|
3d百个位差值振幅走势图100期
|
3d藏机图正版藏机图全图牛彩网
|
今于海滨3d杀码图24210
|
于海滨今天杀码3d
|
3d杀码图谜_专区杀码
|
于海滨海3d预测今天
|
今晚最准一注3d
|
3d和值尾振幅走势图近50期
|
3d千禧试机号金码关注码
|
于海滨3d杀码图
|
今天3d专家预测号码
|
福彩3D独胆下一期命中率最新
|
3d最准预测专家推荐
|
3d最准一注号码
|
3d一句定三码最准字谜
|
3d今晚试机号是多少
|
3d彩报图今天图库彩吧
|
3d开机号和试机号金码关注
|
今日3d十大专家双胆总汇
|
3d开机号和试机号今天 今晚
|
3d今天专家预测最准确
|
福彩3D独胆下一期推荐
|
于海滨海3d预测牛彩网
|
3d走势图带连线图表牛彩网
|
3d百十和值尾振幅走势图
|
3d千禧开机号试机号关注金码
|
【开心毒胆】今天
|
于海滨3d预测免费
|
3d今晚最精准一注一注
|
福彩3D独胆最新必中最新
|
天齐网专家杀码大全
|
于海滨3d最新预测
|
中国福彩3D独胆今日走势最新
|
今天太湖字谜三字诀是什么
|
于海滨三地杀码
|
3d精准预测专家预测
|
3d于海滨专家预测
|
今天十拿九稳号码预测
|
3d预测号最新最准牛彩网
|
豪哥看3d定位
|
3d今日开机号和试机号及关注码
|
3d3d今晚预测
|
3d开机号试机号奖号
|
3d双胆独胆非常非常稳定
|
今日正版藏机图全部汇总
|
3d今晚开奖号是多少
|
于海滨3d预测
|
3d专家今天预测一注
|
今天的3d推荐号码是多少
|
3d今天最准专家预测
|
3d今晚预测最准确一注
|
三d独胆王独胆双胆
|
三d预测专家最新推荐
|
3d 今天 试机号开机号3
|
排三杀码专家天齐网
|
3d紫云涧专家预测推荐
|
最新3d预测专家预测
|
3d今晚预测直选一注
|
3d今晚必出一注100%准确直选推荐
|
3d开奖必中
|
3d通辽独胆王今天
|
3d免费专家预测推荐今天最新
|
3d陈华今晚独胆推荐
|
于海滨3d预测牛彩网
|
于海滨点评加专家一语
|
今日3d开奖号码是多少?
|
于海滨3d今晚预测
|
3d预测专家
|
3d专家预测独胆最准确
|
今天3d专家推荐重点号
|
千禧3d试机号金码关注码今天
|
3d专家预测最准确今天
|
解3d太湖钓叟字谜汇总
|
今日焰舞3d焰舞字谜汇总大全
|
3d谜语解太湖字谜
|
于海滨3d今晚预测号码
|
3d下期预测最准一注
|
今晚3d出的什么号
|
于海滨今日杀码图
|
齐彩网3d专家预测
|
3d今天中了多少注直选
|
3d十大专家预测汇总
|
3d开奖杀码定胆
|
3d开机号和试机号金码和关注码
|
开心笨小孩3d独胆
|
3d开奖结果今晚号码
|
3d下期专家预测
|
东北小胆神今晚独胆
|
今于海滨3d预测今天单线联系
|
3d百十差振幅走势图
|
福彩3D独胆团队分析最新
|
下一期专家推荐号码
|
3d今晚专家推荐
|
福彩3D独胆大神精准预测最新
|
3d今晚最准专家推荐号
|
3d预测今晚最准专家预测号码
|
3d字谜解太湖字谜
|
3d直选三注
|
3d太湖钓叟字谜三字诀论坛
|
3d今日专家推荐号
|
今日3d专家预测号最准确
|
3d各类和值谜追加汇总
|
中国福彩3D独胆今日走势最新
|
于海滨点评加专家一语
|
中国福彩3D独胆今日预测最新
|
3d预测詹天佑
|
3d断组预测
|
3d开机号试机号今天最新50期
|
3d最准确的专家预测
|
3d跨度振幅3d之家走势图
|
3d基本走势综合图
|
3d陈华今晚就赌一胆o11预测
|
3d和值尾振幅走势图50期
|
3d预测专家最准确今天
|
3d字谜汇总大全总汇牛彩网开机号
|
3d彩界精英独胆双胆
|
3d百位遗漏振幅走势图南方双彩网
|
今晚3d预测开奖号码推荐
|
钱王老头点评牛彩网
|
3d预测推荐汇总
|
3D独胆内部精准预测
|
排五预测专家预测
|
3d今晚惊天一注预测
|
于海滨预测3d号
|
3d开机号,试机号和开奖号
|
3d预测最准专家预测号码
|
于海滨点评专家一语保真
|
3d专家预测推荐号码最准最新
|
3d今晚预测最准确一注
|
3d今天最新最准专家预测最
|
3d詹天佑3d预测
|
3d今晚预测100%
|
3d今晚专家预测最准确一注
|
3d专家预测最准确最新今天牛彩
|
今日3d字谜一句定三码和值谜定1
|
3d最全晚间字谜汇总大全
|
3d恋预测今晚预测是哪里出的
|
看彩大亨看独胆双胆预测
|
于海滨最新预测结果
|
3d试机号后专家预测汇总手机网
|
3D独胆大神走势
|
3d开机号和试机号正版彩吧
|
3d百个和值尾振幅走势图
|
3d专家预测最准最新今天
|
3d专家预测最准确最新推荐号码
|
3d每天一个独胆
|
今日太湖钓叟三字诀字谜
|
3d预测最准专家预测牛彩网
|
3d今天专家推荐号码推荐
|
3d三胆预测
|
今晚3d预测开奖号码推荐
|
3d最新预测专家推荐
|
精准3d独胆
|
3d最准一个独胆方法
|
3d独胆10 10
|
唐龙3d预测
|
陈华今晚独胆特别关注
|
3d徐文轩今晚推荐号码
|
3d今晚预测直选四注
|
3d独胆专家推荐独胆
|
3d最精准专家预测汇总今天
|
3d专家最新最准预测
|
中国福彩3D独胆下期推荐杀号最新
|
专家3d预测汇总
|
唐龙一语定胆3d今天
|
3d长中剑客预测今天
|
3d今晚推荐号
|
于海滨点评专家一注定胆保真版162期
|
3d百位十位个位走势图
|
3d预测牛彩网预测汇总
|
3d今晚专家预测推荐
|
牛彩网3d预测汇总大全
|
下期必出号码预测
|
3d和值振幅走势图彩宝贝
|
开心笨小孩3d独胆
|
3d试机号今天开机号查询结果
|
3d千禧试机号金码关注码
|
3d专家预测最准确最新今天
|
于海滨杀码图
|
3d预测最准最新准专家预测号码
|
3d今晚一注
|
3d预测最新最准专家推荐号码
|
3d双胆图
|
今天3d开机号和试机号牛彩网
|
3d预测最准的专家预测
|
3d开机号和试机号200期列表
|
3d十大专家精准预测汇总
|
3d最精准专家预测汇总今天
|
3d今晚专家推荐
|
3d今晚最精准专家
|
3d推荐最新最准专家预测
|
3d今天专家预测最新最准
|
3d之家预测专家预测
|
3d预测最准确专家
|
今天3d双双独胆字谜
|
3d百位走势图带连线图表专业版
|
3d字谜太湖钓叟三字诀今天
|
p3千禧试机号关注金码
|
3d预测晚
|
3d推荐最新最准专家预测
|
3d最准确预测专家
|
3D独胆团队走势
|
今日3d大老人预测号
|
中国福彩3D独胆当天预测最新
|
3d字谜汇总大全总汇大全
|
3d千禧开机号试机号关注金码对应码
|
3d开机号和试机号200期列表
|
于海滨3d预测专家今天
|
3d专家预测最准确今天牛彩网
|
3d预测号码最准确专家预测
|
今天专家推荐号码3d
|
3d字谜太湖解字谜
|
3d预测最准确的专家
|
3d最准确最新专家预测
|
于海滨海3d预测保真
|
3d北斗专家北斗预测今天079期3d
|
今天3d字谜3d一句定三码3d和值谜
|
今日3d马后炮解太湖字谜
|
3d预测最准专家
|
万能6码走势图
|
3d今晚专家预测推荐号
|
今天最新3d开机号试机号关注码
|
3d试机号今天晚上金码92期
|
今晚精准一注3d
|
3d藏机图正版藏图汇总大全
|
3d每天都有开奖吗
|
今日3d开机号和试机号关注码千禧
|
3d专家预测最准确今天南方双彩网
|
3d免费专家预测推荐今天最新
|
3d跨度走势图图表
|
3d基本走势图全部
|
3d开机号试机号今天最新50期
|
3d今天专家预测推荐号码
|
3d基本走势图.
|
3d百十个位杀码家彩网
|
3d彩报图今天的第五版
|
3d推荐最新最准专家预测
|
3d今晚必下一个胆
|
3d今晚试机号牛彩网
|
15选5预测最准十专家预测
|
3d今日专家推荐号
|
3d专家预测牛彩网
|
超级毒胆
|
3d预测汇总牛彩网
|
3d今晚预测最新最准确号码牛彩网
|
3d杀码图汇总
|
于海滨点评专家一语定胆保真版
|
今晚3d推荐号码
|
3d近500期试机号和开奖号码
|
3d今晚预测一注
|
今晚3d开奖号是多少
|
3d牛彩图谜字谜总汇九
|
3d百位绝杀一码
|
3d陈华今晚就赌一个胆搜索一下
|
神龙毒胆王今晚给胆
|
3d今天专家预测最新最准
|
3d今天专家预测号码
|
3d今天专家预测号码
|
今于海滨3d预测今天牛彩网
|
2025315期3d开奖结果
|
3d今晚精准一注
|
p三杀码
|
3d今晚一注
|
天天彩于海滨海3d最新预测
|
于海滨三地杀码
|
3d今晚专家免费预测
|
3d楚人今晚预测今天
|
3d精准预测
|
福彩3D独胆下期最新分析
|
十拿九稳今天预测专家
|
3d今晚预测最新最准确号码牛彩网
|
于海滨预测号
|
3d今晚最准专家预测号码145
|
铁人真胆一句定三码3d字谜彩搜网
|
太湖字谜太湖钓叟三字诀
|
3d圣手字谜图谜
|
3d中间值振幅走势图之家
|
3d今天专家预测号码
|
昨天3d开奖号是多少
|
3d带连线走势图(专业版)
|
3d独胆是什么意思
|
中国福彩3D独胆下一期预测最新
|
于海滨一语定胆专家点评
|
3d专家预测汇总牛彩网收集汇总
|
3D独胆本期推荐最新
|
3d詹天佑3d预测
|
太湖字谜太湖钓叟三字诀
|
3d神仙姐姐独胆一个
|
十拿九稳专家最新预测
|
3d绝杀二码今天最新更新内容
|
中国福彩3D独胆最新必中最新
|
3d预测最准确的专家预测软件
|
精准3d独胆
|
3d预测号码最准最新准专家预测号家彩网
|
顶级胆神双胆必下
|
今晚3d专家推荐
|
3d千禧试机号关注号金码号开机号
|
3d预测今天最准预测号
|
3d千禧试机号关注号金码号开机号
|
于海滨3d今晚预测号码
|
3d今晚开奖号码结果是多少
|
3d今天断组预测
|
3d预测最准最新牛彩网
|
3d专家预测推荐号码
|
于海滨3d预测专家今天
|
3d一句定三码最准字谜
|
3d谜语今天字谜今天的3d字谜是什么?
|
3d千禧试机号开机号金码
|
3d玩彩老头预测今天号码
|
三d十拿九稳预测号码
|
3d预测一注号推荐今晚
|
今天晚上3d开奖
|
东北小胆神今晚独胆
|
唐龙3d预测号
|
3d藏机图天齐正版藏机图
|
3d试机号今天晚上是多少
|
3d六码组三多少钱一注
|
太湖试机号后一句定三码3d字谜
|
预测3d今晚开奖号
|
3b预测汇总牛彩网
|
3d今天专家预测推荐号码
|
3d北盟天机图藏机图
|
3d独胆陈华今晚就赌一个胆
|
3d的预测号
|
3d开机号,试机号,金码号,对应码100
|
李白看3d独胆绝20
|
3d和值尾振幅走势图彩宝贝
|
2014年359期3d焰舞字谜
|
今晚3d之家
|
3d基本走势图 综合 太湖三字诀字谜三
|
3d专家预测汇总大全
|
3d预测杀码
|
3d开机号试机号近100期开奖号码
|
3d预测专家推荐最准确
|
今日3d推荐号码号
|
3d专家预测推荐号码最准最新
|
福彩3D独胆本期命中率
|
3d单个冷号最大遗漏
|
三d之家独胆
|
3d万能大底共250注直选
|
3d今晚十大专家预测汇总
|
今天3d开机号和试机号多少
|
3d直选历史遗漏查询
|
排五奖号
|
3d北斗专家北斗预测今天079期3d
|
3d专家预测号码手机牛彩网
|
3d专家今天预测汇总
|
最准3d专家预测推荐
|
3d今日预测最准专家预测
|
3d专家预测汇总牛彩网
|
3d预测最准确的专家
|
3d均值振幅走势图表图
|
3d专家预测推荐号码最准最新
|
最新3d预测专家预测
|
今晚3d开奖号是多少
|
2009年浙江风采3d走势图
|
3d杀码大全
|
今于海滨3d杀码图24210
|
今日3d太湖字谜三字诀洞庭游侠
|
福彩3D独胆本期推荐
|
3d预测最准确的专家预测软件
|
今天3d开机号和试机号对应金码
|
小红人的三天计划今天是什么
|
今于海滨3d预测今天牛彩网
|
独胆双胆3d之家
|
于海滨点评专家一注定胆保真版
|
3d预测最精准预测
|
一定牛3d杀码
|
3d预测专家推荐最准确
|
3d号码预测和推荐号今天
|
今于海滨3d预测今天牛彩网
|
3d最精准的专家预测
|
3d最大值振幅走势图彩经
|
福彩3D独胆下期推荐精准预测
|
3d今天预测最准确专家
|
福彩3D独胆团队分析最新
|
3d预测今日最新推荐
|
今天3d数字定位三
|
最准3d专家预测推荐
|
专家3d专家推荐
|
3d预测最准专家预测牛彩网
|
于海滨海3d预测保真
|
今日3d正版藏机图
|
三d牛彩网开机号试机号是多少
|
3D独胆下期推荐分析最新
|
今晚3d专家推荐号
|
3d杀码预测
|
3d走势图(带连线版) 试机号
|
3d预测最准最新准专家预测号码
|
3d今晚专家预测最准确一注
|
3d试机号开机号今天查询排五
|
财神爷独胆三天计划,就这么牛
|
千禧3d今天的试机号
|
3d预测专家汇总预测
|
3d毒胆双胆三胆
|
15选5预测最准十专家预测
|
3d今天晚上的开奖号码
|
3d专家预测最准最新
|
3d最精准的专家预测
|
3d单选一注能中多少钱
|
3d真帝王杀码图
|
3d专家预测号码推荐今天
|
3d今天的试机号和开机号
|
3d詹天佑最新预测
|
3d条件预测专家专区
|
3d最准预测号
|
3d预测今晚最新最准确
|
中国福彩3D独胆独家必中
|
3d基本走势综合图
|
3d专家预测最准确最新今晚预测
|
3d徐文轩今晚推荐号码
|
3d彩报图今天的第五版
|
中国福彩3D独胆专家推荐最新
|
3d百位四胆
|
3d今晚试机号开奖号
|
97654天中图库,今天晚3d试机号
|
祖师爷独胆三天计划
|
3d十位单选振幅走势图
|
于海滨3d预测
|
3d手机牛彩网专家预测
|
神仙姐姐杀码今天
|
三d之家独胆
|
3d最准的预测专家
|
福彩3D独胆最新必中最新
|
今晚3d专家推荐号
|
唐龙点评3d预测今天
|
3d预测最准确的专家
|
唐龙点评每日一胆龙
|
今晚3d开机号试机号金码
|
牛彩网p3专家预测汇总
|
今日3d字谜太湖钓叟字谜
|
今日3d专家预测号码推荐
|
3d于海滨专家预测
|
3d预测最准确的专家
|
3d胆拖价格表
|
3d百位十位个位走势图
|
3d预测最准最新准专家预测
|
3d于海滨上的今天预测保真
|
3d专家最新最准专家预测汇总
|
3d推荐最新最准专家预测
|
于海滨3d最新预测
|
3d预测专家推荐号码
|
3d今晚专家预测最准确一注
|
3d今晚的独胆
|
牛人独胆二天计划
|
3d预测号码最准确专家预测
|
3d字谜太湖钓叟三字诀17500
|
福彩3D独胆下期杀号最新
|
最准3d专家预测推荐
|
十拿九稳预测最准100%
|
3d布衣双胆独胆王
|
今日3d十大专家双胆总汇
|
张克永3d预测今天
|
3d胆预测天齐网
|
三d走势图基本走势图彩宝网
|
3d直选走势图(专业版)
|
天才三天独胆计划
|
3d手机牛彩网专家预测
|
铁人铁胆包星定位今天最新结果
|
3d试机号开机号今天晚上金码号
|
3d开机号试机号奖号
|
3d今晚最准专家预测号码
|
3d最精准专家预测汇总今天
|
中国福彩3D独胆下期最新必中
|
今天3d试机号开机号是什么
|
3d晚秋和值谜彩吧图库
|
陈华今晚3d赌一胆天齐网
|
3d专家预测汇总牛彩网收集汇总
|
3d今天推荐号码是多少
|
3d一定牛专家预测推荐
|
3d推荐号今晚专家预测
|
3d今晚专家推荐预测重点号码
|
3d近30期试机号和开奖结果
|
今天3d中奖
|
万能三码的使用方法
|
3d预测今天最准预测号
|
3d预测最新最准专家
|
3d最新最准专家预预测
|
3d正版藏机图总汇全图
|
3d专家预测号码推荐今天
|
3d精选号码推荐今天最新
|
3d和值尾振幅走势图200期
|
于海滨3d预测牛彩网
|
今晚3d专家推荐重点号码
|
陈华今晚3d赌一胆天齐网
|
给一注今晚3d
|
推荐一注3d号码
|
今于海滨3d杀码图
|
3d陈华今晚就赌一胆o11预测
|
3d陈华今晚独胆推荐
|
3d独胆高手
|
于海滨3d预测天齐网
|
3d预测最准确专家预测
|
3d千禧开机号试机号
|
3d太湖专家预测今晚
|
3d预测专家推荐最准确
|
3d今天专家预测号码
|
福彩3D独胆老师精准预测最新
|
3d北丐七爷独胆
|
3d开奖号码今晚走势图
|
詹天佑3d点评预测
|
3d中2个号多少钱
|
马后炮解今日太湖字谜三字诀
|
中国福彩3D独胆独家必中最新
|
今天3d试机号开机号是什么
|
今晚3d专家预测精选一注
|
今晚3d必出号
|
今日3d开机号和试机号关注码千禧
|
3d百位四胆
|
3d最小值振幅走势图3d之家
|
3d专家杀码天中图库
|
3d专家杀码
|
今晚上3d开奖号码
|
3d晚秋和值谜字谜图
|
3d之家双胆独胆预测
|
今日3d专家预测号码
|
3D独胆明日推荐最新
|
马到成功杀两码最新版本更新内容
|
3d千禧开机号试机号关注金码对应码
|
3d今天最新最准专家预测最
|
于海滨最新3d预测今天
|
太湖字谜钓叟3d字谜
|
3d晚间字谜汇总汇
|
3d最准确最新专家预测
|
中国福彩3D独胆当天精准预测
|
3d千禧试机号金码关注码对应码
|
3d近300期试机号和开奖号码
|
今日排三太湖钓叟字谜三字诀
|
3d家彩预测
|
3d专家预测最准今天
|
今日3d太湖字谜三字诀试机号
|
3d预测最准的专家预测
|
3d天齐网最准预测
|
今天的3d开机号和试机号查询
|
3d专家预测最准最新
|
今日精准预测推荐3d号码
|
3d太湖钓叟字谜三字诀汇总
|
今日太湖字谜3d字谜太湖钓叟
|
牛彩网杀码大全
|
3d基本走势图全部
|
3d各路专家预测汇总大全最新
|
3d今天出的什么号
|
马后炮解3d字谜
|
千禧今晚3d试机号关注码金码对应
|
今天3d开机号试机号对应码列表
|
3D独胆老师预测
|
今于海滨3d预测今天牛彩网
|
今晚3d推荐号
|
大师诸葛亮今晚一个独胆
|
3d试机号今晚开机号
|
今天3d专家推荐重点号码
|
三天计划3d独胆论坛
|
3d开机号试机号30期列表彩宝网
|
于海滨海3d预测牛彩网
|
今天3d专家推荐重点号
|
3d预测最准专家预测牛彩网
|
3d牛彩网专家预测
|
3d专家预测最新推荐
|
今日3d开奖号太湖字谜总汇
|
3d今天绕胆图彩之网
|
3d今晚推荐号
|
2014年359期3d焰舞字谜
|
3d老炮子直选三注
|
3d今天开机号和试机号232
|
今晚3d开奖号多少
|
3d开机号今天近10期
|
三d开机号和试机号今天牛彩网彩
|
于海滨今日杀码图
|
于海滨3d预测号
|
3d今晚预测一注
|
3d百十个位杀码家彩网
|
3d专家预测号码最准确
|
3d开机号和试机号30期列表
|
孟庆会点评 专家一语定胆 稳准狠三天计划
|
3d预测今日最新推荐
|
于海滨海3d专家预测
|
3d近500期试机号和开奖号码
|
3d推荐最新最准专家预测
|
3d试机号开机号今天晚上金码号
|
3d独胆双胆
|
55125预测汇总3d
|
今天的3d太湖字谜今天晚上
|
3d字谜汇总大全总汇大全
|
于海滨3d预测牛彩网
|
3D独胆独家推荐最新
|
3d最新最准专家预测号码
|
3d预测专家推荐号码推荐
|
3d今天专家预测号码
|
3d走势图带连线图表牛彩网
|
千禧3d今天的试机号
|
三d独胆
|
福彩3D独胆老师精准预测
|
于海滨3d预测牛彩网
|
3d专家预测最准最新
|
福体杀码王最新版本更新内容
|
3d今晚推荐号码最新
|
中奖开奖结果3d
|
3d今晚最准专家推荐号
|
3d基本走势图全部
|
3d今晚最准专家推荐号码
|
太湖字谜太湖钓叟三字诀
|
3d陈华今晚就赌一胆天齐网
|
太湖试机号后一句定三码3d字谜
|
福彩3D独胆老师走势最新
|
3d今天专家预测推荐号码
|
3d带线走势图连线走势图
|
3d今晚最准专家预测号码145
|
3d今晚开奖号码走势图
|
3d于海滨上的今天预测保真
|
3d专家预测推荐
|
福彩3D独胆独家命中率最新
|
今晚3d预测最准一注
|
3d今晚开机号试机号是多少
|
试机号千禧关注金码
|
3d专家预测最准确今天上一期
|
钱王点评十钱王老头给胆
|
3d专家预测推荐号码
|
3d今晚一注推荐
|
3d和值走势图彩宝网
|
3d各类和值最新谜字谜今天
|
3d最新专家预测推荐
|
下期必出号码预测
|
詹天佑今天3d推荐
|
詹天佑3d最新预测今天
|
3d千禧今晚试机号码
|
3d预测今日最新推荐
|
3d詹天佑最新预测牛彩网
|
3d独胆双胆专家预测网
|
今日3d预测专家推荐
|
3d预测专家最准确的专家预测今晚
|
詹天佑最新预测3d
|
千禧3d今天的试机号
|
3d和值尾振幅走势图彩宝贝
|
3d预测号最新最准牛彩网
|
3d紫云涧专家预测推荐
|
3d八哥图库总汇d字谜图谜总汇大全
|
3d和值尾振幅走势图近100期
|
3d今天最新最准专家预测最
|
3d预测一注号推荐今晚
|
福彩3D独胆高手分析
|
十拿九稳十大专家预测汇总最新一期
|
3d今晚专家预测最准确一注
|
3d预测专家推荐最新
|
于海滨海3d专家预测今晚一注
|
于海滨海3d预测免费每日精选3d开奖号
|
3d最准确专家预测
|
排五近100期开奖号结果
|
3d预测最准确专家预测
|
张克永专家3d预测
|
十大专家3d预测汇总
|
于海滨3d免费预测最新的
|
今晚快乐八专家预测推荐号
|
詹天佑3d预测今天推荐号码
|
3d专家预测最准确今天3d
|
三d今日预测
|
3d开机号今天试机号30期
|
天府袍哥3d预测
|
于海滨3d最新预测
|
3d牛彩网试机号后专家预测汇总
|
3d千禧开机号试机号关注金码对应码
|
今日正版藏机图全部汇总239期
|
今晚3d专家推荐号码
|
3d专家最准确推荐最新
|
3d专家预测最准最新今天
|
3d最准预测专家预测汇总
|
2014年359期3d焰舞字谜
|
3d专家预测推荐号最新
|
沈宝桢个人简历
|
北斗3d今日预测
|
3d今晚专家预测推荐号
|
3d跨度振幅走势图3d专家
|
于海滨预测3d号
|
3d预测专家最准确的专家预测今晚
|
3d今晚预测最新最准确号码牛彩网
|
3d专家杀码图
|
3d预测最准确专家预测
|
3d谜语今天字谜今天的3d字谜是什么?
|
3d独胆双胆独胆3d之村
|
3d下期预测最精准的一注号码
|
今天买哪三个号码好
|
千禧3d今天的试机号
|
3d金胆王
|
3D独胆今晚预测
|
今日3d专家预测总汇
|
今天的3d太湖字谜今天晚上
|
3d直选一注50倍单挑
|
3d孙大财就赌一个胆
|
3d毒毒毒胆胆胆中中中
|
3d预测号码最准最新准专家预测号家彩网
|
今晚3d推荐号码
|
3d谜语今天字谜今天的3d字谜是什么?
|
西施姐姐就赌一个独胆
|
3d和值走势图(带连线图)
|
3d经典毒胆
|
3d紫云涧专家预测推荐
|
3d专家预测最准确最新今天牛彩
|
3d今晚最稳
|
3d今晚专家预测最准确一注
|
福家老三3d推荐号
|
3d预测最准专家预测牛彩网
|
于海滨3d杀码图145
|
3d字谜太湖最新
|
3d和值走势图表综合版
|
3d最准的预测专家
|
3d今天专家推荐号码推荐
|
中国福彩3D独胆最新推荐
|
3d今晚预测最新最准确号码牛彩网
|
3d詹天佑最新预测今天
|
3d和值尾金木水火土走势图
|
3d北斗专家北斗预测今天079期3d
|
3d最准确预测专家
|
3d开机号试机号今天的
|
3d开机号和试机号金码关注
|
投资计划3d乐彩论坛
|
今于海滨3d预测今天
|
3d预测号码最准最新准专家预测号
|
3d专家预测汇总牛彩网
|
于海滨最新预测今天
|
千禧试机号金码今天的
|
近300期3d和值走势图
|
飞向阳光龙头凤尾今天最新消息
|
3d彩吧试机号今天
|
詹天佑3d推荐
|
3d最精准一注
|
3d专家预测推荐
|
3d今天专家推荐号码
|
3d牛彩网预测汇总
|
3d专家今天推荐号
|
北斗3d今日专家预测推荐
|
今于海滨一语定胆保真今天
|
神仙姐姐今天最新杀码
|
3d今晚的开奖号码
|
于海滨3d杀码图
|
近50期3d开奖结果
|
今日正版藏机图全部汇总239期
|
今天3d字谜3d一句定三码3d和值谜
|
3d专家预测最准确
|
3d试机号今天晚上是多少
|
3d和值尾振幅走势图200期
|
玩彩独胆王三天计划
|
3d专家预测最新最准推荐
|
3d和值和尾振幅走势图
|
3d手机牛彩网专家预测
|
3d 今天 试机号开机号3
|
龙彩居士3d预测今天最新版
|
3d牛彩网字谜图谜汇总九
|
3d历史今天开奖结果
|
牛彩网3d专家预测汇总
|
中国福彩3D独胆高手命中率
|
于海滨3d最新预测
|
3d开机号和试机号今天金码0
|
3d精准预测最准的专家直选
|
今日钱王给胆点评
|
3d百十和值尾振幅走势图
|
3d十位单选振幅走势图
|
3d今天推荐号码是多少
|
于海滨海3d预测今天
|
3d推荐号今晚专家预测
|
3D独胆下期最新预测
|
于海滨杀码今天最新版
|
3d胆王双胆独胆
|
3d预测最准的专家预测
|
今晚3d试机号开机号金码号
|
3d试机号开机号今天查询排五
|
今晚3d专家推荐号码是多少
|
3d今晚专家推荐号
|
3d詹天佑最新预测
|
3d专家预测最准确最新今天牛彩
|
中国福彩3D独胆老师分析最新
|
3d今晚预测准确的专家预测
|
3d和值尾振幅近100期走势图
|
3d正版太湖字谜图谜
|
3d最新准专家预测
|
3d双胆大师
|
3d预测专家推荐最准确
|
3d太湖钓叟字谜三字诀了3d开奖
|
3d预测今晚最准专家预测号码
|
福彩3D独胆下一期走势最新
|
3d今晚专家预测重点号码
|
今天3d专家推荐号
|
3d推荐最新最准专家预测
|
福彩3D独胆明日推荐
|
3d计算机开机号夏天推荐
|
福彩3D独胆老师分析最新
|
今日3d预测专家推荐
|
3d近30期试机号和开奖结果
|
3d最精准一注
|
中国福彩3D独胆专家精准预测
|
3d试机号开机号今天查询排五
|
今天最准3d预测号
|
3d跨度遗漏值振幅走势图彩经网
|
3d双胆大师今天
|
今天3d正版太湖字谜
|
今晚3d专家预测精选一注
|
3d试机号后专家预测推荐汇总
|
3d试机号历史出现情况天齐网
|
3d预测最准的专家
|
3d试机号后专家预测推荐汇总
|
3d今晚上开奖号码
|
3d今天最准专家预测
|
3d今晚最准专家推荐号码
|
3d直选是什么意思
|
今晚3d专家最精准的预测
|
3d近30期开机号试机号开奖号查询
|
詹天佑今天3d推荐
|
神仙姐姐今天最新杀码
|
今天3d专家解太湖字谜汇总
|
3d和值尾金木水火土走势图
|
十拿九稳专家最新预测
|
3d开机号试机号今天的
|
3d百位十位个位走势图
|
3d预测专家最准最新
|
于海滨3d预测牛彩网
|
三地千禧试机号关注金码对应码
|
3d直选一注
|
3d今晚开奖结果号码是
|
3d开机号和试机号今天千禧
|
3d单式怎么才算中奖
|
今日3d太湖字谜三字诀试机号
|
3d直选历史遗漏查询
|
3d彩宝网开机号和试机号
|
今日3d字谜一句定三码和值谜定1
|
3d预测最准预测号
|
3d太湖专家预测今晚
|
今天的3d开机号和试机号中奖号
|
3d今晚必下一个胆
|
3d试机号历史情况
|
今日太湖钓叟三字诀字谜
|
3d今晚十大专家预测汇总
|
3d预测专家推荐号码
|
3d组三一注多少钱
|
今天3d开机号和试机号码结果查询
|
3d今晚专家推荐预测重点号码
|
唐龙点评每日一胆龙
|
3d百个位差值振幅走势图100期
|
3d白娘子跨度字谜汇总今天牛彩网
|
今天3d于海滨预测
|
3d两胆下一稳定方法
|
3d专家预测最准确最新今天牛彩
|
3d每天一个独胆
|
近30期3d开机号和试机号
|
3d今于海滨杀码图
|
今天买哪三个号码好
|
3d试机号后专家推荐汇总
|
福彩3D独胆本期命中率
|
3d今天开机号 试机号查询
|
牛彩网预测专家3d
|
今天3d开机号和试机号牛彩网
|
于海滨3d免费预测最新的
|
于海滨海独胆预测
|
3d预测号码最准确专家预测
|
3d近200期试机号和开奖号
|
福彩3D独胆下期最新分析
|
铁人铁胆定位包是预测
|
太湖谜3d太湖钓叟字谜
|
3d直选历史遗漏查询
|
3d推荐号今晚专家预测
|
福彩3D独胆实时杀号
|
3d今日预测推荐号
|
3d单选一注能中多少钱
|
3d今天专家推荐号码
|
北斗3d今日专家预测推荐
|
陈华3d今晚就赌一个胆
|
今日3d预测专家推荐
|
3d预测专家精准推荐号
|
3d于海滨预测预测牛彩网
|
今晚3d必出号
|
3b千喜今天试机号关注金码
|
福彩3D独胆下期推荐必中
|
今晚3d开机号试机号金码
|
十拿九稳预测专家分析
|
唐龙3d预测今日出号点评
|
3d近30期开机号试机号开奖号查询
|
3d十大专家推荐号码汇总
|
最准3d预测专家推荐号
|
詹天佑3d最新消息今天
|
3d天中杀码图专区
|
今晚3d专家最精准的预测
|
3d杀码一定牛
|
3d北斗专家北斗预测今天079期3d
|
福彩3D独胆下一期必中
|
3d今晚专家预测重点号码
|
3d带线走势图牛彩网
|
3d近30期开奖结果
|
3d北斗专家北斗预测今天079期3d
|
牛彩网近30期3d开机号试机号
|
3d今晚专家预测最准确号码
|
3d开机号,试机号,金码号,对应码100
|
3d杀码公式最新
|
于海滨3d预测
|
3d最准专家预测号
|
3d计算公式精准100%计算
|
3d双胆独胆非常非常
|
3d杀码更准确
|
3d预测专家最准确的专家预测今晚
|
今日3d一句定三码最准和值谜
|
神仙姐姐三胆
|
廊坊鸿运3d
|
3d看胆精英独胆
|
3d十大专家推荐号码汇总
|
今日3d藏机图汇总 正版 新版
|
3d陈华今晚就赌一胆今天最新消息
|
李明启3d最新预测今天
|
3d预测专家最准确的专家预测昨天
|
3d天宇和值谜字谜一句定三码
|
3d免费专家预测推荐今天最新
|
马后炮解3d字谜
|
今天3d字谜3d一句定三码3d和值谜
|
3d今晚预测直选一注
|
3d中间值振幅走势图之家
|
3d开机号和试机号今天金码0
|
3d下期预测最精准的一注号码
|
3d今晚专家推荐
|
今日正版3d藏机图汇总 预测
|
3d十大专家推荐号码汇总
|
3d老炮子直选三注
|
3d万能三码天天中奖技巧
|
于海滨3d今晚预测号码
|
3d和值跨度走势图带连线
|
3d独胆专家推荐独胆
|
3d专家预测最准确最新今晚预测
|
3d精准预测最准的专家直选
|
三d预测牛彩网汇总
|
3d毒胆双胆三胆
|
今晚3d专家最精准的预测
|
今天3d必出一注
|
于海滨3d今晚预测
|
今日钱王给胆点评
|
3d免费预测
|
3d牛彩网字谜图谜汇总九
|
3d牛彩网今天开机号试机号
|
3d 试 机 号今晚
|
陈华3d今晚就赌一个胆
|
3d免费专家预测推荐
|
今于海滨3d预测今天单线联系
|
3d今天专家预测最准确
|
中国福彩3D独胆当天预测最新
|
于海滨专家一语定胆十好心人
|
今晚3d预测推荐一注
|
3d预测专家最准确的专家预测今晚
|
3d试机号今天晚上金码92期
|
中国福彩3D独胆最新推荐
|
3d今天开机号试机号3
|
3d跨度走势图图表
|
3d廊坊鸿运
|
3d六码组三多少钱一注
|
3d牛彩网专家预测
|
今晚3d试机号千禧试机号金码关注
|
3d试机号今天开机号查询
|
小财神三天计划独胆必下
|
3d预测一注推荐
|
近50期3d开奖结果
|
今天3d于海滨预测
|
3d中奖
|
3d预测最准确的专家预测软件
|
3d经典小胆王
|
3d单个冷号最大遗漏
|
3d近500期试机号和开奖号码
|
今日精准预测推荐3d号码
|
3d今晚必中一注
|
3d预测最准专家预测
|
排三平均值振幅走势图3d之家
|
3d最精准专家预测汇总今天
|
3d怎么守号不亏
|
3d今晚必中一注
|
今天3d字谜解太湖字谜
|
3d今晚专家预测
|
3d开机号和试机号今天千禧
|
3d今晚最准专家预测号码145
|
3d小龙一句定三码今日字谜天中图
|
孟庆会老师3d预测今天
|
3d专家预测号码最准确
|
今晚精准一注3d
|
3d直选三注
|
3d今日专家推荐号
|
家彩专门提供3d试机号开机号
|
3d预测 下一期 3d预测专家 3d预测
|
最准3d预测专家推荐号
|
3d千禧试机号关注号金码号开机号
|
家彩专门提供3d试机号开机号
|
3d太湖专家预测今晚
|
今天的3d开机号试机号
|
3d独胆双胆
|
太湖3d字谜三字诀
|
3d藏机图天齐正版藏机图
|
3d专家预测号码最准确
|
3d独胆专家推荐独胆
|
3d和值尾振幅走势图50期
|
今天3d马后炮解太湖字谜汇总
|
十大专家3d预测汇总
|
于海滨专家一语定胆十每日
|
3d专家预测最新推荐
|
3d专家预测最准确最新今天
|
3d十大专家精准预测汇总
|
天齐藏机图汇总正版藏机图
|
3d开机号试机号30期列表彩宝网
|
3d免费专家预测推荐今天最新
|
3d最新最准预测号码今天
|
3d字谜太湖钓叟三字诀17500
|
中国福彩3D独胆明日推荐
|
3d今天专家预测号码最准确
|
今天3d开机号和试机号对应码查询
|
专家3d专家推荐
|
三d今日太湖字谜解
|
今晚3d推荐号
|
3d晚秋和值谜字谜图
|
3d陈华今晚独胆推荐
|
于海滨海3d专家杀码
|
小红人的三天计划最新版
|
今天3d专家预测号码 推荐
|
3d推荐号今晚专家预测
|
3d绝杀三码今天
|
3d天中杀码图专区
|
于海滨杀码图今天最新
|
3d预测汇总牛彩网
|
3d今晚必下一个胆
|
今日精准预测推荐3d号码
|
3d专家预测最准确最新新闻
|
3d今天最新最准专家预测最
|
今天3d开机号和试机号码结果查询
|
3d试机号开机号今天金码关注
|
今于海滨一语定胆保真今天
|
3d詹天佑预测分析牛彩网
|
财神爷三天计划
|
3d预测 下一期 3d预测专家 3d预测
|
3d十大专家推荐号码汇总
|
今天3d开机号和试机号对应码查询
|
3d太湖字谜三字诀
|
中国福彩3D独胆独家必中
|
今日3d太湖字谜三字诀试机号
|
3d和值基本走势
|
3d今晚专家推荐预测重点号码
|
今晚3d开奖号码多少
|
3d今晚预测直选一注3d一注预测
|
3d今晚预测最新最准确号码牛彩网
|
今日3d开机号和试机号关注码千禧
|
千禧p3试机号关注号金胆对应号
|
中国杀码王绝对
|
今晚3d专家预测精选一注
|
3d最大值振幅走势图彩经
|
3d专家预测最准确最新今天牛彩
|
最新3d预测专家预测
|
十拿九稳预测专家分析
|
3d今天开机号和试机号码
|
3d最准一注(单挑王)
|
3d专家预测最准确最新今晚预测号
|
3d专家预测号码最准确
|
3d字谜太湖钓叟三字诀17500
|
3d独胆必下
|
唐龙一语定胆最新
|
3d均值振幅走势图表图
|
3d开机号,试机号,金码号,对应码100
|
3d七码复式最准专家
|
3d今天最新最准专家预测最
|
3d专家预测最准确
|
十拿九稳专家最新预测
|
3d最精准专家预测汇总今天
|
3d定胆王独胆定位
|
3d十大专家双胆预测汇总
|
3d跨度遗漏值振幅走势图彩经网
|
于海滨一语定胆天齐网
|
3d今晚专家预测最准确一注
|
于海滨3d杀码预测
|
3d彩皇网
|
福彩3D独胆明日分析
|
3d今天最新最准专家预测最
|
3d专家推荐号最准确的推号
|
专家3d专家推荐
|
3d今天开机号,试机号
|
陈华今晚3d赌一胆天齐网
|
3d万能四码走势图表
|
3d今天预测最准确专家
|
三d之家独胆
|
3d今日推荐号
|
3d最准确的专家预测
|
牛彩网3d预测分析汇总大全
|
3d预测今晚最准专家预测号码
|
布衣杀码图3d杀码
|
3d专家最新最准预测
|
于海滨3d最新预测
|
3d今晚最准最新专家推荐号
|
3d今天专家预测最准
|
今日3d专家预测号码推荐
|
3d专家预测最准最新今天
|
3d预测最准专家预测牛彩网
|
3d专家预测推荐号码
|
3d金银胆神双胆
|
3d预测今晚最准专家预测号码
|
钱王点评钱王老头预测
|
千禧3d试机号金码关注码杀码今天3d
|
今天3d开机号和试机号多少?
|
3d两胆王双胆必下
|
中国福彩3D独胆专家精准预测最新
|
今日3d专家预测号码推荐
|
彩宝贝十大专家杀蓝号
|
3d结果开奖号码今晚
|
天齐藏机图汇总正版藏机图
|
3d绝杀三码今天
|
3d毒胆双胆三胆
|
今晚3d开奖号多少
|
今天3d开机号和试机号全部
|
今日太湖钓叟三字诀字谜
|
3d之家预测专家预测
|
3d陈华今晚独胆推荐
|
3d走势图(专业连线版)
|
3d十位走势图带连线图表专业版
|
3d专家预测最准最新
|
3d今晚专家预测最准确一注
|
千禧3d试机号关注码今天
|
3d李明启最新预测今天
|
3d专家预测最准确最新今晚预测
|
钱王老头点评牛彩网
|
今天3d牛彩网专家预测
|
3d专家最新最准预测
|
3d紫云涧专家预测推荐
|
3d十大专家汇总精选一注
|
毒胆牛人3天计划
|
今晚3d专家预测最准确
|
3d专家预测最新推荐
|
拼搏在线3d开机号和试机号列表
|
3d十大专家汇总精选一注
|
3d今天的试机号和开机号
|
千禧3d试机号金码今天关注码对应码
|
3d牛彩网今天开机号试机号
|
3d专家推荐最新预测
|
3d今日牛彩网
|
最准3d预测专家推荐号
|
两天计划双胆王
|
万能三码的使用方法
|
3d每天一个独胆
|
今晚开奖号码3d开奖结果
|
于海滨杀码今天最新版
|
3d丹东太湖字谜今天的
|
3d陈华今晚就赌一胆今天最新消息
|
今天3d千禧试机号关注号金码号
|
周星星3d预测手机牛彩网
|
超级毒胆
|
廊坊鸿运3d预测今天
|
今于海滨3d杀码
|
3d今晚预测最新最准确号码牛彩网
|
一代女王p3杀两胆独胆
|
3d专家解今日太湖字谜汇总
|
于海滨预测3d号
|
3d千禧试机号码金码关注码
|
3d今晚最准专家推荐号
|
3d最准专家预测方法
|
3d直选综合走势图
|
3d今晚最稳一注
|
3d牛彩网专家汇总汇总大全
|
3d藏机图天齐正版藏机图
|
排三今晚十拿九稳最新预测
|
3d试机号和开机号牛彩网
|
3d今晚专家预测最准确一注
|
3d徐文轩今晚推荐号码
|
3d预测最准最新准专家预测号码
|
今日太湖字谜3d总汇
|
福彩3D独胆老师精准预测
|
今晚3d开奖号是多少
|
今晚3d试机号千禧试机号金码关注
|
3d专家最新最准专家预测汇总
|
于海滨海3d预测今天
|
3d今晚上专家推荐号
|
3d字谜图谜总汇全图汇总
|
3d下期预测最精准的一注号码
|
3d和值尾振幅走势图带连线图表
|
3d千禧试机号金码关注码对应码
|
昨天3d开奖号是多少
|
毒胆牛人三天计划今天
|
3d胆王双胆独胆
|
唐龙3d预测今日出号点评
|
于海滨杀码图
|
3d今天开机号试机号牛彩网
|
于海滨海3d专家预测今天
|
3d陈华今晚独胆推荐
|
3d双胆独胆非常非常稳定
|
3d开机号和试机号码牛彩网
|
今天3d开机号 试机号是多少
|
孟庆会点评 专家一语定胆 稳准狠三天计划
|
3d家彩预测
|
3d跨度振幅走势图3d专家
|
3d基本走势图.
|
唐龙点评每日一胆龙
|
3d各类和值最新谜字谜今天
|
排3太湖钓叟字谜三字诀
|
于海滨专家3d预测
|
3d三胆最准
|
3d独胆双胆预测
|
3d今晚预测最新最准确号码牛彩网
|
3d试机号开机号号码今天
|
3d开机号和试机号正版彩吧
|
3d今天专家预测最准确
|
3d独胆必下一个胆
|
于海滨海3d预测免费每日精选3d开奖号
|
3d专家预测最准确今天牛彩网
|
3d牛彩网专家预测
|
今日3d字谜3d一句定三码诗天中图
|
3d和值和尾振幅走势图
|
3d独胆专家推荐独胆
|
3d百位单选振幅走势图
|
最准3d预测专家推荐号
|
助赢计划软件免费版下载安装
|
今晚3d专家预测汇总
|
3预测,3d专家预测,最准确今天彩网
|
今天三字诀太湖字谜
|
专家精准预测3d号
|
3d推荐号今日预测
|
陈华3d今晚就赌一个胆天齐网
|
15选5预测最准十专家预测
|
3d试机号今天开机号查询结果
|
3D独胆今晚预测
|
3d各路专家预测汇总大全最新
|
3d今晚预测最新最准确号码牛彩网
|
3d今天专家预测号码最准确
|
神龙毒胆王今晚给胆
|
今晚3d必出号
|
小林3d最新预测今天
|
3d推荐最新最准专家预测
|
于海滨3d今晚预测号码
|
3d 图谜字谜总汇
|
3d字谜太湖解字谜
|
3d最准预测专家预测大
|
唐龙一胆今天最新
|
3d精选号码推荐今天最新
|
今日排三太湖钓叟字谜三字诀
|
玩彩独胆王三天计划
|
3d藏机图正版藏机图汇总今天最新图片
|
今日詹天佑3d预测分析
|
太湖3d字谜图谜总汇
|
3d独胆预测必下一胆
|
3d免费专家预测推荐今天最新
|
3d今晚专家预测推荐
|
3d今天最新最准专家预测最
|
千禧3d试机号金码关注码杀码今天3d
|
3d预测号最新最准牛彩网
|
3d开奖号今天结果 今晚
|
今天3d专家预测号码
|
于海滨3d今晚预测号码
|
今晚3d专家推荐号码是多少
|
3d十大专家推荐号码汇总
|
3d李明启预测号
|
3d今晚专家推荐预测重点号码
|
福彩3D独胆老师必中
|
千禧3d试机号关注码金码列表
|
助赢计划软件官网版下载
|
近30期3d开机号和试机号
|
3d之家独胆,双胆
|
3d千禧开机号试机号关注金码对应码
|
三d独胆
|
福彩3D独胆老师杀号最新
|
3d于海滨预测预测牛彩网
|
3d陈华今晚就赌一胆o11预测
|
今天的3d开机号和试机号查询
|
今日3d正版藏机图,藏机图汇总,天中网
|
今晚3d开奖结果是
|
投资独胆三天计划论坛
|
排三今晚十拿九稳最新预测
|
今于海滨3d预测今天单线联系
|
今晚3d专家预测汇总
|
于海滨3d免费预测
|
于海滨3d预测今天
|
今天3d詹天佑预测分析
|
3d开机号和试机号近100期列表
|
今天3d专家预测号码
|
3d试机号后专家预测推荐汇总
|
中国福彩3D独胆下期最新必中最新
|
3d太湖字谜字谜汇总
|
3d今天中了多少注直选
|
今晚3d的开奖号码结果
|
詹天佑3d今晚预测号码
|
3d百位定位走势图
|
于海滨今日3d预测
|
顶级胆神双胆必下
|
3d詹天佑3d预测
|
3d预测最准确专家预测
|
乾坤三天计划独胆预测
|
3d最准专家预测号
|
3d和值振幅走势图带连线坐标
|
钱王老头点评牛彩网
|
3d真帝王杀码图
|
詹天佑最新预测3d
|
三天计划3d独胆必出论坛
|
今日3d正版藏机图,藏机图汇总,天中网
|
今天的3d太湖字谜今天晚上
|
3d今天的推荐号
|
于海滨一语定胆专家点评
|
3d专家预测号码推荐今天
|
千禧三地试机号对应码金码
|
今日3d正版藏机图全部天齐
|
近30期3d开机号和试机号
|
3d今晚开机号试机号是多少
|
3d最精准的专家预测
|
3d推荐最新最准专家预测
|
3d专家今天预测汇总
|
3d上下五千年专家预测
|
3d专家预测最准确今天南方双彩网
|
今天3d于海滨预测
|
3d最新专家预测推荐
|
今于海滨3d杀码
|
3d最新专家预测汇总
|
3d毒毒毒胆胆胆中中中
|
3d百个位差值振幅走势图100期
|
3d独胆双胆3d之家
|
《天才计划》三天计划独胆3d
|
钱王点评+钱王老头预测
|
助赢计划软件免费版下载安装
|
牛人高手【3d精选】
|
3d今天断组预测
|
3d毒胆双胆三胆
|
3d字谜今日字谜总汇
|
排五近100期开奖号结果
|
3d专家预测最准最新今天
|
于海滨3d预测免费每日精选
|
3d预测最新最准专家
|
3d专家预测汇总
|
3d预测最准确的专家预测软件
|
3d单个冷号最大遗漏
|
【福星】3d单挑10注组
|
3d专家预测最准确最新今晚预测
|
试机号开机号金码关注号对应码3d
|
3d最近100期历史记录
|
3d精准预测最准的专家
|
今晚3d开奖号码多少
|
中国杀码王绝杀
|
三字诀太湖三字诀字谜
|
3d詹天佑最新预测今天
|
今天的3d太湖字谜图
|
3d独胆必下一
|
3d专家最新最准专家预测汇总
|
3d独胆双胆预测
|
最新3d预测专家预测
|
百位振幅走势图3d之家
|
3d预测专家推荐最准确
|
牛人独胆三天计划
|
3d最新最准专家预预测
|
3d中奖情况
|
3d今晚和值字谜
|
3d独胆专家预测
|
千禧试机号金码关注
|
3d谜语今天字谜今天的3d字谜是什么?
|
3d今晚最准最新专家推荐号
|
3d走势图专业版(带连线)
|
唐龙3d预测今日出号点评
|
3d今晚最准专家推荐号码
|
3d詹天佑最新预测今天
|
3d直选一注预测
|
3d专家预测推荐汇总
|
3d近100期开奖结果全部
|
3d开机号和试机号今天查询
|
排三今晚十拿九稳最新预测
|
三地杀码高手
|
西施姐姐精心推算一独胆146
|
张克永3d预测今天
|
中国福彩3D独胆最新必中最新
|
3d今晚预测一注
|
中国福彩3D独胆独家必中
|
3d专家预测最准确最新今天
|
今日3d马后炮解太湖字谜
|
马到成功杀两码最新版本更新内容
|
马后炮解3d太湖钓叟字谜总汇大全
|
3d必中直选
|
3d牛彩网专家预测
|
3d李明启预测号
|
3d预测今晚最准专家预测号码
|
3d字字谜图谜总汇
|
牛人高手【3d精选】
|
今晚3d最准专家预测号
|
3d最精准专家预测汇总今天
|
3d静态版预测静态版
|
3d最准一注(单挑王)
|
3d太湖专家预测今晚
|
3d千禧金码试机号关注码
|
3d玩彩老头预测今天号码
|
独胆王三天计划
|
于海滨今天杀码3d
|
3d今晚预测开奖号码
|
今天3d开机号和试机号码结果查询
|
福彩3D独胆下期走势最新
|
千禧3d试机号金码关注码杀码今天3d
|
今于海滨3d预测今天牛彩网
|
3d今晚最准专家推荐号码
|
财神一语定一注3d字谜
|
三d独胆
|
3d开机号,试机号和开奖号
|
3d专家预测最准确今天上一期
|
3d必中永久直选500注大底
|
3d专家预测号码推荐今天
|
3d独胆10中10
|
陈华3d今晚就赌一个胆
|
3d藏机图正版藏图汇总大全
|
排三十拿九稳今天预测
|
3d和值尾振幅走势图带连线图表
|
3d预测专家最准确
|
3d近15期开奖号码结果
|
千禧3试机号金码关注码金码
|
3d近30期开机号试机号开奖号查询
|
3d独胆双胆3d之家
|
3d跨度振幅走势图3d专家
|
3d结果开奖号码今晚
|
3d预测专家最准确的专家预测今晚
|
3d今晚预测最新最准确号码牛彩网
|
齐彩网3d专家预测
|
3d预测最准最新准专家预测号码
|
3d八哥图库总汇d字谜图谜总汇大全
|
3d胆王双胆独胆
|
3d李明启最新预测今天
|
3d詹天佑最新预测今天
|
3d预测专家最准确的专家预测
|
中国福彩3D独胆独家必中最新
|
今晚3d开奖号是多少
|
3d最准一注号码
|
3d预测最准最新准专家预测号码
|
中国福彩3D独胆下期推荐杀号最新
|
千禧3d试机号金码关注码杀码今天3d
|
3d今晚和值推荐
|
3d中奖
|
排三太湖钓叟字谜三字诀
|
今日3d预测号码推荐
|
福彩3D独胆独家命中率最新
|
卫星电话最建议买的三个型号
|
3d字谜解太湖字谜
|
今晚必中一注i
|
3d专家预测推荐汇总
|
3d开机号试机号关注号金码对应码
|
小胆神玩毒胆我3d
|
今晚3d专家预测汇总
|
今天的3d开机号和试机号中奖号
|
排五预测专家预测
|
3d单挑今天晚一注500倍
|
于海滨最新3d预测推荐今天
|
十拿九稳预测分析
|
3d武当玉女掌门一句定三码字谜
|
3d和值走势图彩宝网
|
3d精选号码推荐今天最新
|
三地千禧试机号关注金码对应码
|
3d预测专家最准确今天
|
今天3d千禧试机号关注号金码号
|
3d专家预测最准确今天上一期
|
3d焰舞和值谜字谜
|
3d今晚预测最新最准确号码牛彩网
|
3d专家预测于海滨
|
3d专家预测最准确最新推荐号码
|
3d杀码图谜
|
3d解太湖字谜汇总精选
|
3d一定牛专家预测推荐
|
三天计划3d独胆必出论坛
|
3d今晚专家预测推荐
|
太湖试机号后一句定三码3d字谜
|
3d今晚最准专家预测号码
|
今天3d开机号和试机号码结果查询
|
3d预测最准专家
|
3d预测最准最新准专家预测号码
|
p3千禧试机号关注金码
|
3d最准确最新专家预测
|
3d预测最新最准3d之家
|
3d牛彩网.
|
张克永3d预测今天
|
3d专家预测汇总大全
|
3d今天开机号试机号100期
|
3d独胆专家推荐独胆
|
3d今晚开奖结果号码是
|
3d今天开机号和试机号码
|
今晚3d推荐号码
|
今天晚上的3d开奖结果
|
3d今天专家推荐
|
3d专家预测号码手机牛彩网
|
于海滨专家3d今天预测
|
3d直选一注
|
今晚3d专家推荐重点号码
|
3d最小值振幅走势图3之家
|
今晚3d专家预测汇总
|
3d专家预测最准确今天上一期
|
3d专家预测最准确最新推荐号码
|
3d今日专家推荐号
|
3d预测最准最新准专家预测
|
3D独胆大神命中率最新
|
3d预测专家最准最新
|
3d和值基本走势图表
|
3d预测最准最新准专家预测
|
3d开机号和试机号金码和关注码
|
今天专家推荐号码3d
|
3d今晚最新预测
|
助赢计划软件官网版下载
|
3d于海滨一语定胆《保真》
|
3d精准推荐号
|
3d试机号后专家预测汇总
|
福彩3D独胆明日分析
|
三d毒胆预测
|
于海滨一语定胆专家点评
|
3d开机号和试机号金码关注对应号
|
两天双胆计划王
|
今日3d马后炮解太湖字谜
|
3d今晚专家预测推荐号
|
3d单一跨度走势图表
|
3d预测最准确专家预测牛彩网
|
于海滨今日3d预测
|
3d基本走势综合图
|
天才计划三天计划独胆
|
3d最准预测专家推荐
|
3d陈华今晚独胆预测
|
太湖谜3d太湖钓叟字谜
|
3d十大专家精准预测汇总
|
3d今天开机号试机号200期
|
3D独胆明日分析
|
3d近300期试机号和开奖号码
|
中国福彩3D独胆下一期预测最新
|
3d今日预测推荐号
|
今日3d直选
|
福彩3D独胆明日分析最新
|
3d最准确预测100%一注
|
最准3d专家预测推荐
|
最新3d预测专家预测
|
福彩3D独胆高手杀号最新
|
3d今天开机号和试机号232
|
3d专家预测最准最新今天
|
3d千禧试机号开机号对应码关注号
|
于海滨一语定胆
|
于海滨今天预测
|
于海滨今日杀码图
|
3d今天预测最准确专家
|
3d晶晶必下一独胆今天
|
2025315期3d开奖结果
|
齐彩网3d专家预测
|
今日3d开机号和试机号关注码千禧
|
排三杀码专家定位杀码天齐网
|
看彩大亨看独胆双胆预测
|
3d最新专家预测推荐
|
3d楚人今晚预测今天
|
三d今日预测
|
今晚的3d试机号是多少
|
3d一语定胆太湖字谜
|
3d双胆独胆必下一
|
辽宁独胆王三天计划
|
3d玩彩老头预测今天号码
|
3d双胆独胆非常非常
|
3d单选一注能中多少钱
|
3d太湖钓叟字谜三字诀
|
今晚3d专家最精准的预测
|
3d预测专家准确推荐
|
今天3d字谜3d一句定三码3d和值谜
|
今日3d开机号和试机号关注码千禧
|
3d千禧试机号和金码关注
|
3d今晚预测一注
|
3d试机号历史出现情况天齐网
|
3d今日开机号和试机号及关注码
|
3d今晚上专家推荐号
|
3d预测专家最准确今天
|
今日3d正版藏机图
|
今天的3d太湖字谜
|
3d直选一注多少钱
|
今日3d太湖字谜三字诀
|
3d今晚专家预测推荐号
|
今晚3d专家推荐号码
|
3D独胆独家推荐最新
|
詹天佑3d今天预测分析
|
3d独胆双胆专家预测网
|
福彩3D独胆下一期走势最新
|
3d推荐最新最准专家预测
|
3d独胆双胆下一
|
3d今晚最准专家预测号码145
|
3d于海滨预测预测牛彩网
|
今于海滨3d杀码
|
北斗3d今日预测
|
3d走势图专家推荐号码
|
3d独胆双胆专家预测网
|
3d预测最新最准专家
|
3d上下五千年专家预测
|
3d今晚出的什么号
|
3d开机号和试机号今天 今晚
|
3d最准的预测专家
|
3d字谜汇总大全总汇大全
|
3d正版藏机图谜汇总
|
钱王点评+钱王老头预测
|
3d专家杀码天中图库
|
3d今晚专家推荐号
|
詹天佑3d今日预测
|
于海滨专家预测
|
福彩3D独胆下一期走势最新
|
排3太湖钓叟字谜三字诀
|
3d专家推荐
|
3d牛彩网专家预测
|
于海滨3d彩吧图库
|
3d紫云涧专家预测推荐
|
3d试机号开奖号走势图表
|
今于海滨3d杀码
|
今天的3d推荐号码是多少
|
三d便民字谜图谜总汇
|
3d独胆必下一独胆布衣正
|
3d两胆精准预测
|
3d牛彩网专家预测
|
3d今晚预测一注
|
3d试机号牛彩网近三十期
|
下一期专家推荐号码
|
3d今晚预测最新最准确号码牛彩网
|
最准的3d专家预测
|
中国福利3d今天模拟试机号
|
3d综合走势图直选
|
3d今晚专家推荐号
|
于海滨海3d预测牛彩网
|
太湖字谜马后炮3d总汇
|
3d北斗专家北斗预测今天079期3d
|
3d专家预测推荐号最新
|
今于海滨3d预测彩吧图
|
今日3d太湖字谜三字诀试机号
|
李明启3d最新预测今天
|
3d今天开机号和试机号是多少
|
3d今晚最准专家预测号码145
|
三d字谜图谜总汇牛彩网
|
廊坊鸿运3d推荐今天
|
苏会文3d预测今天推荐
|
3d开机号,试机号,金码号,对应码100
|
3d试机号今晚开机号
|
今晚3d推荐号
|
3d武当玉女掌门一句定三码字谜
|
于海滨专家预测3d
|
今天3d开机号 试机号是多少
|
福彩3D独胆下期推荐必中
|
藏机图3d正版总汇
|
3d预测最准确专家预测牛彩网
|
财神爷独胆三天计划,就这么牛
|
今天3d试机号和开机号
|
3d专家解今日太湖字谜汇总
|
3d最准预测专家推荐
|
3d字谜图总汇
|
于海滨海3d专家预测今天
|
独胆三天计划
|
3d今天专家推荐号码推荐
|
3d七码复式最准专家
|
3d最小值振幅走势图3d之家
|
近30期3d开机号
|
3d直选综合走势图表图
|
3d白娘子跨度字谜汇总今天牛彩网
|
太湖试机号后一句定三码3d字谜
|
3d最精准的专家预测精选
|
3d最新最准专家预预测
|
3d今晚最准专家预测号码
|
彩吧3d开机号
|
3d预测最精准预测
|
张克永专家3d预测
|
于海滨海3d专家预测今晚一注
|
3d千禧开机号试机号关注金码对应码
|
3d最准专家预测号今晚3d试机号
|
3d下期预测最精准的一注号码
|
3d太湖一语定胆字谜
|
3d推荐最新最准专家预测
|
3d推荐牛彩网
|
3d丹东太湖字谜今天的
|
3d十位走势图带连线图表专业版
|
3d字谜汇总大全总汇牛彩网开机号
|
于海滨专家一语定胆十每日
|
3d预测最准确专家预测
|
天府袍哥3d预测
|
于海滨3d预测牛彩网
|
3d专家詹詹天佑最新推荐
|
小红人的计划三天计划
|
今天太湖钓叟3d字谜三字诀
|
今天3d马后炮解太湖字谜汇总
|
排三太湖钓叟字谜三字诀
|
3d推荐最新最准专家预测
|
3d牛彩网预测
|
3b千喜今天试机号关注金码
|
于海滨海3d预测保真
|
今日3d最准开机号
|
3d藏机图正版藏图汇总大全
|
福彩3D独胆最新必中最新
|
3d陈华今晚就赌一胆天齐网
|
3d今日专家推荐
|
3d推荐号今晚专家预测最准确
|
3d字谜汇总大全总汇大全
|
千禧试机号关注号金码是什么
|
于海滨点评加专家一语
|
3d十大专家汇总精选一注
|
3d谜语字谜太湖天齐网
|
3d专家预测最新最准推荐
|
今日3d一句定三码和值谜食物全部
|
李明启3d今晚预测专栏
|
太湖字谜三字诀论坛
|
3d预测最准确的专家
|
3d军长独胆定位
|
3d牛彩网专家汇总汇总大全
|
3d海滨点评一语定胆今天最新推荐
|
3d杀码图汇总
|
3d十大专家精准预测汇总
|
3d预测专家最准确
|
3d今晚预测最准确一注今天
|
3d试机号近10期彩经网
|
3d专家预测推荐汇总
|
专家预测3d预测
|
3d今晚预测直选四注
|
3d今晚专家预测最准确号码
|
于海滨3d预测今天
|
3d今天专家推荐号码
|
3d今晚专家推荐号
|
今晚3d开奖直选结果
|
今于海滨3d杀码
|
中国杀码王绝杀
|
3d今晚预测准确的专家预测
|
今日3d专家预测号码推荐
|
于海滨最新3d预测推荐今天
|
3d最新专家预测汇总牛部长预测
|
张克永专家3d预测
|
3d开机号和试机号今天全部
|
3d爱心角落试后一注
|
3d试机号开机号今天查询排五
|
今天3d专家推荐号
|
今天3d开机号和试机号全部
|
3d预测最准最新牛彩网
|
彩坛老顽童3d独胆
|
3d陈华今晚独胆预测
|
3d今天最新最准专家预测最
|
专家预测3d号码准确
|
3d今晚最精准专家
|
3d百位单选振幅走势图
|
3d预测最准最新牛彩网
|
今天3d的开机号和试机号是多少号
|
今天的3d太湖字谜
|
3d和尾振幅走势图3d专家
|
今天三d专家推荐号码
|
3d双胆,独胆非常非常稳定
|
3d今晚预测最准确一注
|
3d今晚专家预测推荐
|
3d今晚开机号试机号是多少
|
3d钓叟字谜三字诀官网
|
3d毒毒毒胆胆胆中中中
|
3d近500期试机号和开奖号码
|
3d今晚专家预测最准确一注
|
今晚3d预测推荐一注
|
3d牛彩网字谜图谜总汇九
|
3d千禧金码试机号关注码
|
3d必中永久直选500注大底
|
正版铁人铁胆3d
|
3d个位振幅走势图近50期
|
3D独胆下期预测
|
3d最精准的专家预测
|
今天3d开机号试机号码
|
3d太湖字谜三字诀
|
3d今晚预测最新最准确号码牛彩网
|
3d十大专家预测汇总
|
今晚3d结果开奖号码
|
今日排五专家推荐与预测
|
今天3d开机号和试机号码结果查询
|
今日3d专家预测号最准确
|
铁人真胆一句定三码3d字谜彩搜网
|
3d今晚最准最新专家推荐号
|
于海滨点评专家一注定胆保真版
|
于海滨杀码今天最新版
|
3d精选号码推荐今天最新
|
3d跨度分位走势图图感觉
|
3d藏机图天齐正版藏机图
|
3d定位独胆王三个双飞
|
于海滨海3d预测牛彩网
|
今晚于海滨海3d预测3d
|
3d独胆双胆专家预测网
|
3d解太湖字谜汇总精选
|
排三杀码专家天齐网
|
中国福彩3D独胆下期最新必中最新
|
3d神仙姐姐独胆一个
|
千禧今晚3d试机号关注码金码
|
专家预测3d号码准确
|
李明启3d最新预测今天
|
3d推荐牛彩网
|
于海滨点评专家一语保真
|
3d开机号和试机号金码关注对应码
|
3d断组预测
|
3D独胆内部精准预测
|
于海滨3d彩吧图库
|
3d最精准的专家预测精选
|
中国福彩3D独胆下期最新必中
|
3d单个冷号最大遗漏
|
3d专家预测最准确今天
|
3d开机号试机号今天最新50期
|
今于海滨3d预测
|
3d预测牛彩网
|
毒胆
|
3d开奖号历史上的今天
|
3d计算机开机号夏天推荐
|
今晚3d专家最精准的预测
|
3d百位绝杀一码
|
试机号千禧关注金码
|
十拿九稳专家预测专栏
|
3d今晚预测最新最准确号码牛彩网
|
3d专家最新最准预测
|
3d预测最准的专家
|
3d预测最准的专家预测
|
3d最精准的专家预测精选
|
3d开心毒胆独胆王
|
3d试机号后专家预测推荐汇总
|
3d天宇和值谜字谜
|
今晚钱王点评推荐号
|
3d今晚最准专家预测号码
|
3d机选一注
|
今天3d开机号和试机号牛彩网
|
3d千禧试机号开机号对应码关注号
|
三七进二得三码猜一生肖
|
3d试机号历史出现情况天齐网
|
3d和值尾振幅走势图带连线图表
|
今日3d开机号和试机号关注码千禧
|
小红人的三天计划今天是什么
|
于海滨3d最新预测
|
今天三字诀太湖字谜
|
3d预测 下一期 3d预测专家 3d预测
|
中国福彩3D独胆团队命中率最新
|
3d今天中了多少注直选
|
3d爱心角落试后一注
|
3d研究生双胆王
|
3d廊坊鸿运正版推荐
|
3d今晚上预测号码
|
3d推荐最新最准专家预测
|
于海滨点评专家一语定胆保真版
|
3D独胆下期最新精准预测
|
詹天佑3d点评预测
|
3d藏机图正版藏机图汇总今天最新图片
|
三d之家独胆
|
3d直选三注
|
3d开机号,试机号,金码号,对应码100
|
3d历史今天开奖结果
|
3d今晚精准推荐一注
|
今天3d开机号和试机号对应码查询
|
3d独胆必下一独胆3d独胆预测
|
3d跨走势图带连线走势图
|
詹天佑最新预测3d
|
3d今天专家预测号码
|
3d杀码大全 天齐网 于海滨3d最新预测 千禧3d试机号金码关注码对应码今晚
|
今日詹天佑3d预测
|
3d最准预测专家预测大
|
太湖3d字谜今天的
|
张克永专家3d预测
|
3d藏机图正版藏机图全图牛彩网
|
今日3d太湖字谜三字诀
|
3d预测最准确的专家
|
牛彩网3d专家预测汇总
|
千禧开机号试机号关注号金码杀码
|
3d最准预测号
|
中国福彩3D独胆下期推荐
|
3d预测专家推荐最准确
|
3d专家预测号
|
2025长期守号最佳5注推荐
|
3d今晚出什么号?
|
于海滨3d最新预测
|
3d千禧试机号开机号对应码关注号
|
福彩3D独胆大神精准预测
|
3d今晚预测
|
徐文轩3d预测推荐
|
经典小胆王三天计划配组合
|
3d今晚预测直选四注
|
3D独胆本期推荐
|
3d专家预测号码手机牛彩网
|
3d白娘子跨度字谜汇总今天牛彩网
|
3d专家杀码
|
3d预测最准专家预测牛彩网
|
3d专家预测最新最准推荐
|
今日3d专家推荐号码
|
今晚3d专家预测汇总
|
3d开机号近200期历史记录
|
3d预测最新最准3d之家
|
孟庆会专家3d预测
|
今天最准3d预测号
|
3d太湖钓叟字谜三字诀了3d开奖
|
毒胆牛人三天计划必出
|
今日太湖字谜3d总汇
|
太湖解太湖3d字谜
|
3d彩报图今天的第五版
|
大老人3d预测牛彩网推荐
|
3d牛彩网试机号后专家预测汇总
|
3d通杀一码
|
3d今晚最准专家预测号码145
|
3d今晚专家推荐预测重点号码
|
3d字谜太湖钓叟三字诀17500
|
一名将3d双胆预测
|
3d必出规律胆
|
3d今晚推荐三注
|
3d军长独胆定位
|
今天3d推荐号码今晚预测
|
孟庆会3d预测今天
|
财神爷独胆三天计划,就这么牛
|
一代女王p3杀两胆独胆
|
3d独胆双胆天齐网
|
3d十大专家精准预测汇总
|
3d北斗专家北斗预测今天079期3d
|
3d十大专家预测汇总
|
3d最准专家预测号
|
3d詹天佑最新预测今天
|
3d专家预测最准确今天牛彩网
|
3d字谜总汇今日3d字谜总汇牛彩网
|
最准3d预测专家推荐号
|
3d今晚最准最新专家推荐号
|
3d今晚开奖号结果3b
|
廊坊鸿运3d推荐今天
|
3d今晚专家预测最准确一注
|
3d开机号试机号码牛彩网
|
3d陈华就赌一个胆天齐网
|
3d开奖号码今晚走势图
|
顶级胆神双胆下一
|
太湖字谜3d和值谜
|
【开心毒胆】今天
|
3d太湖字谜总汇大全 每天更新
|
3d预测专家汇总预测
|
解太湖3d字谜太湖
|
中国福彩3D独胆今日走势最新
|
3d和值尾振幅近100期走势图
|
3d今晚的独胆
|
于海滨海3d预测保真
|
中国福彩3D独胆下期最新必中最新
|
3d独胆王独胆预测
|
3d今晚预测
|
3d预测总汇手机牛彩网
|
排三十拿九稳今天预测
|
三d十拿九稳预测号码
|
开机号试机号3d今天
|
3d李明启预测号
|
中国杀码王
|
3d专家预测最准确最新今晚预测号
|
3d今晚最稳
|
3d各类和值最新谜字谜今天
|
于海滨3d最新预测
|
福彩3D独胆下一期命中率最新
|
彩宝3d专业走势图
|
3d和值尾遗漏走势图
|
3d推荐号今晚专家预测
|
3d杀码图谜_专区杀码
|
3d牛彩网.
|
3d七码复式最准专家
|
最新3d预测专家预测
|
3D独胆明日走势
|
今晚3d号码开奖结果多少
|
千禧今晚3d试机号关注码金码对应
|
3d一定牛专家预测推荐
|
财神爷三天计划必下更新
|
3d最精准的专家预测
|
今天3d出的什么号
|
牛彩网3d专家预测汇总摘要
|
3d试机号今天晚上是多少
|
千禧3d试机号关注号
|
预测3d
|
今天3d詹天佑预测分析
|
3d专家推荐精选号码
|
3d最新专家预测精选一注
|
今天的3d太湖字谜图
|
3d今日专家推荐号
|
3d今晚最准专家预测号码
|
3d今晚最准专家预测号码145
|
3d今晚专家预测最准确一注
|
3d振幅和值尾走势图
|
张克永最新3d预测
|
3d今晚最精准专家
|
3d今天推荐号码是多少
|
詹天佑3d最新消息今天
|
3d詹天佑点评
|
今天3d专家预测汇总
|
3d詹天佑最新预测今天
|
今晚3d专家推荐号码是多少
|
3d预测最准的专家预测
|
今日3d开奖号太湖字谜总汇
|
今晚3d推荐号
|
3d专家预测最新推荐
|
3d牛彩网试机号后专家预测汇总
|
今天最新3d开机号试机号关注码
|
顶级胆神双胆下一
|
3d今日专家精准推荐号
|
3d预测最准确的专家预测软件
|
3d字谜今天太湖字谜
|
今天3d双双独胆字谜
|
廊坊鸿运3d
|
3d大富好预测汇总
|
3d专家预测最准最新
|
财神爷三天计划
|
唐龙3d预测号
|
今于海滨点评专家一语定胆
|
3d六大专家杀码汇总
|
3d于海杀码图
|
3d预测最准专家预测牛彩网
|
3d今天专家预测推荐号码
|
3d字谜总汇今日3d字谜总汇牛彩网
|
3d双胆图
|
3d定胆技巧准确率100%
|
3d今天开机号试机号是几
|
3d专家预测最准确最新新闻
|
3d今天开机号试机号金码关注号
|
3d试机号近10期彩经网
|
3d杀码预测
|
3d试机号开奖号走势图表
|
3d千禧试机号金码关注码
|
今晚3d开奖号试机号
|
3d今晚试机号开奖号
|
【独胆真准】3d
|
天齐网3d首页保真版3d预测
|
3d最新专家预测汇总大全
|
3d预测一注精准
|
3d今天千禧试机号关注号金码
|
玩胆先生今晚双胆
|
3d走势图专业版(带连线)
|
今天3d专家推荐号
|
3d预测今晚最准专家预测号码
|
牛彩网3d专家预测
|
唐龙预测一胆今天
|
福彩3D独胆今晚必中最新
|
专家预测3d号码准确
|
今晚3d开机号试机号金码
|
于海滨今天预测
|
3d和值振幅走势图带连线坐标
|
3d开奖号码今晚走势图
|
3d精准一注今天
|
3d独胆陈华今晚就赌一个胆
|
今晚3d专家推荐号码是多少
|
3d开机号今天近100期南方查询
|
3d中间号走势图振幅走势图
|
3d詹天佑3d预测分析
|
3d牛彩网字谜图谜汇总九
|
3d预测牛彩网预测汇总
|
3d每天一个独胆
|
3d孙大财就赌一个胆
|
3d独胆必下
|
3d于海滨上的今天预测保真
|
3d今晚专家预测推荐
|
3d布衣独胆王正版今天
|
钱王点评十钱王给胆下一期预测
|
3d千禧金码试机号关注码
|
3d每期必中27注
|
于海滨海3d预测免费每日精选3d开奖号
|
詹天佑最新预测
|
3d于海滨专家预测
|
福体杀码王最新版本更新内容
|
3d预测最准专家预测牛彩网
|
3d推荐号
|
3d于海滨预测预测牛彩网
|
3d专家预测最准
|
3d预测 下一期 3d预测专家 3d预测
|
今天3d数字定位三
|
3d和值最近(500)期走势图
|
3d试机号后专家预测推荐汇总
|
3d彩吧图库红五3d图库
|
3d今天专家推荐号码
|
于海滨3d预测今天
|
排三王牌小哥独胆
|
3d开心毒胆独胆王
|
小薇3d预测今天推荐
|
三d专家杀码
|
3d专家预测最准确最新今天
|
3d推荐最新最准专家预测
|
昨天3d开奖号是多少
|
3d十大专家杀跨度汇总
|
3d专家预测最准确今天
|
3d专家预测推荐
|
3d今晚最准的一注
|
中国福彩3D独胆实时必中最新
|
3d于海滨上的今天预测
|
【独胆真准】3d
|
今天太湖字谜三字诀是什么
|
3d今晚上推荐号码
|
3d之家预测专家预测
|
今天3d开机号试机号金码
|
3d十个位差值振幅走势图3d之家
|
福彩3D独胆团队必中
|
3d今晚最准的一注
|
3d今天开机号试机号码查询
|
于海滨杀码今天最新版
|
太湖试机号后一句定三码3d字谜
|
3d今天精准一注
|
3d最准确最新专家预测
|
今于海滨3d杀码图
|
今晚3d开奖号试机号
|
3d牛哄哄解太湖字谜今天
|
3d个位振幅走势图近50期
|
于海滨3d预测专家今天
|
3d最准一个独胆毒胆
|
今天的3d开机号和试机号查询
|
3d今日开机号和试机号及关注码
|
财神爷三天计划独胆组合
|
成功路上3d双胆独胆
|
3d一句定三码最准字谜
|
今晚3d推荐号码
|
3d今晚预测最新最准确号码牛彩网
|
3d三胆推荐
|
3d独胆预测必下一胆
|
今天3d的开机号和试机号是多少号
|
今日3d专家预测号码推荐
|
3b千喜今天试机号关注金码
|
3d必下双胆
|
于海滨海3d专家杀码
|
3d最准专家预测方法
|
詹天佑最新预测3d
|
3d试机号后专家预测推荐汇总
|
3d专家预测最准确
|
今天太湖钓叟3d字谜三字诀
|
3d百位遗漏振幅走势图南方双彩网
|
3d詹天佑最新预测今天
|
福彩3D独胆明日分析
|
3D独胆实时推荐最新
|
3预测,3d专家预测,最准确今天彩网
|
牛彩网3d专家预测汇总
|
3d个位走势图图表
|
3d专家预测最新推荐
|
3d北斗专家北斗预测今天079期3d
|
3d今晚推荐号
|
2014年359期3d焰舞字谜
|
今晚3d专家推荐号码是多少
|
三字诀太湖三字诀字谜
|
千禧之年3d开机号试机号金码关注
|
3d今晚必出一注100%准确直选推荐
|
中国福彩3D独胆内部杀号
|
3d之家独胆,双胆
|
3d千禧开机号和试机号码
|
十拿九稳预测最准100%
|
3d开机号和试机号近100期
|
3预测,3d专家预测,最准确今天彩网
|
最准3d专家预测推荐
|
55125预测汇总3d
|
3d今日热销号
|
钱王老头点评牛彩网
|
中国福彩3D独胆今晚分析
|
3d推荐号今晚专家预测最准确
|
于海滨今天预测
|
钱王点评十钱王给胆下一期预测
|
3d彩吧图库红五3d图库
|
3d今日预测最准专家预测
|
今天3d于海滨预测
|
3d走势图的基本走势图
|
3d藏机诗藏机图天中图库
|
3d晶晶必下一独胆今天
|
3d专家今日推荐号码
|
3d杀码图
|
3d和值尾振幅走势图3d之家
|
3d最精准的专家预测
|
3d最小值振幅走势图3d之家
|
玩彩独胆王三天计划
|
3d最准确预测100%一注
|
3d陈华今晚就赌一胆今天最新消息
|
3d千禧试机号码金码关注码
|
今日3d太湖字谜三字诀洞庭游侠
|
2009年浙江风采3d走势图
|
今日精准预测推荐3d号码
|
3d开心毒胆独胆王
|
3d今日太湖字谜
|
牛彩网3d预测汇总大全
|
bbs,55125:cn彩吧论坛
|
3D独胆独家推荐最新
|
3d专家预测最准确今天牛彩网
|
3d专家预测推荐最新
|
3d专家预测最准确最新今晚预测
|
3d最新专家预测推荐
|
于海滨海3d预测免费每日精选3d开奖号
|
3d天宇和值谜字谜一句定三码
|
千禧金码关注码试机号
|
3d今晚惊天一注预测
|
3d专家预测最准确
|
今日期3d太湖字谜
|
3d下期预测最精准的一注号码
|
3d预测专家推荐最新
|
3d至尊计划独胆
|
今天3d开机号试机号牛彩网
|
3d今晚出什么号?
|
3d今晚最准专家预测号码145
|
3d今晚开奖结果号码是
|
3d预测专家最准确今天
|
今日3d太湖字谜三字诀试机号
|
独胆三天计划
|
3d直选综合走势图表图
|
3d推荐牛彩网
|
千禧3d试机号金码今天关注码对应码
|
于海滨专家3d今天预测
|
3d今天开机号试机号对应码关注码
|
今日3d直选一注
|
3d铁人包星定胆天齐网
|
今天3d开机号和试机号牛彩网
|
3d专家推荐最精准的号码
|
今天3d藏机图正版藏机图藏机图太湖横屏
|
3d字谜汇总大全总汇牛彩网开机号
|
3d今天预测最准确专家
|
今晚3d专家推荐号码是多少
|
今日詹天佑3d预测分析
|
毒胆牛人三天计划必出
|
3d今天专家预测号码最准确
|
3d推荐最新最准专家预测
|
今晚3d专家推荐号码是多少
|
3d走势图基本走势
|
今晚3d试机号码和开机号
|
3d今天开机号试机号金码关注号
|
3d预测最准确的专家
|
一代女王p3杀两胆独胆
|
3d邻孤传复隔中走势图
|
3d财神爷独胆双胆双飞计划三天
|
今天3d的开机号和试机号是多少号
|
钱多多3d百位定独胆
|
中国福彩3D独胆实时推荐
|
今天3d太湖钓叟三字诀字谜
|
三d今晚预测推荐十注
|
3d预测最准的专家预测
|
3d试机号今晚开机号
|
3d十大专家精准预测汇总
|
今日3d藏机图正版藏机图310
|
十拿九稳预测专家分析
|
3d最大值振幅走势图3之家
|
3d专家最新最准预测
|
于海滨点评专家一语定胆保真版
|
3d的预测号
|
3d今天精选五注
|
今晚3d天宇一句定三码字谜
|
3预测,3d专家预测,最准确今天彩网
|
3d阿福图库图谜大全
|
3d今晚最准专家预测号码
|
3d太湖解字谜
|
排三杀码专家天齐网
|
今日3d字谜太湖钓叟字谜
|
詹天佑3d预测推荐
|
今日3d开奖号今晚
|
3d最精准专家预测汇总今天
|
福家老三3d推荐号
|
今晚3d预测专家预测号
|
于海滨杀码图
|
千禧三地试机号对应码金码
|
于海滨杀码图今天最新
|
唐龙3d预测号
|
于海滨3d预测号
|
天齐网专家杀码大全
|
今天3d专家预测号码 推荐
|
3d圣手字谜图谜
|
今天3d推荐号码今晚预测
|
3d今天千禧试机号关注号金码
|
千禧3d试机号金码关注码杀码今天3d
|
3d今晚十大专家预测汇总
|
3d今天开机号和试机号是多少
|
牛彩网3d预测汇总大全
|
3d开奖号今晚
|
3d走势图带连线图表牛彩网
|
3d预测专家精准推荐号
|
3d推荐号3d推荐号码
|
3d千禧开机号试机号关注金码对应码
|
今晚3d一注50倍
|
今天3d定位字谜二
|
3d独胆必下一独胆
|
3d杀码图汇总
|
今天十拿九稳号码预测
|
3d两胆下一稳定方法
|
独胆三天计划
|
3d彩吧预测,预测
|
今晚试机号多少3d
|
3d太湖解字谜
|
试机号开机号金码关注号对应码3d
|
3d预测专家最准确
|
3d今晚专家预测最准确一注
|
3d专家最准确推荐最新
|
3d推荐号今晚专家预测
|
3d每天都有开奖吗
|
3d今晚最准最新专家推荐号
|
今晚3d出的什么号
|
陈华3d今晚赌独一胆天齐网
|